biological source
rabbit
Quality Level
conjugate
unconjugated
antibody form
affinity isolated antibody
antibody product type
primary antibodies
clone
polyclonal
purified by
affinity chromatography
species reactivity
human
technique(s)
immunohistochemistry: suitable (paraffin), western blot: suitable
NCBI accession no.
UniProt accession no.
shipped in
wet ice
target post-translational modification
unmodified
Gene Information
human ... ANXA3(306)
General description
Annexin A3 is also called 35-alpha calcimedin, Annexin III, Annexin-3, Inositol 1,2-cyclic phosphate 2-phosphohydrolase, Lipocortin III and Placental anticoagulant protein III (PAP-III). Annexin A3 is an inhibitor of phospholipase A2 that has anti-coagulant properties. In addition, Annexin A3 cleaves the cyclic bond of inositol 1,2-cyclic phosphate to form inositol 1-phosphate.
~36 kDa observed
Immunogen
KLH-conjugated linear peptide corresponding to human Annexin A3.
Application
Detect Annexin using this rabbit polyclonal antibody, Anti-Annexin A3 Antibody validated for use in western blotting & IHC (Paraffin).
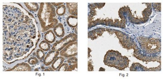
Immunohistochemistry Analysis: A 1:2,000 dilution from a representative lot detected Annexin A3 in human kidney and human prostate tissue.
Research Category
Neuroscience
Neuroscience
Research Sub Category
Developmental Signaling
Developmental Signaling
Physical form
Affinity purified
Purified rabbit polyclonal in buffer containing 0.1 M Tris-Glycine (pH 7.4), 150 mM NaCl with 0.05% sodium azide.
Preparation Note
Stable for 1 year at 2-8°C from date of receipt.
Analysis Note
Control
Human placenta tissue lysate
Human placenta tissue lysate
Evaluated by Western Blotting in human placenta tissue lysate.
Western Blotting Analysis: 0.5 µg/mL of this antibody detected Annexin A3 in 10 µg of human placenta tissue lysate.
Western Blotting Analysis: 0.5 µg/mL of this antibody detected Annexin A3 in 10 µg of human placenta tissue lysate.
Other Notes
Concentration: Please refer to the Certificate of Analysis for the lot-specific concentration.
Disclaimer
Unless otherwise stated in our catalog or other company documentation accompanying the product(s), our products are intended for research use only and are not to be used for any other purpose, which includes but is not limited to, unauthorized commercial uses, in vitro diagnostic uses, ex vivo or in vivo therapeutic uses or any type of consumption or application to humans or animals.
Still not finding the right product?
试用我们的 产品选型工具 工具缩小选择范围
存储类别
12 - Non Combustible Liquids
wgk
WGK 1
flash_point_f
Not applicable
flash_point_c
Not applicable
全球贸易项目编号
| 货号 | GTIN |
|---|---|
| ABN294 | 04053252917295 |