跳转至内容
Merck
CN

ABD130

Anti-PRDM16 Antibody

from rabbit, purified by affinity chromatography

别名:

PR domain containing 16, MEL1, PFM13, KIAA1675, MEL1, MDS1/EVI1-like gene 1, Transcription factor MEL1, PR domain zinc finger protein 16

登录 查看组织和合同定价。

选择尺寸

变更视图

关于此项目

UNSPSC Code:
12352203
NACRES:
NA.41
eCl@ss:
32160702
Conjugate:
unconjugated
Clone:
polyclonal
Application:
IF, IHC, WB
Citations:
-
技术服务
需要帮助?我们经验丰富的科学家团队随时乐意为您服务。
让我们为您提供帮助


biological source

rabbit

Quality Level

conjugate

unconjugated

antibody form

affinity isolated antibody

antibody product type

primary antibodies

clone

polyclonal

purified by

affinity chromatography

species reactivity

rat, human

technique(s)

immunofluorescence: suitable, immunohistochemistry: suitable, western blot: suitable

UniProt accession no.

shipped in

wet ice

target post-translational modification

unmodified

Gene Information

human ... PRDM16(63976)

General description

PR domain zinc finger protein 16 (PRDM16) is also called Transcription factor MEL1 (MDS1/EVI1-like gene 1). PRDM16 is a zinc finger transcription factor and contains an N-terminal PR domain. PRDM16 is expressed in the uterus and kidney. PRDM16 regulates transcription through DNA binding and plays a role in the differentiation of myoblastic precursors into brown adipose tissue (BAT), and represses TGF-beta signalling. Translocations in PRDM16 occur in subsets of myelodysplastic syndrome (MDS) and acute myeloid leukemia (AML) cases.
~100 kDa, ~135 kDa and ~150 kDa observed. Uncharacterized bands may appear in some lysate(s). Uniprot describes 4 isoforms between ~120 kDa and ~140 kDa

Immunogen

KLH-conjugated linear peptide corresponding to human PRDM16.

Application

Detect PRDM16 using this rabbit polyclonal antibody, Anti-PRDM16 Antibody validated for use in western blotting, IHC & Immunofluorescence.
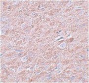
Immunohistochemistry Analysis: 2.5 µg/mL from a representative lot detected PRDM16 in rat brain tissue.

Immunofluorescence Analysis: 20 μg/mL from a representative lot detected PRDM16 in human brain cells.
Research Category
Stem Cell Research
Research Sub Category
Pluripotent & Early Differentiation

Biochem/physiol Actions

This antibody can recognize all four isoforms of PRDM16.

Physical form

Antigen Affinity Purified
Purified rabbit polyclonal in buffer containing PBS with up to 0.1% sodium azide.

Preparation Note

Stable for 1 year at 2-8°C from date of receipt.

Analysis Note

Control
Rat brain tissue lysate
Evaluated by Western Blotting in rat brain tissue lysate.

Western Blotting Analysis: 2 µg/mL of this antibody detected PRDM16 in 15 µg of rat brain tissue lysate.

Other Notes

Concentration: Please refer to the Certificate of Analysis for the lot-specific concentration.

Disclaimer

Unless otherwise stated in our catalog or other company documentation accompanying the product(s), our products are intended for research use only and are not to be used for any other purpose, which includes but is not limited to, unauthorized commercial uses, in vitro diagnostic uses, ex vivo or in vivo therapeutic uses or any type of consumption or application to humans or animals.


Still not finding the right product?

Explore all of our products under

或者

试用我们的 产品选型工具 工具缩小选择范围


wgk

WGK 2

flash_point_f

Not applicable

flash_point_c

Not applicable

存储类别

12 - Non Combustible Liquids



分析证书(COA)

输入产品批号来搜索 分析证书(COA) 。批号可以在产品标签上"批“ (Lot或Batch)字后找到。

已有该产品?

在文件库中查找您最近购买产品的文档。

访问文档库



全球贸易项目编号

货号GTIN
ABD13004053252910036