跳转至内容
Merck
CN

ABN470

Anti-EPAC1 Antibody

from rabbit, purified by affinity chromatography

别名:

Rap guanine nuclear exchange factor 3, RAPGEF3, cAMPGEF-I, bcm910, cAMP-GEFI, Exchange factor directly activated by cAMP, cAMP-regulated guanine nucleotide exchange factor I, EPAC1

登录 查看组织和合同定价。

选择尺寸

变更视图

关于此项目

UNSPSC Code:
12352203
NACRES:
NA.41
eCl@ss:
32160702
Conjugate:
unconjugated
Clone:
polyclonal
Application:
IHC, WB
Citations:
-
技术服务
需要帮助?我们经验丰富的科学家团队随时乐意为您服务。
让我们为您提供帮助


biological source

rabbit

Quality Level

conjugate

unconjugated

antibody form

affinity isolated antibody

antibody product type

primary antibodies

clone

polyclonal

purified by

affinity chromatography

species reactivity

human, rat

technique(s)

immunohistochemistry: suitable, western blot: suitable

UniProt accession no.

shipped in

wet ice

target post-translational modification

unmodified

Gene Information

human ... RAPGEF3(10411)

General description

Exchange protein directly activated by cAMP 1 (EPAC1) is also known as Rap guanine nuclear exchange factor 3 and cAMPGEF-I. EPAC1 is a guanine nucleotide exchange factor (GEF) for RAP1A and RAP2A small GTPases which are activated through cAMP binding. EPAC1 couples cAMP production to the activation of the Ras family GTPase, Rap. Activation of Rap drives several cellular processes such as integrin-mediated cell adhesion, vascular endothelial barrier formation, and cardiac myocyte gap junction formation. EPAC1 is part of a signaling complex in which it activates the PI3K gamma complex, which is involved in angiogenesis. EPAC1 may also regulate ion channel formation, intracellular Ca++ signaling, ion transporter activity, and exocytosis. EPAC1 is widely expressed, especially in brain, heart, kidney, pancreas, spleen, ovary, thyroid and spinal cord.
~103 kDa observed. Uncharacterized bands may appear in some lysate(s).

Immunogen

KLH-conjugated linear peptide corresponding to human EPAC1.

Application

Anti-EPAC1 Antibody is a highly specific rabbit polyclonal antibody, that targets Epac & has been tested in western blotting & IHC.
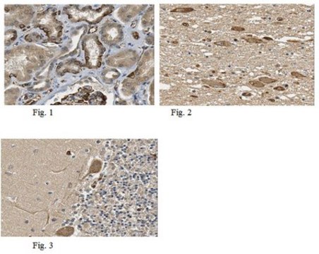
Immunohistochemistry Analysis: A 1:1,000 dilution from a representative lot detected EPAC1 in human kidney, thalamus, and cerebellum tissues.
Research Category
Neuroscience
Research Sub Category
Developmental Neuroscience

Physical form

Antigen Affinity Purified
Purified rabbit polyclonal in buffer containing PBS with up to 0.1% sodium azide.

Preparation Note

Stable for 1 year at 2-8°C from date of receipt.

Analysis Note

Control
Rat skeletal muscle tissue lysate
Evaluated by Western Blotting in rat skeletal muscle tissue lysate.

Western Blotting Analysis: 1 µg/mL of this antibody detected EPAC1 in 15 µg of rat skeletal muscle tissue lysate.

Other Notes

Concentration: Please refer to the Certificate of Analysis for the lot-specific concentration.

Disclaimer

Unless otherwise stated in our catalog or other company documentation accompanying the product(s), our products are intended for research use only and are not to be used for any other purpose, which includes but is not limited to, unauthorized commercial uses, in vitro diagnostic uses, ex vivo or in vivo therapeutic uses or any type of consumption or application to humans or animals.


Still not finding the right product?

试用我们的 产品选型工具 工具缩小选择范围


存储类别

12 - Non Combustible Liquids

wgk

WGK 2

flash_point_f

Not applicable

flash_point_c

Not applicable



分析证书(COA)

输入产品批号来搜索 分析证书(COA) 。批号可以在产品标签上"批“ (Lot或Batch)字后找到。

已有该产品?

在文件库中查找您最近购买产品的文档。

访问文档库



全球贸易项目编号

货号GTIN
ABN47004053252923494