跳转至内容
Merck
CN

ABN91

抗-NeuN抗体

from chicken, purified by affinity chromatography

别名:

RNA binding protein fox-1 homolog 3, Fox-1 homolog C

登录 查看组织和合同定价。

选择尺寸

变更视图

关于此项目

UNSPSC Code:
12352203
NACRES:
NA.41
eCl@ss:
32160702
Clone:
polyclonal
Species reactivity:
mouse, rat
Application:
ICC, IHC, WB
Citations:
40
技术服务
需要帮助?我们经验丰富的科学家团队随时乐意为您服务。
让我们为您提供帮助


biological source

chicken

Quality Level

antibody form

affinity isolated antibody

antibody product type

primary antibodies

clone

polyclonal

purified by

affinity chromatography

species reactivity

mouse, rat

technique(s)

immunocytochemistry: suitable, immunohistochemistry: suitable (paraffin), western blot: suitable

isotype

IgY

shipped in

wet ice

target post-translational modification

unmodified

Gene Information

mouse ... Rbfox3(52897)
rat ... Rbfox3(287847)

General description

NeuN(RNA结合蛋白fox-1同源物3;Fox-1同源物C)是仅在神经元细胞核中发现的RNA结合蛋白。它是进化上保守的Fox-1家族的成员,主要参与RNA的剪接。
观察值〜45 kDa。 在某些裂解物中,未表征的条带出现在〜40和〜50 kDa处。

Immunogen

GST标记的重组蛋白,对应于小鼠NeuN的N末端。
表位:N末端

Application

免疫细胞化学分析: 代表性批次的1:500稀释液在大鼠E18皮质细胞中检测到NeuN。

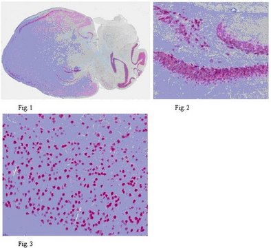
免疫组化分析: 代表性批次的1:500稀释液在小鼠大脑,小鼠海马和小鼠额叶皮层组织中检测到NeuN。
研究子类别
发育神经科学
研究类别
神经科学
该抗NeuN抗体经验证可用于IHC(P)、蛋白质印迹和ICC检测NeuN。

Biochem/physiol Actions

其他同源性: 人(94%序列同源性)。
该抗体识别NeuN的N末端。

Physical form

亲和纯化
在含 0.1 M Tris-甘氨酸(pH 7.4),150 mM NaCl和0.05%叠氮化钠的缓冲液中的纯化的鸡多克隆抗体。

Preparation Note

自收到之日起,在 2-8°C 条件下可稳定保存1年

Analysis Note

对照
小鼠脑E16组织裂解物
通过蛋白质印迹在小鼠脑E16组织裂解物中进行了评估。

蛋白质印迹分析:0.5 µg/mL该抗体在10 µg小鼠脑E16组织裂解物中检测到NeuN。

Disclaimer

除非我们的产品目录或产品附带的其他公司文档另有说明,否则我们的产品仅供研究使用,不得用于任何其他目的,包括但不限于未经授权的商业用途、体外诊断用途、离体或体内治疗用途或任何类型的消费或应用于人类或动物。


Still not finding the right product?

Explore all of our products under 抗-NeuN抗体

或者

试用我们的 产品选型工具 工具缩小选择范围


存储类别

12 - Non Combustible Liquids

flash_point_f

Not applicable

flash_point_c

Not applicable



分析证书(COA)

输入产品批号来搜索 分析证书(COA) 。批号可以在产品标签上"批“ (Lot或Batch)字后找到。

已有该产品?

在文件库中查找您最近购买产品的文档。

访问文档库



Daniel Manrique-Castano et al.
Frontiers in cellular neuroscience, 13, 412-412 (2019-10-02)
ATP-binding cassette (ABC) transporters prevent the access of pharmacological compounds to the ischemic brain, thereby impeding the efficacy of stroke therapies. ABC transporters can be deactivated by selective inhibitors, which potently increase the brain accumulation of drugs. Concerns have been
Meijun Ye et al.
Scientific reports, 9(1), 15518-15518 (2019-10-31)
Exposure of the brain to high-intensity stress waves creates the potential for long-term functional deficits not related to thermal or cavitational damage. Possible sources of such exposure include overpressure from blast explosions or high-intensity focused ultrasound (HIFU). While current ultrasound
Luiz Alexandre Viana Magno et al.
Scientific reports, 10(1), 4566-4566 (2020-03-14)
Peripheral biomarker and post-mortem brains studies have shown alterations of neuronal calcium sensor 1 (Ncs-1) expression in people with bipolar disorder or schizophrenia. However, its engagement by psychiatric medications and potential contribution to behavioral regulation remains elusive. We investigated the



全球贸易项目编号

货号GTIN
ABN9104053252689765