biological source
rabbit
Quality Level
antibody form
affinity isolated antibody
antibody product type
primary antibodies
clone
polyclonal
purified by
affinity chromatography
species reactivity
rat, human
technique(s)
dot blot: suitable, immunohistochemistry: suitable, immunoprecipitation (IP): suitable, western blot: suitable
NCBI accession no.
UniProt accession no.
shipped in
wet ice
target post-translational modification
monomethylation (Lys4)
Gene Information
human ... HIST1H3F(8968)
General description
Histones are highly conserved proteins that serve as the structural scaffold for the organization of nuclear DNA into chromatin. Histone modifications regulate DNA transcription, repair, recombination, and replication. The most commonly studied modifications are acetylation, phosphorylation, methylation, and ubiquitination. These modifications can alter local chromatin architecture, or recruit trans-acting factors that recognize specific histone modifications (the "histone code" hypothesis). Histone H3 is acetylated on Lys14 by Gcn5, and histone H3 phosphorylation at Ser10 facilitates acetylation of Lys14 by Gcn5 in vitro. Moreover, Lys14 is involved in chromatin remodeling, and RSC4 (part of the RSC chromatin remodeling complex) contains essential tandem bromodomains that require H3 Lys14 acetylation for gene activation.
~17 kDa observed
Immunogen
Epitope: N-terminus
KLH-conjugated linear peptide corresponding to the N-terminus of human monomethyl Histone H3 (Lys4).
Application
Anti-monomethyl Histone H3 (Lys4) is an antibody against monomethyl Histone H3 (Lys4) for use in WB, IP, IH, Dot Blot.
Dot Blot Analysis: A 1:1,000 dilution from a representative lot detected monomethyl Histone H3 (Lys4) in an Absurance Histone H3 Antibody Specificity Array (Cat. No. 16-667) and an Absurance Histone H2A, H2B, H4 Antibody Specificity Array (Cat. No. 16-665).
Immunoprecipitation Analysis: 10 µg from a representative lot immunoprecipitated monomethyl Histone H3 (Lys4) in 500 µg of HeLa acid extract.
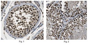
Immunohistochemistry Analysis: A 1:1,000 dilution from a representative lot detected monomethyl Histone H3 (Lys4) in human and rat testis tissue.
Immunoprecipitation Analysis: 10 µg from a representative lot immunoprecipitated monomethyl Histone H3 (Lys4) in 500 µg of HeLa acid extract.
Immunohistochemistry Analysis: A 1:1,000 dilution from a representative lot detected monomethyl Histone H3 (Lys4) in human and rat testis tissue.
Research Category
Epigenetics & Nuclear Function
Epigenetics & Nuclear Function
Research Sub Category
Nuclear Receptors
Nuclear Receptors
Physical form
Affinity purified
Purified rabbit polyclonal in buffer containing 0.1 M Tris-Glycine (pH 7.4), 150 mM NaCl with 0.05% sodium azide.
Preparation Note
Stable for 1 year at 2-8°C from date of receipt.
Analysis Note
Evaluated by Western Blotting in HeLa acid extract.
Western Blotting Analysis: 0.5 µg/mL of this antibody detected monomethyl Histone H3 (Lys4) in 10 µg of HeLa acid extract.
Western Blotting Analysis: 0.5 µg/mL of this antibody detected monomethyl Histone H3 (Lys4) in 10 µg of HeLa acid extract.
Other Notes
Concentration: Please refer to lot specific datasheet.
Disclaimer
Unless otherwise stated in our catalog or other company documentation accompanying the product(s), our products are intended for research use only and are not to be used for any other purpose, which includes but is not limited to, unauthorized commercial uses, in vitro diagnostic uses, ex vivo or in vivo therapeutic uses or any type of consumption or application to humans or animals.
存储类别
12 - Non Combustible Liquids
wgk
WGK 1
flash_point_f
Not applicable
flash_point_c
Not applicable
全球贸易项目编号
| 货号 | GTIN |
|---|---|
| ABE1304 | 04055977112597 |