biological source
rabbit
Quality Level
conjugate
unconjugated
antibody form
affinity isolated antibody
antibody product type
primary antibodies
clone
polyclonal
purified by
affinity chromatography
species reactivity
mouse, human, rat
species reactivity (predicted by homology)
chimpanzee (based on 100% sequence homology), canine (based on 100% sequence homology), rhesus macaque (based on 100% sequence homology), bovine (based on 100% sequence homology)
technique(s)
immunohistochemistry: suitable (paraffin), western blot: suitable
NCBI accession no.
UniProt accession no.
shipped in
wet ice
target post-translational modification
unmodified
Gene Information
human ... NRXN1(9378)
General description
Neurexins are heavily glycosylated and processed neuronal transmembrane cell surface proteins likely involved in cell recognition and adhesion (see review by Missler & Sudhof, 1998). Antibody Anti-Neurexin-1-alpha (ABN35) was made against a peptide immunogen corresponding to a stretch of amino acids in the extracellular domain of human Neurexin-1-alpha (Uniprot Q9ULB1). Although the theoretical full length of Neurexin-1-alpha is 161 kDa, the protein detected in human brain lysates may show a band around 160 kDa and additional bands around 45 kDa as a possible result of the posttranslational processing previously reported.
~ 45 kDa Observed At higher concentrations or longer exposures, in certain lysates, a band at ~150kD can be seen that corresponds to the expected full length Mw.
UniProtKB/Swiss-Prot Q9ULB1 (NRX1A_HUMAN) entry describes 3 isoforms produced by alternative promoter usage and alternative splicing. Reference (Accolade/Related Documents) TIG JANUARY 1998 VOL. 14 No. 1 indicates that multiple neurexin isoforms are generated from three genes by alternative promoters and alternative splicing.
UniProtKB/Swiss-Prot Q9ULB1 (NRX1A_HUMAN) entry describes 3 isoforms produced by alternative promoter usage and alternative splicing. Reference (Accolade/Related Documents) TIG JANUARY 1998 VOL. 14 No. 1 indicates that multiple neurexin isoforms are generated from three genes by alternative promoters and alternative splicing.
Immunogen
Epitope: Extracellular laminin G-like 3 domain
KLH-conjugated Linear peptide corresponding to human Neurexin-1-alpha at the extracellular laminin G-like 3 domain.
Application
Detect Neurexin-1-alpha using this Anti-Neurexin-1-alpha Antibody validated for use in WB, IH(P).
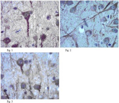
Immunohistochemistry Analysis: A 1:100 dilution from a representative lot detected Neurexin-1-alpha in human brain tissue.
Research Category
Neuroscience
Neuroscience
Research Sub Category
Adhesion (CAMs)
Adhesion (CAMs)
Biochem/physiol Actions
This antibody recognizes Neurexin-1-alpha at the extracellular laminin G-like 3 domain.
Physical form
Affinity purified
Purified rabbit polyclonal in buffer containing 0.1 M Tris-Glycine (pH 7.4), 150 mM NaCl with 0.05% sodium azide.
Preparation Note
Stable for 1 year at 2-8°C from date of receipt.
Analysis Note
Control
Human cerebellum tissue lysate
Human cerebellum tissue lysate
Evaluated by Western Blot in human cerebellum tissue lysate.
Western Blot Analysis: 0.1 µg/mL of this antibody detected Neurexin-1-alpha on 10 µg of human cerebellum tissue lysate.
Western Blot Analysis: 0.1 µg/mL of this antibody detected Neurexin-1-alpha on 10 µg of human cerebellum tissue lysate.
Other Notes
Concentration: Please refer to the Certificate of Analysis for the lot-specific concentration.
Disclaimer
Unless otherwise stated in our catalog or other company documentation accompanying the product(s), our products are intended for research use only and are not to be used for any other purpose, which includes but is not limited to, unauthorized commercial uses, in vitro diagnostic uses, ex vivo or in vivo therapeutic uses or any type of consumption or application to humans or animals.
Still not finding the right product?
试用我们的 产品选型工具 工具缩小选择范围
存储类别
12 - Non Combustible Liquids
wgk
WGK 1
flash_point_f
Not applicable
flash_point_c
Not applicable
全球贸易项目编号
| 货号 | GTIN |
|---|---|
| ABN98 | 04053252754845 |