跳转至内容
Merck
CN

ABE2696

Anti-GADD45 alpha Antibody

from rabbit, purified by affinity chromatography

别名:

Growth arrest and DNA damage-inducible protein GADD45 alpha, DDIT-1, DNA damage-inducible transcript 1 protein

登录 查看组织和合同定价。

选择尺寸

变更视图

关于此项目

UNSPSC Code:
12352203
NACRES:
NA.41
eCl@ss:
32160702
Conjugate:
unconjugated
Clone:
polyclonal
Application:
IHC, WB
Citations:
-
技术服务
需要帮助?我们经验丰富的科学家团队随时乐意为您服务。
让我们为您提供帮助


biological source

rabbit

Quality Level

conjugate

unconjugated

antibody form

affinity isolated antibody

antibody product type

primary antibodies

clone

polyclonal

purified by

affinity chromatography

species reactivity

mouse, human

species reactivity (predicted by homology)

porcine (based on 100% sequence homology), bovine (based on 100% sequence homology)

technique(s)

immunohistochemistry: suitable, western blot: suitable

NCBI accession no.

UniProt accession no.

target post-translational modification

unmodified

Gene Information

human ... GADD45A(1647)

General description

Growth arrest and DNA damage-inducible protein GADD45 alpha (UniProt P24522; also known as DDIT-1, DNA damage-inducible transcript 1 protein) is encoded by the GADD45A (also known as DDIT1, GADD45) gene (Gene ID 1647) in human. GADD45A, GADD45B, and GADD45G constitute a family of sensors that can mediate rapid responses to a variety of stressors in mammals. GADD45 proteins are involved in cellular DNA repair, cell cycle, cell survival, apoptosis, senescence, and DNA demethylation under various stress conditions. The interaction of GADD45 with PCNA regulates DNA replication and repair by stimulating nucleotide excision repair. GADD45 can induce cell cycle arrest through direct interaction with cell cycle-related protein CDK1 and p21. Direct phosphorylation of MEKK4 by GADD45 leads to activation of JNK and p38 kinase, resulting in cellular apoptosis and senescence, respectively. All GADD45 proteins are able to interact with each other and form homo- or hetero-dimers, which are crucial for GADD45 functions. GADD45 proteins are ubiquitously expressed, but can vary in their tissue expression patterns among the three members. Gadd45a deletion in mice causes genomic instability, resulting in defective mitosis and cytokinesis, as wll as increased radiation carcinogenesis. In addition to the reported antitumor activity via the induction of cellular apoptosis or senescence in cancer cells, GADD45A has also been shown to play a role in facilitating tumorigenesis in certain cancers.
~18/36 kDa (monomer/dimer) observed. 18.34 kDa (monomer) calculated. Uncharacterized band(s) may appear in some lysates.

Immunogen

Epitope: N-terminus.
KLH-conjugated linear peptide corresponding to the N-terminal sequence of human GADD45 alpha.

Application

Research Category
Epigenetics & Nuclear Function
Research Sub Category
Cell Cycle, DNA Replication & Repair
This Anti-GADD45 alpha Antibody is validated for use in Western Blotting, Immunohistochemistry for the detection of GADD45 alpha.
Western Blotting Analysis: A 1:500 dilution from a representative lot detected GADD45 alpha dimer in 10 µg of HEK293 cell lysate.
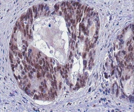
Immunohistochemistry Analysis: A 1:250 dilution from a representative lot detected GADD45 alpha in human colon cancer tissue section.

Biochem/physiol Actions

This polyclonal antibody detects GADD45 alpha. Immunogen sequence is not conserved in GADD45 beta.

Physical form

Affinity purified.
Purified rabbit polyclonal antibody in buffer containing 0.1 M Tris-Glycine (pH 7.4), 150 mM NaCl with 0.05% sodium azide.

Preparation Note

Stable for 1 year at 2-8°C from date of receipt.

Analysis Note

Evaluated by Western Blotting in mouse kidney tissue lysate.

Western Blotting Analysis: A 1:500 dilution of this antibody detected GADD45 alpha in 10 µg of mouse kidney tissue lysate.

Other Notes

Concentration: Please refer to lot specific datasheet.
Replaces: 07-1230

Disclaimer

Unless otherwise stated in our catalog or other company documentation accompanying the product(s), our products are intended for research use only and are not to be used for any other purpose, which includes but is not limited to, unauthorized commercial uses, in vitro diagnostic uses, ex vivo or in vivo therapeutic uses or any type of consumption or application to humans or animals.


Still not finding the right product?

试用我们的 产品选型工具 工具缩小选择范围


存储类别

12 - Non Combustible Liquids

wgk

WGK 1

flash_point_f

Not applicable

flash_point_c

Not applicable



分析证书(COA)

输入产品批号来搜索 分析证书(COA) 。批号可以在产品标签上"批“ (Lot或Batch)字后找到。

已有该产品?

在文件库中查找您最近购买产品的文档。

访问文档库



全球贸易项目编号

货号GTIN
ABE269604055977355369