跳转至内容
Merck
CN

ABN1382

Anti-DGL-α Antibody

from rabbit, purified by affinity chromatography

别名:

Sn1-specific diacylglycerol lipase alpha, DGL-alpha, Neural stem cell-derived dendrite regulator, DGL-α

登录 查看组织和合同定价。

选择尺寸

变更视图

关于此项目

UNSPSC Code:
12352203
NACRES:
NA.41
eCl@ss:
32160702
Conjugate:
unconjugated
Clone:
polyclonal
Application:
IHC, WB
Citations:
1
技术服务
需要帮助?我们经验丰富的科学家团队随时乐意为您服务。
让我们为您提供帮助


biological source

rabbit

Quality Level

conjugate

unconjugated

antibody form

affinity isolated antibody

antibody product type

primary antibodies

clone

polyclonal

purified by

affinity chromatography

species reactivity

mouse, human

technique(s)

immunohistochemistry: suitable, western blot: suitable

NCBI accession no.

UniProt accession no.

shipped in

wet ice

target post-translational modification

unmodified

Gene Information

human ... DAGLA(747)

General description

The protein DGL-alpha is a lipase enzyme that catalyzes the hydrolysis of diacylglycerol (DAG) to 2-arachidonoyl-glycerol (2-AG) endocannabinoid in tissues. Endocannabinoids are a group of lipid-like molecules that are neuromodulatory in nature and are involved in the control of many physiological functions including appetite, pain sensation, mood, and memory. They also mediate the psychoactive effects of cannabis (marijuana). Endocannabinoids (ECs) act as retrograde messengers that enable postsynaptic cells to regulate the strength of their synaptic inputs. DGL-alpha is also an excellent marker for cerebellum as DGL-alpha is highly expressed in cerebellum and necessary for the regulation of synaptic retrograde transmission in the cerebellum, hippocampus and striatum, as well as other regions including the auditory brainstem.
~110 kDa observed. Uncharacterized band(s) may appear in some lysates.

Immunogen

Recombinant protein corresponding to the cytoplasmic domain of human DGL-α.

Application

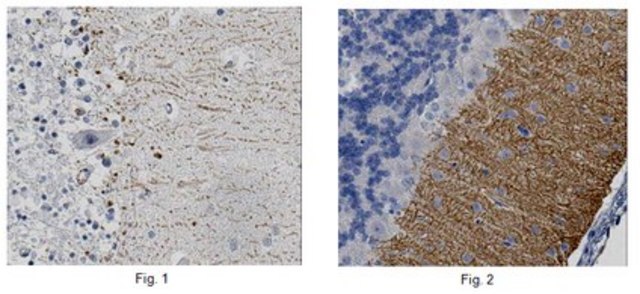
Immunohistochemistry Analysis: A 1:50 dilution from a representative lot detected DGL-α in human cerebellum and mouse cerebellum tissue.
Immunohistochemistry Analysis: A representative lot detected DGL-α in mouse brain tissue (Berghuis, P., et al. (2007). Science. 316:1212-1216).
This Anti-DGL-α Antibody is validated for use in Western Blotting and Immunohistochemistry for the detection of DGL-α.

Analysis Note

Evaluated by Western Blotting in mouse cerebellum tissue lysate.

Western Blotting Analysis: A 1:1,000 dilution of this antibody detected DGL-α in 10 µg of mouse cerebellum tissue lysate.

Other Notes

Concentration: Please refer to lot specific datasheet.


Still not finding the right product?

试用我们的 产品选型工具 工具缩小选择范围


存储类别

12 - Non Combustible Liquids

wgk

WGK 1

flash_point_f

Not applicable

flash_point_c

Not applicable



分析证书(COA)

输入产品批号来搜索 分析证书(COA) 。批号可以在产品标签上"批“ (Lot或Batch)字后找到。

已有该产品?

在文件库中查找您最近购买产品的文档。

访问文档库



B A S Reyes et al.
Neuroscience, 303, 323-337 (2015-07-15)
Endocannabinoids (eCBs) are involved in a myriad of physiological processes that are mediated through the activation of cannabinoid receptors, which are ubiquitously distributed within the nervous system. One neurochemical target at which cannabinoids interact to have global effects on behavior



全球贸易项目编号

货号GTIN
ABN138204053252992759