跳转至内容
Merck
CN

ABC945

Anti-GMPR Antibody

from rabbit, purified by affinity chromatography

别名:

GMP reductase 1, Guanosine 5′-monophosphate oxidoreductase 1, Guanosine monophosphate reductase 1

登录 查看组织和合同定价。

选择尺寸

变更视图

关于此项目

UNSPSC Code:
12352203
NACRES:
NA.41
eCl@ss:
32160702
Conjugate:
unconjugated
Clone:
polyclonal
Application:
IHC, WB
Citations:
-
技术服务
需要帮助?我们经验丰富的科学家团队随时乐意为您服务。
让我们为您提供帮助


biological source

rabbit

Quality Level

conjugate

unconjugated

antibody form

affinity isolated antibody

antibody product type

primary antibodies

clone

polyclonal

purified by

affinity chromatography

species reactivity

human

species reactivity (predicted by homology)

primate (based on 100% sequence homology), rat (based on 100% sequence homology), mouse (based on 100% sequence homology), bovine (based on 100% sequence homology)

technique(s)

immunohistochemistry: suitable, western blot: suitable

NCBI accession no.

UniProt accession no.

shipped in

wet ice

target post-translational modification

unmodified

Gene Information

human ... GMPR(2766)

General description

GMP reductase 1 (EC 1.7.1.7; UniProt P36959; also known as Guanosine 5′-monophosphate oxidoreductase 1, Guanosine monophosphate reductase 1) is encoded by the GMPR (also known as GMPR1) gene (Gene ID 2766) in human. De novo biosynthesis of Guanosine 5′-monophosphate (GMP) is accomplished by reactions catalyzed by several enzymes. Inositol monophosphate (IMP) dehydrogenase 1 and 2 (IMPDH1 and IMPDH2) convert IMP into xanthosine monophosphate (XMP), GMP synthetase (GMPS) then converts XMP into GMP, while guanosine monophosphate reductase (GMPR) catalyzes the reversible conversion of GMP to IMP to fuel back into both the AMP and GMP synthesis pathways. GMPR is shown to reduce intracellular GTP pools, thereby downregulating the level of several GTP-bound (active) RHO-GTPases that are essential for invadopodia formation, extracellular matrix degradation and invasion of melanoma cells both in cultures in vitro and in tumor xenografts in vivo. Consistent with its role as a negative regulator of the invasive melanoma phenotype, GMPR expression is reported to be either undetectable or drastically reduced in human melanoma cell lines when compared to normal melanocytes.
~35 kDa observed. 37.42 kDa calculated.

Immunogen

Epitope: Between the second and third GMP-binding region.
KLH-conjugated linear peptide corresponding a sequence between the second and third GMP-binding region of human GMPR.

Application

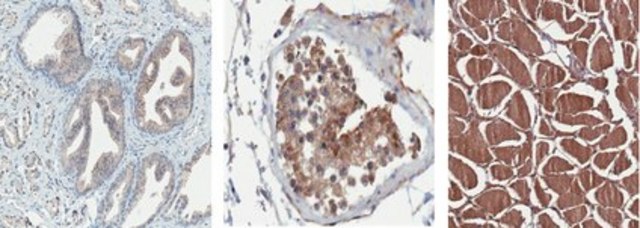
Immunohistochemistry Analysis: A 1:250-1,000 dilution from a representative lot detected GMPR in human prostate cancer, as well as in normal testis and skeletal muscle tissue sections.
Research Category
Apoptosis & Cancer
Research Sub Category
Cytoskeletal Signaling
This Anti-GMPR Antibody is validated for use in Western Blotting, Immunohistochemistry for the detection of GMPR.

Biochem/physiol Actions

This polyclonal antibody detects human GMP reductase 1 (GMPR) and stained predominantly the cytoplasm of cells in human tissue sections by immunohistochemistry.

Physical form

Affinity purified.
Purified rabbit polyclonal antibody in buffer containing 0.1 M Tris-Glycine (pH 7.4), 150 mM NaCl with 0.05% sodium azide.

Preparation Note

Stable for 1 year at 2-8°C from date of receipt.

Analysis Note

Evaluated by Western Blotting in human skeletal muscle tissue lysate.

Western Blotting Analysis: 0.2 µg/mL of this antibody detected GMPR in 10 µg of human skeletal muscle tissue lysate.

Other Notes

Concentration: Please refer to lot specific datasheet.

Disclaimer

Unless otherwise stated in our catalog or other company documentation accompanying the product(s), our products are intended for research use only and are not to be used for any other purpose, which includes but is not limited to, unauthorized commercial uses, in vitro diagnostic uses, ex vivo or in vivo therapeutic uses or any type of consumption or application to humans or animals.


Still not finding the right product?

试用我们的 产品选型工具 工具缩小选择范围


存储类别

12 - Non Combustible Liquids

wgk

WGK 1

flash_point_f

Not applicable

flash_point_c

Not applicable



分析证书(COA)

输入产品批号来搜索 分析证书(COA) 。批号可以在产品标签上"批“ (Lot或Batch)字后找到。

已有该产品?

在文件库中查找您最近购买产品的文档。

访问文档库



全球贸易项目编号

货号GTIN
ABC94504055977352825