跳转至内容
Merck
CN

ABE477

Anti-BRD2 Antibody

from rabbit, purified by affinity chromatography

别名:

Bromodomain-containing protein 2, O27.1.1, Really interesting new gene 3 protein

登录 查看组织和合同定价。

选择尺寸

变更视图

关于此项目

UNSPSC Code:
12352203
NACRES:
NA.41
eCl@ss:
32160702
Conjugate:
unconjugated
Clone:
polyclonal
Application:
IHC, WB
Citations:
-
技术服务
需要帮助?我们经验丰富的科学家团队随时乐意为您服务。
让我们为您提供帮助


biological source

rabbit

Quality Level

conjugate

unconjugated

antibody form

affinity isolated antibody

antibody product type

primary antibodies

clone

polyclonal

purified by

affinity chromatography

species reactivity

human, rat

technique(s)

immunohistochemistry: suitable, western blot: suitable

NCBI accession no.

UniProt accession no.

shipped in

wet ice

target post-translational modification

unmodified

Gene Information

human ... BRD2(6046)

General description

Bromodomain-containing protein 2 (BRD2) is a member of the BET subfamily of bromodomain proteins. These proteins contain two tandem N-terminal bromodomains and a single C-terminal extra-terminal domain. Studies have shown BRD2 to be associated with several regulators of transcription (eg. TFIID and Swi/Snf complexes) in addition to its involvement in guiding cell cycle gene expression through its binding to multiple E2F. BRD2 is hypothesized to function in mammalian development by regulating chromatin structure and transcription. Consistent with this hypothesis, studies have shown BRD2 to bind histone H4 via acetylated Lys12. BRD2 mutants have been associated with increased susceptibility to juvenile myoclonic epilepsy.
~110 kDa observed. Uniprot describes two isoforms at 88 kDa (isoform 1) and 92 kDa (isoform 2). Uncharacterized band(s) may be observed in some cell lysates.

Immunogen

GST-tagged recombinant protein corresponding to a region near the C-terminus of human BRD2.

Application

Anti-BRD2 Antibody is a highly specific rabbit polyclonal antibody, that targets BRD2 & has been tested in western blotting & IHC.
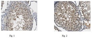
Immunohistochemistry Analysis: A 1:500 dilution of this antibody from a representative lot detected BRD2 in human testis tissues.

Immunohistochemistry Analysis: A 1:2,000 and a 1:500 dilution from a representative lot detected BRD2 in rat testis tissues.
Research Category
Epigenetics & Nuclear Function
Research Sub Category
Chromatin Biology

Biochem/physiol Actions

This antibody is expected to cross react with isoforms 1 and 2 of BRD2, based upon sequence homology.

Physical form

Affinity purified
Purified rabbit polyclonal in buffer containing 0.1 M Tris-Glycine (pH 7.4), 150 mM NaCl with 0.05% sodium azide.

Preparation Note

Stable for 1 year at 2-8°C from date of receipt.

Analysis Note

Evaluated by Western Blotting in Jurkat cell lysate.

Western Blotting Analysis: 0.25 µg/mL of this antibody detected BRD2 in 10 µg of Jurkat cell lysate.

Other Notes

Concentration: Please refer to the Certificate of Analysis for the lot-specific concentration.

Disclaimer

Unless otherwise stated in our catalog or other company documentation accompanying the product(s), our products are intended for research use only and are not to be used for any other purpose, which includes but is not limited to, unauthorized commercial uses, in vitro diagnostic uses, ex vivo or in vivo therapeutic uses or any type of consumption or application to humans or animals.


Still not finding the right product?

试用我们的 产品选型工具 工具缩小选择范围


存储类别

12 - Non Combustible Liquids

wgk

WGK 1

flash_point_f

Not applicable

flash_point_c

Not applicable



分析证书(COA)

输入产品批号来搜索 分析证书(COA) 。批号可以在产品标签上"批“ (Lot或Batch)字后找到。

已有该产品?

在文件库中查找您最近购买产品的文档。

访问文档库



全球贸易项目编号

货号GTIN
ABE47704053252929915