跳转至内容
Merck
CN

ABD69

抗巢蛋白,人抗体

serum, from rabbit

别名:

Nestin

登录 查看组织和合同定价。

选择尺寸

变更视图

关于此项目

UNSPSC Code:
12352203
NACRES:
NA.41
eCl@ss:
32160702
Conjugate:
unconjugated
Clone:
polyclonal
Application:
ICC, IHC, WB
Citations:
31
技术服务
需要帮助?我们经验丰富的科学家团队随时乐意为您服务。
让我们为您提供帮助


biological source

rabbit

Quality Level

conjugate

unconjugated

antibody form

serum

antibody product type

primary antibodies

clone

polyclonal

species reactivity

human

should not react with

rat, mouse

technique(s)

immunocytochemistry: suitable, immunohistochemistry: suitable, western blot: suitable

NCBI accession no.

UniProt accession no.

shipped in

wet ice

target post-translational modification

unmodified

Gene Information

human ... NES(10763)

General description

巢蛋白,一种在发育过程中以及在肌腱和神经肌肉接头中表达的大型中间丝蛋白(VI型)。巢蛋白表达受到限制,通常在E18时消失。巢蛋白被认为是一种合理的神经元标记物。然而,最近的研究发现巢蛋白也在其他类型的细胞如内皮细胞中表达{Folia Biologica, 44(5):155, 1998}。巢蛋白可识别最原始的神经上皮细胞,但也可以识别许多其他胚胎组织,因此它对CNS并不特异。巢蛋白的表达在几乎所有GBM(成胶质母细胞瘤)和许多黑色素瘤(原发性和转移性)中均可见,但在所有转移性癌中均未发现。
抗巢蛋白抗体分子量为220kDa,抗体在某些细胞和/或处理中可见到260kDa的条带

Immunogen

GST 标记的重组蛋白,对应于人巢蛋白。

Application

使用经验证可用于蛋白质印迹法,ICC &IHC的抗巢蛋白人抗体检测人巢蛋白。
通过免疫细胞化学在人WI38细胞中进行评估。
免疫细胞化学分析:该抗体的1:500稀释液在人WI38细胞中检测到巢蛋白。
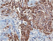
通过免疫组化在人胶质母细胞瘤组织中进行评价。
免疫细胞化学分析:该抗体的1:2,000稀释液在人胶质母细胞瘤组织中检测到巢蛋白。
通过蛋白质印迹在人U251胶质母细胞瘤细胞中进行评价。蛋白质印迹分析:已显示该抗体的1:25,000稀释液可在人U251胶质母细胞瘤细胞中检测到巢蛋白。

Biochem/physiol Actions

该抗体可识别人类巢蛋白。抗体不与大鼠和小鼠巢蛋白反应。

Analysis Note

对照
U251胶质母细胞瘤细胞。
通过免疫细胞化学在人U251胶质母细胞瘤细胞中进行评价。 免疫细胞化学分析:该抗体的1:500稀释液在人U251胶质母细胞瘤细胞检测到巢蛋白。

Disclaimer

仅供研究使用在法国,在用于科研目的时(包括进口和出口活动(《公共健康法》第L 1211-1条,第2节))该产品为管制品。购买者(即最终用户)需要获得《公共健康法》法第L 1211-1条规定的法国研究部的进口授权。订购本产品即表明您确认已经获得合适的进口授权。


Still not finding the right product?

试用我们的 产品选型工具 工具缩小选择范围


存储类别

10 - Combustible liquids



分析证书(COA)

输入产品批号来搜索 分析证书(COA) 。批号可以在产品标签上"批“ (Lot或Batch)字后找到。

已有该产品?

在文件库中查找您最近购买产品的文档。

访问文档库


实验方案

Step-by-step culture protocols for neural stem cell culture including NSC isolation, expansion, differentiation and characterization.

相关内容

Neuroscience: Your Neural Network for Antibodies, Proteins, Kits, and Assays


Intraspinal transplantation of mouse and human neural precursor cells.
Weinger, JG; Chen, L; Coleman, R; Leang, R; Plaisted, WC; Loring, JF; Lane, TE
Current Protocols in Stem Cell Biology null
Matteo Setti et al.
Journal of the National Cancer Institute, 105(21), 1644-1655 (2013-10-12)
Chloride channels are physiologically involved in cell division and motility. Chloride intracellular channel 1 (CLIC1) is overexpressed in a variety of human solid tumors compared with normal tissues, suggesting a potential involvement of CLIC1 in the regulation of tumorigenesis. This
Smita Jagtap et al.
Human molecular genetics, 28(21), 3625-3636 (2019-09-14)
The X-linked neurodevelopmental diseases CDKL5 deficiency disorder (CDD) and Rett syndrome (RTT) are associated with intellectual disability, infantile spasms and seizures. Although mitochondrial dysfunction has been suggested in RTT, less is understood about mitochondrial function in CDD. A comparison of



全球贸易项目编号

货号GTIN
ABD6904053252694288