跳转至内容
Merck
CN

ABC927

抗-LDHB抗体

from rabbit, purified by affinity chromatography

别名:

L-lactate dehydrogenase B chain (EC:1.1.1.27), LDH-B, LDH heart subunit, LDH-H, Renal carcinoma antigen NY-REN-46, LDHB

登录 查看组织和合同定价。

选择尺寸

变更视图

关于此项目

UNSPSC Code:
12352203
NACRES:
NA.41
eCl@ss:
32160702
Conjugate:
unconjugated
Clone:
polyclonal
Application:
IHC, WB
Citations:
-
技术服务
需要帮助?我们经验丰富的科学家团队随时乐意为您服务。
让我们为您提供帮助


biological source

rabbit

Quality Level

conjugate

unconjugated

antibody form

affinity isolated antibody

antibody product type

primary antibodies

clone

polyclonal

purified by

affinity chromatography

species reactivity

human

species reactivity (predicted by homology)

rat (based on 100% sequence homology), canine (based on 100% sequence homology), mouse (based on 100% sequence homology), rabbit (based on 100% sequence homology), bovine (based on 100% sequence homology), pig (based on 100% sequence homology), horse (based on 100% sequence homology), chimpanzee (based on 100% sequence homology)

technique(s)

immunohistochemistry: suitable (paraffin), western blot: suitable

NCBI accession no.

UniProt accession no.

shipped in

wet ice

target post-translational modification

unmodified

Gene Information

human ... LDHB(3945)

General description

L-乳酸脱氢酶B链(EC 1.1.1.27;UniProt P07195;也称为附睾分泌蛋白Li 281,乳酸脱氢酶H链,LDH-B,LDH-H,LDH心脏亚基,肾癌抗原NY-REN-46)在人体内由LDHB(也称为LDHBD,TRG-5,HEL-S-281)基因(基因ID 3945)编码。最初由Otto Warburg描述,现在俗称Warburg效应是指许多肿瘤细胞使用有氧糖酵解而不是线粒体呼吸来产生能量以支持细胞生长和增殖的现象。因此,正在研究参与代谢途径复杂网络的酶作为癌症治疗的潜在靶标。乳酸脱氢酶(LDH)是一种四聚酶,由两个不同的亚基LDHA和LDHB组成,可以组合成五个不同的组合(LDH1由四个LDHB亚基组成;LDH2包含三个LDHB和一个LDHA亚基;LDH3包含两个LDHB和两个LDHA亚基;LDH4包含一个LDHB和三个LDHA亚基;LDH5包含四个LDHA亚基)。LDHB在心肌中普遍表达,并且是主要的亚型,而LDHA是骨骼肌和其他高度糖酵解组织中的主要亚型。LDH催化丙酮酸盐可逆转化为乳酸。因此,LDH的上调降低了氧依赖性,并确保了肿瘤细胞中有效的厌氧/糖酵解代谢。例如,据报告肺癌患者的血清LDHB水平升高,并随着非小细胞肺癌(NSCLC)的临床阶段而逐渐升高。
观察值〜37 kDa

Immunogen

KLH偶联的线性肽,对应于C末端一半的人LDHB序列。

Application

使用经验证可用于蛋白质印迹和免疫组化(石蜡)的该兔抗LDHB多克隆抗体,目录号ABC927检测LDHb。
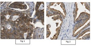
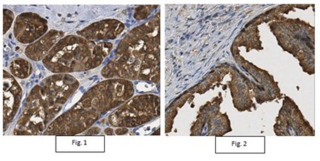
免疫组化分析:代表性批次的1:250-1,000稀释液在正常人前列腺组织以及非霍奇金淋巴瘤,肾脏,结肠和肺肿瘤组织中的人癌症细胞中检测到LDHB。

Analysis Note

通过蛋白质印迹对人PANC-1细胞裂解物进行了评估。

蛋白质印迹分析:0.25 µg/mL该抗体可在10 µg 人PANC-1细胞裂解物中检测到LDHB。

Other Notes

浓度:请参考特定批次的数据表。


Still not finding the right product?

试用我们的 产品选型工具 工具缩小选择范围


存储类别

12 - Non Combustible Liquids

wgk

WGK 1

flash_point_f

Not applicable

flash_point_c

Not applicable



分析证书(COA)

输入产品批号来搜索 分析证书(COA) 。批号可以在产品标签上"批“ (Lot或Batch)字后找到。

已有该产品?

在文件库中查找您最近购买产品的文档。

访问文档库


相关内容

A major focus of breast cancer research is to understand the mechanisms responsible for disease progression and drug resistance. Toward that end, it has been found that approximately two thirds of all human breast carcinomas overexpress the Estrogen Receptor α (ERα) protein and it remains the primary pharmacological target for endocrine therapy1,2. The normal cellular function of ERα is as a transcription factor that mediates a wide variety of physiological processes, many of which are dependent upon phosphorylation of the receptor at specific amino acid residues3,4. Indeed, ERα is known to be phosphorylated at a multitude of different sites, yet how these all correlate to disease remains unclear5. Here, we interrogated multiple sites of ERα for phosphorylation status by screening an extensive panel of different breast cancer patient samples and other non-breast cancer tissue microarray (TMA) slide samples to determine their relevance to disease.





全球贸易项目编号

货号GTIN
ABC92704055977177022