跳转至内容
Merck
CN

ABN492

Anti-EPAC2 Antibody

from rabbit, purified by affinity chromatography

别名:

Rap guanine nuclear exchange factor 4, RAPGEF4, cAMPGEF-II, CGEF2, Exchange factor directly activated by cAMP 2

登录 查看组织和合同定价。

选择尺寸

变更视图

关于此项目

UNSPSC Code:
12352203
NACRES:
NA.41
eCl@ss:
32160702
Conjugate:
unconjugated
Clone:
polyclonal
Application:
IHC, WB
Citations:
-
技术服务
需要帮助?我们经验丰富的科学家团队随时乐意为您服务。
让我们为您提供帮助


biological source

rabbit

Quality Level

conjugate

unconjugated

antibody form

affinity isolated antibody

antibody product type

primary antibodies

clone

polyclonal

purified by

affinity chromatography

species reactivity

mouse, rat

species reactivity (predicted by homology)

human (immunogen homology)

technique(s)

immunohistochemistry: suitable, western blot: suitable

UniProt accession no.

shipped in

wet ice

target post-translational modification

unmodified

Gene Information

human ... RAPGEF4(11069)

General description

Exchange factor directly activated by cAMP 2 (EPAC2), also known as Rap guanine nuclear exchange factor 4 (RAPGEF4) and cAMP-regulated guanine nucleotide exchange factor II (cAMPGEF-II), belong to a family of cyclic adenosine monophosphate (cAMP) binding proteins that act as a guanine nucleotide exchange factor (GEF) for RAP1A, RAP1B, and RAP2A small GTPases that are activated through cAMP binding. EPAC2 signaling plays a role in numerous cellular processes such as integrin-mediated cell adhesion, muscle contraction, learning and memory, cell proliferation, exocytosis and inflammation. EPAC2 has been found to induce synapse remodeling and depression, with mutations in its gene being found in patients with autism. EPAC2 is predominantly expressed in brain and adrenal gland.
~129 kDa observed. Uncharacterized bands may appear in some lysate(s). Uniprot describes 3 isoforms at ~79 kDa, ~100 kDa, and ~116 kDa

Immunogen

KLH-conjugated linear peptide corresponding to human EPAC2.

Application

Anti-EPAC2 Antibody is a highly specific rabbit polyclonal antibody, that targets Epac & has been tested in western blotting & IHC.
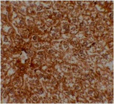
Immunohistochemistry Analysis: 2.5 µg/mL from a representative lot detected EPAC2 in mouse liver tissue.
Research Category
Neuroscience
Research Sub Category
Developmental Neuroscience

Physical form

Antigen Affinity Purified
Purified rabbit polyclonal in buffer containing PBS with up to 0.1% sodium azide.

Preparation Note

Stable for 1 year at 2-8°C from date of receipt.

Analysis Note

Control
Rat liver tissue lysate
Evaluated by Western Blotting/Peptide Inhibition Assay in rat liver tissue lysate.

Western Blotting/Peptide Inhibition Assay Analysis: 1 µg/mL of this antibody detected EPAC2 in 15 µg of rat liver tissue lysate.

Other Notes

Concentration: Please refer to the Certificate of Analysis for the lot-specific concentration.

Disclaimer

Unless otherwise stated in our catalog or other company documentation accompanying the product(s), our products are intended for research use only and are not to be used for any other purpose, which includes but is not limited to, unauthorized commercial uses, in vitro diagnostic uses, ex vivo or in vivo therapeutic uses or any type of consumption or application to humans or animals.


Still not finding the right product?

试用我们的 产品选型工具 工具缩小选择范围


wgk

WGK 2

flash_point_f

Not applicable

flash_point_c

Not applicable

存储类别

12 - Non Combustible Liquids



分析证书(COA)

输入产品批号来搜索 分析证书(COA) 。批号可以在产品标签上"批“ (Lot或Batch)字后找到。

已有该产品?

在文件库中查找您最近购买产品的文档。

访问文档库



全球贸易项目编号

货号GTIN
ABN49204053252907005