biological source
rabbit
Quality Level
conjugate
unconjugated
antibody form
affinity isolated antibody
antibody product type
primary antibodies
clone
polyclonal
purified by
affinity chromatography
species reactivity
human
species reactivity (predicted by homology)
horse (based on 100% sequence homology), canine (based on 100% sequence homology), bovine (based on 100% sequence homology), nonhuman primates (based on 100% sequence homology), guinea pig (based on 100% sequence homology)
technique(s)
immunohistochemistry: suitable ((Paraffin)), immunoprecipitation (IP): suitable, western blot: suitable
NCBI accession no.
UniProt accession no.
shipped in
wet ice
target post-translational modification
unmodified
Gene Information
human ... PRDM16(63976)
General description
在含 0.1 M Tris-甘氨酸(pH 7.4)150 mM NaCl 和 0.05% 叠氮化钠的缓冲液中的纯化的兔多克隆抗体
抗-PRDM16(货号ABE543)是一种兔多克隆抗体,可检测PR 结构域锌指蛋白16(PRDM16),经测试可用于免疫组织化学(石蜡)、免疫沉淀和蛋白质印迹。
目标分子量:观察值为~140 kDa;计算值为140.25 kDa。在一些裂解液中可能会观察到未表征的条带。
观测值〜140 kDa。已知存在四个亚型。在150 kDa、135 kDa和 100 kDa观察到该蛋白(EMD Millipore货号ABD130)。在某些细胞裂解物中可能会观察到未表征的条带。
Immunogen
对应于人PRDM16的KLH偶联线性肽。
Application
使用经验证可用于蛋白质印迹、IP & IHC的该兔多克隆抗-PRDM16 抗体检测PRDM16 。
免疫沉淀分析:10 µg代表性批次使得来自500 µg K562 细胞核提取物的PRDM16免疫沉淀。
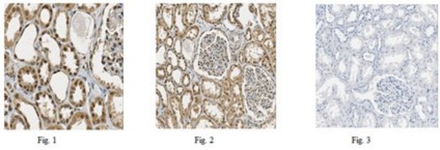
免疫组织化学分析:一个代表性批次的1:500 稀释液在人肾组织中检测到PRDM16。
免疫组织化学分析:一个代表性批次的1:500 稀释液在人肾组织中检测到PRDM16。
研究子类别
染色质生物学
染色质生物学
研究类别
表观遗传学&核功能
表观遗传学&核功能
Physical form
亲和纯化
纯化的兔血清,溶于含有0.1 M Tris-甘氨酸(pH 7.4)、150 mM NaCl和0.05%叠氮化钠的缓冲液中。
Preparation Note
自收到之日起,在2-8°C条件下可稳定保存1年。
Analysis Note
通过蛋白质印迹在LNCaP细胞核提取物中进行了评估。
蛋白质印迹分析:2 µg/mL的该抗体在10 µg LNCaP细胞核提取物中检测到PRDM16。
蛋白质印迹分析:2 µg/mL的该抗体在10 µg LNCaP细胞核提取物中检测到PRDM16。
Other Notes
浓度:请参考批次特异性浓缩物的检验报告。
Disclaimer
除非我们的产品目录或产品附带的其他公司文档另有说明,否则我们的产品仅供研究使用,不得用于任何其他目的,包括但不限于未经授权的商业用途、体外诊断用途、离体或体内治疗用途或任何类型的消费或应用于人类或动物。
Still not finding the right product?
存储类别
12 - Non Combustible Liquids
wgk
WGK 1
flash_point_f
Not applicable
flash_point_c
Not applicable
全球贸易项目编号
| 货号 | GTIN |
|---|---|
| ABE543 | 04053252937491 |