跳转至内容
Merck
CN

ABE1400

Anti-TFE3

from rabbit, purified by affinity chromatography

别名:

Transcription factor E3, bHLHe33, Class E basic helix-loop-helix protein 33

登录 查看组织和合同定价。

选择尺寸

变更视图

关于此项目

eCl@ss:
32160702
UNSPSC Code:
12352203
NACRES:
NA.46
Conjugate:
unconjugated
Clone:
polyclonal
Application:
ICC, WB
Citations:
2
技术服务
需要帮助?我们经验丰富的科学家团队随时乐意为您服务。
让我们为您提供帮助


biological source

rabbit

Quality Level

conjugate

unconjugated

antibody form

affinity isolated antibody

antibody product type

primary antibodies

clone

polyclonal

purified by

affinity chromatography

species reactivity

mouse, human

technique(s)

immunocytochemistry: suitable, western blot: suitable

NCBI accession no.

UniProt accession no.

shipped in

ambient

target post-translational modification

unmodified

Gene Information

human ... TFE3(7030)

General description

Transcription factor E3 (UniProt P19532; also known as bHLHe33, Class E basic helix-loop-helix protein 33, TFE3) is encoded by the TFE3 (also known as BHLHE33) gene (Gene ID 7030) in human. TFE3 contains adjacent helix-loop-helix (HLH) and leucine zipper (LZ) domains flanked by an upstream basic region. It specifically recognizes and binds E-box sequences (5′-CANNTG-3′). TFE3 is ubiquitously expressed and can directly associate with DNA as either homodimers or heterodimers formed with two related proteins, TFEB or TFEC. In association with TFEB, TFE3 activates the expression of CD40L in T-cells, thereby playing a role in T-cell-dependent antibody responses in activated CD4+ T-cells and in thymus-dependent humoral immunity. TFE3 binds to and activates the microE3 motif of the immunoglobulin heavy-chain enhancer to induce B-cell-specific gene transcription and DNA recombination. TFEB is expressed at low levels in the embryo, but is expressed at high levels in the trophoblast cells of the placenta, where it plays a critical role in regulating normal vascularization. It has been shown that the exit from pluripotency is gated by intracellular redistribution of TFE3. Chromosomal aberrations involving TFE3 have been reported in patients with papillary renal cell carcinoma. Ref.: Betschinger, J., et al. (2013). Cell 153, 335-347.
~75 kDa observed. Target band size appears larger than the calculated molecular weight of 61.52 kDa due to posttranslational modification. Uncharacterized bands may be observed in some lysate(s).

Immunogen

KLH-conjugated linear peptide corresponding to a leucine zipper region sequence of human TFE3.

Application

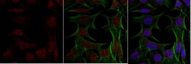
Anti-TFE3, Cat. No. ABE1400, is a highly specific rabbit polyclonal antibody that targets transcription factor E3 (TFE3) and has been tested in Immunocytochemistry and Western Blotting.
Immunocytochemistry Analysis: A 1:500 dilution from a representative lot detected TFE3 in 4% paraformaldehyde-fixed, 0.5% Triton X-100-permeablized MEF-1 mouse embryonic fibrolasts.
Research Category
Epigenetics & Nuclear Function

Biochem/physiol Actions

This polyclonal antibody targets the human TFE3 leucine zipper region sequence.

Physical form

Affinity purified.
Purified rabbit polyclonal antibody in buffer containing 0.1 M Tris-Glycine (pH 7.4), 150 mM NaCl with 0.05% sodium azide.

Preparation Note

Stable for 1 year at 2-8°C from date of receipt.

Analysis Note

Evaluated by Western Blotting in NIH/3T3 nuclear extract.

Western Blotting Analysis: 0.1 µg/mL of this antibody detected TFE3 in 10 µg of NIH/3T3 nuclear extract.

Other Notes

Concentration: Please refer to lot specific datasheet.

Disclaimer

Unless otherwise stated in our catalog or other company documentation accompanying the product(s), our products are intended for research use only and are not to be used for any other purpose, which includes but is not limited to, unauthorized commercial uses, in vitro diagnostic uses, ex vivo or in vivo therapeutic uses or any type of consumption or application to humans or animals.


Still not finding the right product?

试用我们的 产品选型工具 工具缩小选择范围


存储类别

12 - Non Combustible Liquids

wgk

WGK 1

flash_point_f

Not applicable

flash_point_c

Not applicable



分析证书(COA)

输入产品批号来搜索 分析证书(COA) 。批号可以在产品标签上"批“ (Lot或Batch)字后找到。

已有该产品?

在文件库中查找您最近购买产品的文档。

访问文档库



Kaushal Asrani et al.
The Journal of clinical investigation, 129(12), 5584-5599 (2019-09-19)
The microphthalmia family of transcription factors (MiT/TFEs) controls lysosomal biogenesis and is negatively regulated by the nutrient sensor mTORC1. However, the mechanisms by which cells with constitutive mTORC1 signaling maintain lysosomal catabolism remain to be elucidated. Using the murine epidermis
Kaiyuan Wu et al.
Autophagy, 17(11), 3707-3724 (2021-02-26)
The mechanisms orchestrating recycling of lysosomes through autophagic lysosome reformation (ALR) is incompletely understood. Previous data show that genetic depletion of BLOC1S1/GCN5L1/BORCS1 increases autolysosome (AL) accumulation. We postulated that this phenotype may manifest due to perturbed ALR. We explored this



全球贸易项目编号

货号GTIN
ABE140004054839112379