biological source
rabbit
Quality Level
conjugate
unconjugated
antibody form
serum
antibody product type
primary antibodies
clone
polyclonal
species reactivity
mouse, human, rat
technique(s)
immunocytochemistry: suitable, immunohistochemistry: suitable, western blot: suitable
NCBI accession no.
UniProt accession no.
shipped in
wet ice
target post-translational modification
unmodified
Gene Information
human ... FHL1(2273)
General description
Four and a half LIM domains protein 1 (FHL1) is also called Skeletal muscle LIM-protein 1 (SLIM-1). FHL1 has 3 isoforms; Isoform 1 is highly expressed in skeletal muscle; Isoform 2 is expressed in brain and skeletal muscle; and Isoform 3 is expressed in testis, heart and skeletal muscle. FHL1 is possibly involved in muscle development or hypertrophy and associated with X-linked dominant scapuloperoneal myopathy (SPM), X-linked myopathy with postural muscle atrophy (XMPMA), X-linked severe early-onset reducing body myopathy (RBM) and X-linked childhood-onset reducing body myopathy (CO-RBM).
~32 kDa observed. The calculated molecular weight of isoform 1 for this protein is 32 kDa; however, a dimer may be observed at ~64 kDa in some cell lysates. Uncharacterized band(s) may be observed in some cell lysates.
Immunogen
Linear peptide corresponding to amino acid sequence CRDPLQGKKYVQKDGRH of human Fhl1.
Application
Detect Four & a half LIM domains protein 1 using this rabbit polyclonal antibody, Anti-Fhl1 Antibody validated for use in western blotting, ICC & IHC.
Research Category
Apoptosis & Cancer
Apoptosis & Cancer
Research Sub Category
Apoptosis - Additional
Apoptosis - Additional
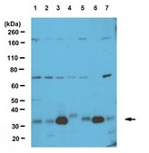
Western Blotting Analysis: A 1:1,000 dilution from a representative lot detected Fhl1 in a panel of select tissue lysates.
Western Blotting Analysis: A 1:1,000 dilution from a representative lot detected Fhl1 in an additional panel of select tissue lysates.
Western Blotting Analysis: A representative lot from an independent laboratory detected Fhl1 in nonanchored and anchored CasKO and Cx43KO cell lysates. A representative lot from the same independent laboratory detected Fhl1 in non-SRC transformed Cx43KO cell lysate and not in SRC transformed Cx43KO cell lysate (Shen, Y., et al. (2006). Cancer Res. 66(3):1543-1552.).
Western Blotting Analysis: A representative lot from an independent laboratory detected Fhl1 in non-SRC transformed Cx43KO cell lysate and not in SRC transformed Cx43KO cell lysate (Li, X., et al. (2008). Cancer Sci. 99(7):1326-1333.).
Immunohistochemistry Analysis: A representative lot from an independent laboratory detected Fhl1 in normal brain, kidney, liver, lung, prostate, and skin tissues and demonstrated a loss of signal in breast carcinoma, renal carcinoma, hepatocarcinoma, pulmonary carcinoma, prostatic carcinoma, and melanoma tissues (Shen, Y., et al. (2006). Cancer Res. 66(3):1543-1552.).
Immunohistochemistry Analysis: A representative lot from an independent laboratory detected Fhl1 in normal epithelium of breast, kidney, and prostate tissues, and demonstrated a loss of signal in mammary duct carcinoma, renal cell carcinoma, and prostate adenocarcinoma tissues (Li, X., et al. (2008). Cancer Sci. 99(7):1326-1333.).
Immunocytochemistry Analysis: A representative lot from an independent laboratory detected Fhl1 in non SRC transformed Cx43KO and CasKO cells and demonstrated a loss of signal in SRC transformed Cx43KO and CasKO cells (Shen, Y., et al. (2006). Cancer Res. 66(3):1543-1552.).
Western Blotting Analysis: A 1:1,000 dilution from a representative lot detected Fhl1 in an additional panel of select tissue lysates.
Western Blotting Analysis: A representative lot from an independent laboratory detected Fhl1 in nonanchored and anchored CasKO and Cx43KO cell lysates. A representative lot from the same independent laboratory detected Fhl1 in non-SRC transformed Cx43KO cell lysate and not in SRC transformed Cx43KO cell lysate (Shen, Y., et al. (2006). Cancer Res. 66(3):1543-1552.).
Western Blotting Analysis: A representative lot from an independent laboratory detected Fhl1 in non-SRC transformed Cx43KO cell lysate and not in SRC transformed Cx43KO cell lysate (Li, X., et al. (2008). Cancer Sci. 99(7):1326-1333.).
Immunohistochemistry Analysis: A representative lot from an independent laboratory detected Fhl1 in normal brain, kidney, liver, lung, prostate, and skin tissues and demonstrated a loss of signal in breast carcinoma, renal carcinoma, hepatocarcinoma, pulmonary carcinoma, prostatic carcinoma, and melanoma tissues (Shen, Y., et al. (2006). Cancer Res. 66(3):1543-1552.).
Immunohistochemistry Analysis: A representative lot from an independent laboratory detected Fhl1 in normal epithelium of breast, kidney, and prostate tissues, and demonstrated a loss of signal in mammary duct carcinoma, renal cell carcinoma, and prostate adenocarcinoma tissues (Li, X., et al. (2008). Cancer Sci. 99(7):1326-1333.).
Immunocytochemistry Analysis: A representative lot from an independent laboratory detected Fhl1 in non SRC transformed Cx43KO and CasKO cells and demonstrated a loss of signal in SRC transformed Cx43KO and CasKO cells (Shen, Y., et al. (2006). Cancer Res. 66(3):1543-1552.).
Physical form
Rabbit polyclonal in buffer containing serum with 0.05% sodium azide.
Unpurified
Preparation Note
Stable for 1 year at -20°C from date of receipt.
Handling Recommendations: Upon receipt and prior to removing the cap, centrifuge the vial and gently mix the solution. Aliquot into microcentrifuge tubes and store at -20°C. Avoid repeated freeze/thaw cycles, which may damage IgG and affect product performance.
Handling Recommendations: Upon receipt and prior to removing the cap, centrifuge the vial and gently mix the solution. Aliquot into microcentrifuge tubes and store at -20°C. Avoid repeated freeze/thaw cycles, which may damage IgG and affect product performance.
Analysis Note
Evaluated by Western Blotting in human brain tissue lysate.
Western Blotting Analysis: A 1:1,000 dilution of this antibody detected Fhl1 in 10 µg of human brain tissue lysate.
Western Blotting Analysis: A 1:1,000 dilution of this antibody detected Fhl1 in 10 µg of human brain tissue lysate.
Other Notes
Replaces: MABS405
Disclaimer
Unless otherwise stated in our catalog or other company documentation accompanying the product(s), our products are intended for research use only and are not to be used for any other purpose, which includes but is not limited to, unauthorized commercial uses, in vitro diagnostic uses, ex vivo or in vivo therapeutic uses or any type of consumption or application to humans or animals.
Still not finding the right product?
试用我们的 产品选型工具 工具缩小选择范围
存储类别
10 - Combustible liquids
wgk
WGK 1
SRC uses Cas to suppress Fhl1 in order to promote nonanchored growth and migration of tumor cells.
Shen, Yongquan, et al.
Cancer Research, 66, 1543-1552 (2006)
全球贸易项目编号
| 货号 | GTIN |
|---|---|
| ABC474 | 04053252927959 |