跳转至内容
Merck
CN

ABN66

抗胆固醇酰基转移酶1抗体

from rabbit, purified by affinity chromatography

别名:

Sterol O-acyltransferase 1, Acyl-coenzyme A:cholesterol acyltransferase 1, ACAT-1, Cholesterol acyltransferase 1

登录 查看组织和合同定价。

选择尺寸

变更视图

关于此项目

UNSPSC Code:
12352203
NACRES:
NA.41
eCl@ss:
32160702
Conjugate:
unconjugated
Clone:
polyclonal
Application:
IHC, WB
Citations:
-
技术服务
需要帮助?我们经验丰富的科学家团队随时乐意为您服务。
让我们为您提供帮助


biological source

rabbit

Quality Level

conjugate

unconjugated

antibody form

affinity isolated antibody

antibody product type

primary antibodies

clone

polyclonal

purified by

affinity chromatography

species reactivity

rhesus macaque, human

species reactivity (predicted by homology)

rhesus monkey (based on 100% sequence homology), chimpanzee (based on 100% sequence homology), rat (based on 100% sequence homology)

technique(s)

immunohistochemistry: suitable (paraffin), western blot: suitable

NCBI accession no.

UniProt accession no.

shipped in

wet ice

target post-translational modification

unmodified

Gene Information

human ... SOAT1(6646)

General description

胆固醇酰基转移酶1(ACAT1)是线粒体定位的酶,可催化由两个乙酰辅酶A分子可逆形成乙酰乙酰辅酶A,并在酮体代谢中起重要作用。 编码ACAT1的基因缺陷与α-甲基乙酰乙酸尿症有关,这是一种先天性异亮氨酸分解代谢错误,其特征是尿中排泄2-甲基-3-羟基丁酸、2-甲基乙酰乙酸、N-巴豆酰基甘氨酸和丁酮。 最近的研究表明,ACAT1可能是治疗某些形式的阿尔茨海默′病的治疗靶标。
观察到约58 kDa,这可能是SDS-PAGE样品制备过程中天然蛋白二聚化/聚集的结果。计算的分子量为65 kDa

Immunogen

对应于人胆固醇酰基转移酶1的KLH偶联的线性肽。

Application

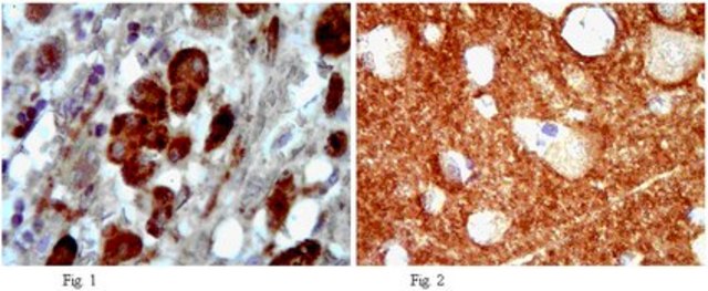
免疫组化分析: 代表性批次的1:1,000稀释液在人肾上腺和正常人脑组织中检测到胆固醇酰基转移酶1。
研究子类别
神经退行性疾病
研究类别
神经科学
该抗胆固醇酰基转移酶1抗体经验证可用于WB,IH(P)检测胆固醇酰基转移酶1。

Biochem/physiol Actions

其他同源性: 小鼠(93% 序列同源性)。

Physical form

亲和纯化
在含 0.1 M Tris-甘氨酸(pH 7.4),150 mM NaCl 和 0.05% 叠氮化钠的缓冲液中的纯化的兔多克隆抗体。

Preparation Note

自收到之日起,在 2-8°C 条件下可稳定保存1年

Analysis Note

对照
Caco-2细胞裂解物
通过蛋白质印迹对Caco-2细胞裂解物进行了评估。

蛋白质印迹分析:0.05 µg/mL该抗体在10 µg Caco-2细胞裂解物中检测到胆固醇酰基转移酶1。

Other Notes

浓度:请参考批次特异性浓缩物的分析证书。

Disclaimer

除非我们的产品目录或产品附带的其他公司文档另有说明,否则我们的产品仅供研究使用,不得用于任何其他目的,包括但不限于未经授权的商业用途、体外诊断用途、离体或体内治疗用途或任何类型的消费或应用于人类或动物。


Still not finding the right product?

试用我们的 产品选型工具 工具缩小选择范围


存储类别

12 - Non Combustible Liquids

wgk

WGK 1

flash_point_f

Not applicable

flash_point_c

Not applicable



分析证书(COA)

输入产品批号来搜索 分析证书(COA) 。批号可以在产品标签上"批“ (Lot或Batch)字后找到。

已有该产品?

在文件库中查找您最近购买产品的文档。

访问文档库



全球贸易项目编号

货号GTIN
ABN6604053252592041