跳转至内容
Merck
CN

ABC467

Anti-phospho BAD Antibody (Ser155)

from rabbit, purified by affinity chromatography

别名:

Bcl2 antagonist of cell death, BAD, Bcl-2-binding component 6, Bcl-2-like protein 8, Bcl2-L-8, Bcl-XL/Bcl-2-associated death promoter

登录 查看组织和合同定价。

选择尺寸

变更视图

关于此项目

UNSPSC Code:
12352203
NACRES:
NA.41
eCl@ss:
32160702
Clone:
polyclonal
Species reactivity:
human
Application:
IP, WB, inhibition assay
Citations:
1
技术服务
需要帮助?我们经验丰富的科学家团队随时乐意为您服务。
让我们为您提供帮助


biological source

rabbit

Quality Level

antibody form

affinity isolated antibody

antibody product type

primary antibodies

clone

polyclonal

purified by

affinity chromatography

species reactivity

human

species reactivity (predicted by homology)

bovine (based on 100% sequence homology), rat (based on 100% sequence homology), mouse (based on 100% sequence homology), canine (based on 100% sequence homology)

technique(s)

immunoprecipitation (IP): suitable, inhibition assay: suitable (peptide), western blot: suitable

NCBI accession no.

UniProt accession no.

shipped in

dry ice

target post-translational modification

phosphorylation (pSer155)

Gene Information

human ... BAD(572)

General description

Bad is a member of the BCL-2 family. BCL-2 family members are known to be regulators of programmed cell death. This protein positively regulates cell apoptosis by forming heterodimers with BCL-xL and BCL-2, and reversing their death repressor activity. Proapoptotic activity of this protein is regulated through its phosphorylation. Protein kinases AKT and MAP kinase, as well as protein phosphatase calcineurin are found to be involved in the regulation of this protein. Bad is phosphorylated on one or more of Ser-75, Ser-99, Ser-118, Ser-134, and Ser-155 in response to survival stimuli, which blocks its pro-apoptotic activity. Phosphorylation on Ser-99 or Ser-75 promotes heterodimerization with 14-3-3 proteins. This interaction then facilitates the phosphorylation at Ser-118, a site within the BH3 motif, leading to the release of Bcl-X(L) and the promotion of cell survival. Ser-99 is the major site of AKT/PKB phosphorylation, Ser-118 the major site of protein kinase A (CAPK) phosphorylation.
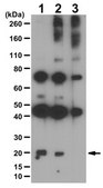
~20 kDa observed. Uncharacterized band(s) may appear in some lysates.

Immunogen

Epitope: BH3 domain
KLH-conjugated linear peptide corresponding to the BH3 domain of human phospho BAD (Ser155).

Application

Anti-phospho BAD (Ser155) is an antibody against phospho BAD (Ser155) for use in WB, PIA, IP.
Peptide Inhibition Analysis: A 1:100 dilution from a representative lot blocked phospho BAD (Ser155) in Forskolin treated PC12 cell lysates.
Immunoprecipitation Analysis: 5 µg from a representative lot immunoprecipitated phospho BAD (Ser155) in 0.5 mg of Forskolin treated PC12 cell lysate.
Research Category
Apoptosis & Cancer
Research Sub Category
Apoptosis - Additional

Physical form

Affinity purified
Purified rabbit polyclonal in buffer containing 0.1 M Tris-Glycine (pH 7.4), 150 mM NaCl with 0.05% sodium azide.

Preparation Note

Stable for 1 year at 2-8°C from date of receipt.

Analysis Note

Evaluated by Western Blotting in Forskolin treated PC12 cell lysate.

Western Blotting Analysis: A 1:250 dilution of this antibody detected phospho BAD (Ser155) in 10 µg of Forskolin treated PC12 cell lysate.

Other Notes

Concentration: Please refer to lot specific datasheet.

Disclaimer

Unless otherwise stated in our catalog or other company documentation accompanying the product(s), our products are intended for research use only and are not to be used for any other purpose, which includes but is not limited to, unauthorized commercial uses, in vitro diagnostic uses, ex vivo or in vivo therapeutic uses or any type of consumption or application to humans or animals.


Still not finding the right product?

试用我们的 产品选型工具 工具缩小选择范围


存储类别

12 - Non Combustible Liquids

wgk

WGK 1

flash_point_f

Not applicable

flash_point_c

Not applicable



分析证书(COA)

输入产品批号来搜索 分析证书(COA) 。批号可以在产品标签上"批“ (Lot或Batch)字后找到。

已有该产品?

在文件库中查找您最近购买产品的文档。

访问文档库



Zhiliang Fan et al.
Molecular medicine reports, 18(1), 169-178 (2018-05-12)
Epilepsy is a type of refractory neurologic disorder mental disease, which is associated with cognitive impairments and memory dysfunction. However, the potential mechanisms of epilepsy are not well understood. Previous evidence has identified the voltage gated potassium channel complex (VGKC)



全球贸易项目编号

货号GTIN
ABC46704055977113563