跳转至内容
Merck
CN

ABE432

Anti-BRDT Antibody

from rabbit, purified by affinity chromatography

别名:

Bromodomain testis-specific protein, Bromodomain-containing female sterile homeotic-like protein, RING3-like protein

登录 查看组织和合同定价。

选择尺寸

变更视图

关于此项目

UNSPSC Code:
12352203
NACRES:
NA.41
eCl@ss:
32160702
Conjugate:
unconjugated
Clone:
polyclonal
Application:
IHC
Citations:
1
技术服务
需要帮助?我们经验丰富的科学家团队随时乐意为您服务。
让我们为您提供帮助


biological source

rabbit

Quality Level

conjugate

unconjugated

antibody form

affinity isolated antibody

antibody product type

primary antibodies

clone

polyclonal

purified by

affinity chromatography

species reactivity

mouse

technique(s)

immunohistochemistry: suitable

NCBI accession no.

UniProt accession no.

shipped in

wet ice

target post-translational modification

unmodified

Gene Information

mouse ... Brdt(114642)

General description

107 kDa calculated
Bromodomain testis-specific protein (BRDT), also known as Bromodomain-containing female sterile homeotic-like protein, or RING3-like protein, and encoded by the gene BRDT/ FSRG3 is a testis-specific chromatin protein that binds specifically histone H4 acetylated at ′Lys-5′ and ′Lys-8′ (H4K5ac and H4K8ac, respectively) and plays a key role in spermatogenesis. Recent studies have shown that BRDT plays a role in meiotic and post-meiotic cells by binding to acetylated histones at the promoter of specific meiotic and post-meiotic genes, facilitating their activation at the appropriate time. Therefore, it is involved in the late pachytene spermatocytes development. In the post-meiotic phase of spermatogenesis, BRDT binds to hyperacetylated histones and participates in their general removal from DNA. In addition, BRDT acts as a component of the splicing machinery in pachytene spermatocytes and round spermatids, and participates in 3′-UTR truncation of specific mRNAs in post-meiotic spermatids. BRDT is required for chromocenter organization, a structure comprised of peri-centromeric heterochromatin. BRDT is testis-specific, and expressed in the germinal cells: in the early meiotic (pachytene) spermatocytes during spermiogenesis, in the round and elongating spermatids , and in the condensed late spermatids.

Immunogen

GST-tagged recombinant protein corresponding to mouse BRDT.

Application

This Anti-BRDT antibody is validated for use in Immunohistochemistry for the detection of BRDT.

Analysis Note

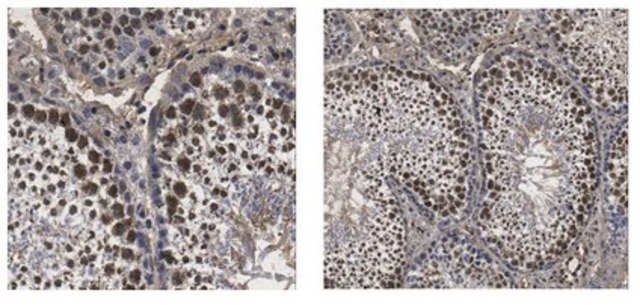
Evaluated by Immunohistochemistry in mouse testis tissue.

Immunohistochemistry Analysis: A 1:50 dilution of this antibody detected BRDT in mouse testis tissue.

Other Notes

Concentration: Please refer to lot specific datasheet.


Still not finding the right product?

试用我们的 产品选型工具 工具缩小选择范围


存储类别

12 - Non Combustible Liquids

wgk

WGK 1

flash_point_f

Not applicable

flash_point_c

Not applicable



分析证书(COA)

输入产品批号来搜索 分析证书(COA) 。批号可以在产品标签上"批“ (Lot或Batch)字后找到。

已有该产品?

在文件库中查找您最近购买产品的文档。

访问文档库



null



全球贸易项目编号

货号GTIN
ABE43204055977122350