跳转至内容
Merck
CN

ABC837

Anti-ARC Antibody

from rabbit, purified by affinity chromatography

别名:

Nucleolar protein 3, Apoptosis repressor with CARD, Muscle-enriched cytoplasmic protein, Myp, Nucleolar protein of 30 kDa, Nop30, ARC

登录 查看组织和合同定价。

选择尺寸

变更视图

关于此项目

UNSPSC Code:
12352203
NACRES:
NA.41
eCl@ss:
32160702
Conjugate:
unconjugated
Clone:
polyclonal
Application:
IHC, WB
Citations:
1
技术服务
需要帮助?我们经验丰富的科学家团队随时乐意为您服务。
让我们为您提供帮助


biological source

rabbit

Quality Level

conjugate

unconjugated

antibody form

affinity isolated antibody

antibody product type

primary antibodies

clone

polyclonal

purified by

affinity chromatography

species reactivity

human

technique(s)

immunohistochemistry: suitable, western blot: suitable

UniProt accession no.

shipped in

wet ice

target post-translational modification

unmodified

Gene Information

human ... NOL3(8996)

General description

Nucleolar protein 3 (NOL3), also known as Apoptosis repressor with CARD or Muscle-enriched cytoplasmic protein (Myp) or Nucleolar protein of 30 kDa (Nop30) and encoded by the gene name NOL3 or ARC contains one CARD domain. Apoptosis is regulated by death domain (DD) and/or caspase recruitment domain (CARD) containing molecules and a caspase family of proteases. CARD domain containing cell death regulators include RAIDD, Apaf-1, caspase-9, and caspase-2. A novel CARD domain containing protein was recently identified and designated ARC for apoptosis repressor with CARD. ARC interacts with caspase-2 and –8 and inhibits enzymatic activity of caspase-8. ARC suppresses apoptosis induced by cell death adapters FADD and TRADD and by cell death receptors Fas, TNFR-1 and DR3. The messenger RNA of ARC is primarily expressed in skeletal muscle and cardiac tissue.
~24 kDa observed. Uncharacterized bands may be observed in some lysate(s).

Immunogen

Epitope: C-terminus
KLH-conjugated linear peptide corresponding to amino acids 191-208 at the C-terminus of human ARC.

Application

Anti-ARC Antibody detects level of ARC & has been published & validated for use in ARC.
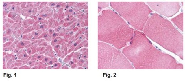
Immunohistochemistry Analysis: 5 μg/mL from a representative lot detected ARC in human heart and skeletal muscle tissues.
Research Category
Apoptosis & Cancer
Research Sub Category
Apoptosis - Additional

Physical form

Antigen Affinity Purified
Purified rabbit polyclonal in buffer containing PBS with up to 0.1% sodium azide.

Preparation Note

Stable for 1 year at 2-8°C from date of receipt.

Analysis Note

Evaluated by Western Blotting in HeLa, KB, and A549 cell lysates.

Western Blotting Analysis: A 1:1,000 dilution of this antibody detected ARC in HeLa, KB, and A549 cell lysates.

Other Notes

Concentration: Please refer to the Certificate of Analysis for the lot-specific concentration.

Disclaimer

Unless otherwise stated in our catalog or other company documentation accompanying the product(s), our products are intended for research use only and are not to be used for any other purpose, which includes but is not limited to, unauthorized commercial uses, in vitro diagnostic uses, ex vivo or in vivo therapeutic uses or any type of consumption or application to humans or animals.


Still not finding the right product?

试用我们的 产品选型工具 工具缩小选择范围


存储类别

12 - Non Combustible Liquids

wgk

WGK 2

flash_point_f

Not applicable

flash_point_c

Not applicable



分析证书(COA)

输入产品批号来搜索 分析证书(COA) 。批号可以在产品标签上"批“ (Lot或Batch)字后找到。

已有该产品?

在文件库中查找您最近购买产品的文档。

访问文档库



Brian K Chung et al.
Journal of autoimmunity, 77, 45-54 (2016-10-30)
Primary biliary cholangitis (PBC) and primary sclerosing cholangitis (PSC) are immune-mediated biliary diseases that demonstrate prominent and restricted genetic association with human leukocyte antigen (HLA) alleles. In PBC, anti-mitochondrial antibodies (AMA) are specific and used as diagnostic biomarkers. PSC-relevant auto-antibodies



全球贸易项目编号

货号GTIN
ABC83704053252944093