跳转至内容
Merck
CN

ABN240

Anti-Beta (β)-Amyloid antibody

rabbit polyclonal

别名:

Amyloid beta A4 protein, ABPP, APPI, APP, Alzheimer disease amyloid protein, Cerebral vascular amyloid peptide, CVAP, PreA4, Protease nexin-II, PN-II, 1.N-APP2.Soluble APP-alpha, S-APP-alpha3.Soluble APP-beta, S-APP-beta4.C995.Beta-amyloid protein 42, Be

登录 查看组织和合同定价。

选择尺寸

变更视图

关于此项目

UNSPSC Code:
12352203
eCl@ss:
32160702
NACRES:
NA.41
Clone:
polyclonal
Species reactivity:
human
Application:
ELISA, IHC, WB
Citations:
1
技术服务
需要帮助?我们经验丰富的科学家团队随时乐意为您服务。
让我们为您提供帮助


产品名称

Anti-Amyloid, β 1-40, aβ Antibody, from rabbit, purified by affinity chromatography

biological source

rabbit

Quality Level

antibody form

affinity isolated antibody

antibody product type

primary antibodies

clone

polyclonal

purified by

affinity chromatography

species reactivity

human

species reactivity (predicted by homology)

bovine (based on 100% sequence homology), rat (based on 100% sequence homology), mouse (based on 100% sequence homology)

technique(s)

ELISA: suitable, immunohistochemistry: suitable (paraffin), western blot: suitable

NCBI accession no.

UniProt accession no.

shipped in

wet ice

target post-translational modification

unmodified

Gene Information

human ... APP(351)

General description

Amyloid β 1-40 is one of several functional peptides (39 to 43 amino acids in length) formed from proteolytic cleavage of the amyloid-beta precursor protein (APP) by the family of secretase enzymes. Although the APP protein is required for a number of biological functions including axonal transport, cell adhesion, and transcription, the amyloid β 1-40 peptide has been studied mostly for its role in neurotoxicity, particularly in the context of Alzheimer’s disease. Previous studies have reported that expression of amyloid β 1-40 increases in Alzheimer’s disease and correlate with the occurrence of aberrant synaptic structure and cognitive dysfunction. These detrimental effects on neural function may be related to aggregation of this peptide (formation of neurite plaques), as neurite plaques been shown to disrupt multiple neurotransmitter systems, and synaptic events such as long-term potentiation.
~4 kDa observed. An uncharacterized band appears at ~19 kDa in some lysates.

Immunogen

Epitope: P3(40) peptide
KLH-conjugated linear peptide corresponding to the P3(40) peptide of human Amyloid, B 1-40.

Application

Anti-Amyloid, β 1-40, aβ Antibody is an antibody against Amyloid, β 1-40, aβ for use in Western Blotting, IHC(P), ELISA.
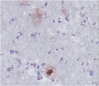
Immunohistochemistry Analysis: A 1:1,000 dilution from a representative lot detected Amyloid, B 1-40 in human Alzheimer′s diseased brain tissue.

ELISA: A representative lot detected Amyloid, B 1-40 in ELISA (Direct).
Research Category
Neuroscience
Research Sub Category
Neurodegenerative Diseases

Biochem/physiol Actions

This antibody recognizes the P3(40) peptide of Amyloid, β 1-40.

Physical form

Affinity purified
Purified rabbit polyclonal serum in buffer containing 0.1 M Tris-Glycine (pH 7.4), 150 mM NaCl with 0.05% sodium azide.

Preparation Note

Stable for 1 year at 2-8°C from date of receipt.

Analysis Note

Control
Human Alzhiemer brain tissue lysate
Evaluated by Western Blot in human Alzheimer brain tissue lysate.

Western Blot Analysis: 0.5 µg/mL of this antibody detected Amyloid, B 1-40 on 10 µg of human Alzheimer brain tissue lysate.

Other Notes

Replaces: AB5737

Disclaimer

Unless otherwise stated in our catalog or other company documentation accompanying the product(s), our products are intended for research use only and are not to be used for any other purpose, which includes but is not limited to, unauthorized commercial uses, in vitro diagnostic uses, ex vivo or in vivo therapeutic uses or any type of consumption or application to humans or animals.


Still not finding the right product?

Explore all of our products under

或者

试用我们的 产品选型工具 工具缩小选择范围


存储类别

12 - Non Combustible Liquids

wgk

WGK 1

flash_point_f

Not applicable

flash_point_c

Not applicable



分析证书(COA)

输入产品批号来搜索 分析证书(COA) 。批号可以在产品标签上"批“ (Lot或Batch)字后找到。

已有该产品?

在文件库中查找您最近购买产品的文档。

访问文档库


相关内容

Alzheimer’s Disease: Amyloid Cascade and Beyond Product Focus


Amanda B Chai et al.
International journal of molecular sciences, 22(1) (2021-01-02)
Defective clearance mechanisms lead to the accumulation of amyloid-beta (Aβ) peptides in the Alzheimer's brain. Though predominantly generated in neurons, little is known about how these hydrophobic, aggregation-prone, and tightly membrane-associated peptides exit into the extracellular space where they deposit



全球贸易项目编号

货号GTIN
ABN24004053252648830