跳转至内容
Merck
CN

ABN207

Anti-DBN1 Antibody

from rabbit, purified by affinity chromatography

别名:

Drebrin, Developmentally-regulated brain protein, DBN1

登录 查看组织和合同定价。

选择尺寸

变更视图

关于此项目

UNSPSC Code:
12352203
NACRES:
NA.41
eCl@ss:
32160702
Conjugate:
unconjugated
Clone:
polyclonal
Application:
IHC, WB
Citations:
-
技术服务
需要帮助?我们经验丰富的科学家团队随时乐意为您服务。
让我们为您提供帮助


biological source

rabbit

Quality Level

conjugate

unconjugated

antibody form

affinity isolated antibody

antibody product type

primary antibodies

clone

polyclonal

purified by

affinity chromatography

species reactivity

mouse, horse, human, rat

species reactivity (predicted by homology)

bovine (based on 100% sequence homology), equine (based on 100% sequence homology)

technique(s)

immunohistochemistry: suitable (paraffin), western blot: suitable

NCBI accession no.

UniProt accession no.

shipped in

wet ice

target post-translational modification

unmodified

Gene Information

human ... DBN1(1627)

General description

Drebrin (Developmentally-regulated brain protein) is also known by the gene name DBN1. Drebrins are found in the cytoplasm of brain neurons as well as tissues including heart, placenta skeletal muscle kidney and pancreas. Debrin binds F-actin and is involved in the mechanisms of development, cell migration, neuronal processes and dendrite plasticity.
~110 kDa observed. The calculated molecular weight is 71 kDa, however DBN1 has been shown as a ~110 kDa band in western blotting (Maezawa, I., et al. (2006).

Immunogen

KLH-conjugated linear peptide corresponding to human DBN1.

Application

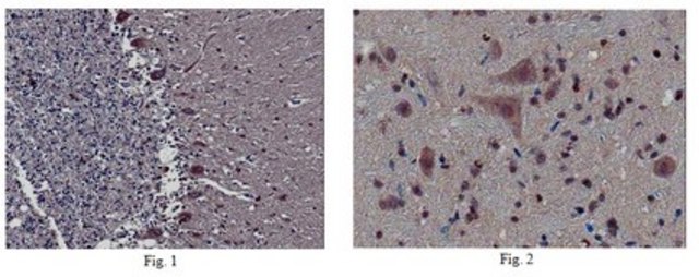
Immunohistochemistry Analysis: A 1:4,000 dilution from a representative lot detected DBN1 in human cerebellum and rat midbrain tissues.
Research Category
Neuroscience
Research Sub Category
Developmental Signaling
This DBN1 antibody is validated for use in WB & IHC for the detection of the DBN1 protein.

Physical form

Affinity purified
Purified rabbit polyclonal in buffer containing 0.1 M Tris-Glycine (pH 7.4), 150 mM NaCl with 0.05% sodium azide.

Preparation Note

Stable for 1 year at 2-8°C from date of receipt.

Analysis Note

Control
Mouse brain tissue lysate
Evaluated by Western Blotting in mouse brain tissue lysate.

Western Blotting Analysis: 0.25 µg/mL of this antibody detected DBN1 in 10 µg of mouse brain tissue lysate.

Other Notes

Concentration: Please refer to the Certificate of Analysis for the lot-specific concentration.
Replaces: AB15288

Disclaimer

Unless otherwise stated in our catalog or other company documentation accompanying the product(s), our products are intended for research use only and are not to be used for any other purpose, which includes but is not limited to, unauthorized commercial uses, in vitro diagnostic uses, ex vivo or in vivo therapeutic uses or any type of consumption or application to humans or animals.


Still not finding the right product?

试用我们的 产品选型工具 工具缩小选择范围


存储类别

12 - Non Combustible Liquids

wgk

WGK 1

flash_point_f

Not applicable

flash_point_c

Not applicable



分析证书(COA)

输入产品批号来搜索 分析证书(COA) 。批号可以在产品标签上"批“ (Lot或Batch)字后找到。

已有该产品?

在文件库中查找您最近购买产品的文档。

访问文档库



全球贸易项目编号

货号GTIN
ABN20704053252850783