跳转至内容
Merck
CN

ABC331

抗-PALB2抗体

from rabbit, purified by affinity chromatography

别名:

Partner and localizer of BRCA2, FANCN

登录 查看组织和合同定价。

选择尺寸

变更视图

关于此项目

UNSPSC Code:
12352203
NACRES:
NA.41
eCl@ss:
32160702
Conjugate:
unconjugated
Clone:
polyclonal
Application:
IHC, WB
Citations:
-
技术服务
需要帮助?我们经验丰富的科学家团队随时乐意为您服务。
让我们为您提供帮助


biological source

rabbit

Quality Level

conjugate

unconjugated

antibody form

affinity isolated antibody

antibody product type

primary antibodies

clone

polyclonal

purified by

affinity chromatography

species reactivity

human

technique(s)

immunohistochemistry: suitable, western blot: suitable

UniProt accession no.

shipped in

wet ice

target post-translational modification

unmodified

Gene Information

human ... PALB2(79728)

General description

BRCA2的伙伴和定位蛋白(PALB2)是DNA断裂的同源重组修复所需的关键蛋白。 它可作为BRAC1-PALB2-BRAC2 复合物形成过程中的支架蛋白(scaffold protein ),该复合物是同源重组必不可少的。 作为BRAC2的伴侣蛋白,PALB2可定位BRAC2并使其稳定。PALB2使得BRAC2可以进行重组修复并行使检查点功能(checkpoint functions)以及DNA修复功能。通过结合BRAC2,PALB2有助于BRCA2 避免降解。 PALB2 位于细胞核,并且至少有四种已知的亚型。 PALB2 缺陷与许多种乳腺癌、胰腺癌3型(PNCA3)以及骨髓疾病(范可尼贫血互补组,FANCN)有关。这些患者患有多种心脏、四肢、皮肤畸形以及恶性肿瘤。EMD-Millipore’抗-PALB2兔多克隆抗体已通过蛋白质印迹法在人SK-N-SH 细胞裂解物样品中进行了检验。
观察值〜180 kDa。在某些裂解物中可以出现未表征的条带。

Immunogen

对应于人PALB2的KLH偶联线性肽。

Application

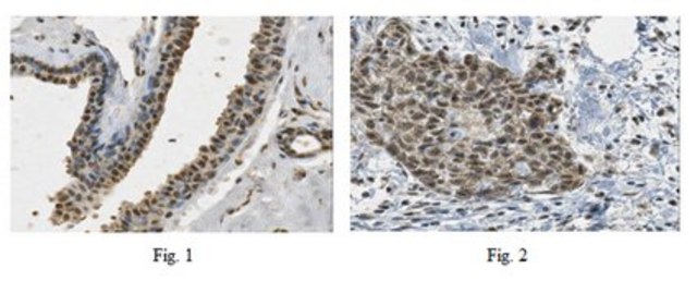
免疫组化分析: 一个代表性批次的1:250-1,000稀释液在人乳腺癌组织中检测到SPALB2。

最佳工作稀释度必须由最终用户确定。
抗-PALB2抗体是一种兔多克隆抗体,经验证可用于蛋白质印迹&IHC。

Analysis Note

通过蛋白质印迹法在SK-N-SH细胞裂解物中进行评估。

蛋白质印迹分析:2 µg/ml该抗体可在15 µg的SK-N-SH细胞裂解液中检测到PALB2。

Other Notes

浓度:请参考批次特异性浓缩物的检验报告。


Still not finding the right product?

试用我们的 产品选型工具 工具缩小选择范围


存储类别

12 - Non Combustible Liquids

wgk

WGK 2

flash_point_f

Not applicable

flash_point_c

Not applicable



分析证书(COA)

输入产品批号来搜索 分析证书(COA) 。批号可以在产品标签上"批“ (Lot或Batch)字后找到。

已有该产品?

在文件库中查找您最近购买产品的文档。

访问文档库



全球贸易项目编号

货号GTIN
ABC33104053252917387