跳转至内容
Merck
CN

ABN293

Anti-Prohibitin Antibody

from rabbit, purified by affinity chromatography

别名:

Prohibitin

登录 查看组织和合同定价。

选择尺寸

变更视图

关于此项目

UNSPSC Code:
12352203
NACRES:
NA.41
eCl@ss:
32160702
Conjugate:
unconjugated
Clone:
polyclonal
Application:
IHC, WB
Citations:
1
技术服务
需要帮助?我们经验丰富的科学家团队随时乐意为您服务。
让我们为您提供帮助


biological source

rabbit

Quality Level

conjugate

unconjugated

antibody form

affinity isolated antibody

antibody product type

primary antibodies

clone

polyclonal

purified by

affinity chromatography

species reactivity

human

species reactivity (predicted by homology)

rat (based on 100% sequence homology), canine (based on 100% sequence homology), bovine (based on 100% sequence homology)

technique(s)

immunohistochemistry: suitable (paraffin), western blot: suitable

NCBI accession no.

UniProt accession no.

shipped in

wet ice

target post-translational modification

unmodified

Gene Information

human ... PHB(5245)

General description

Prohibitin is an inhibitor of DNA synthesis that is widely expressed across various tissues. Prohibitin influences proliferation, and may also have a role in regulating mitochondrial respiration activity and in aging. Expression levels of prohibitin in fibroblasts have been found to decrease heterogeneously as cellular aging occurs.
~32 kDa observed

Immunogen

KLH-conjugated linear peptide corresponding to human Prohibitin near the N-Terminus.

Application

Detect Prohibitin using this rabbit polyclonal antibody, Anti-Prohibitin Antibody validated for use in western blotting & IHC (Paraffin).
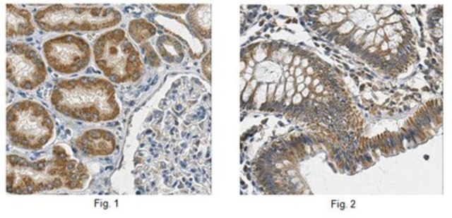
Immunohistochemistry Analysis: A 1:100-500 dilution from a representative lot detected Prohibitin in human kidney and human ileum tissue.

Biochem/physiol Actions

Other homologies: Mouse (86% sequence homology).
This antibody recognizes Prohibitin near the N-Terminus.

Analysis Note

Evaluated by Western Blotting in human liver tissue lysate.

Western Blotting Analysis: 2.0 µg/mL of this antibody detected Prohibitin in 10 µg of human liver tissue lysate.

Other Notes

Concentration: Please refer to the Certificate of Analysis for the lot-specific concentration.


Still not finding the right product?

试用我们的 产品选型工具 工具缩小选择范围


存储类别

12 - Non Combustible Liquids

wgk

WGK 1

flash_point_f

Not applicable

flash_point_c

Not applicable



分析证书(COA)

输入产品批号来搜索 分析证书(COA) 。批号可以在产品标签上"批“ (Lot或Batch)字后找到。

已有该产品?

在文件库中查找您最近购买产品的文档。

访问文档库



Sunkyu Choi et al.
Scientific reports, 8(1), 5858-5858 (2018-04-13)
Cancer metastasis causes approximately 90% of all cancer-related death and independent of the advancement of cancer therapy, a majority of late stage patients suffers from metastatic cancer. Metastasis implies cancer cell migration and invasion throughout the body. Migration requires the



全球贸易项目编号

货号GTIN
ABN29304053252917288