跳转至内容
Merck
CN

ABS1068

Anti-Acetyl CoA Carboxylase 1

from rabbit, purified by affinity chromatography

别名:

ACC1, ACC-alpha, EC 6.4.1.2

登录 查看组织和合同定价。

选择尺寸

变更视图

关于此项目

UNSPSC Code:
12352203
NACRES:
NA.41
eCl@ss:
32160702
Conjugate:
unconjugated
Clone:
polyclonal
Application:
IHC, WB
Citations:
-
技术服务
需要帮助?我们经验丰富的科学家团队随时乐意为您服务。
让我们为您提供帮助


biological source

rabbit

Quality Level

conjugate

unconjugated

antibody form

affinity isolated antibody

antibody product type

primary antibodies

clone

polyclonal

purified by

affinity chromatography

species reactivity

human

packaging

antibody small pack of 25 μL

technique(s)

immunohistochemistry: suitable (paraffin), western blot: suitable

NCBI accession no.

UniProt accession no.

shipped in

ambient

target post-translational modification

unmodified

Gene Information

human ... ACACA(31)

General description

Acetyl-CoA carboxylase 1 (UniProt: Q13085; also known as EC: 6.4.1.2, ACC1, ACC-alpha) is encoded by the ACACA (also known as ACAC, ACC1, ACCA) gene (Gene ID: 31) in human. ACC1 is a cytoplasmic protein that is expressed in brain, placental, skeletal muscle, renal, pancreatic and adipose tissues. It is also expressed at low level in pulmonary tissue, but is not detected in the liver. ACC1 can be present as a monomer, homodimer, or homotetramer. It can also form filamentous polymers. Four isoforms of ACC1 have been described that are produced by alternative splicing. It catalyzes the rate-limiting reaction in the biogenesis of long-chain fatty acids and carries out three functions: biotin carboxyl carrier protein, biotin carboxylase and carboxyltransferase. The activity of ACC can be controlled at the transcriptional level as well as by small molecule modulators and covalent modification. ACC1 levels are regulated under long term control at the transcriptional and translational levels and under short term regulation by the phosphorylation/dephosphorylation of targeted serine residues and by allosteric transformation by citrate or palmitoyl-CoA. Mutations in ACACA gene can result in ACC1 deficiency and lead to error of de novo fatty acid synthesis associated with severe brain damage, persistent myopathy and poor growth.
~220 kDa observed; 265.55 kDa calculated. Uncharacterized bands may be observed in some lysate(s).

Immunogen

Epitope: C-terminus
GST-tagged recombinant fragment corresponding to 245 amino acids from the C-terminal half of human Acetyl-CoA carboxylase 1.

Application

Anti-Acetyl CoA Carboxylase 1, Cat. No. ABS1068, is a rabbit polyclonal antibody that detects Acetyl CoA Carboxylase 1 and has been tested for use in Immunohistochemistry (Paraffin) and Western Blotting.
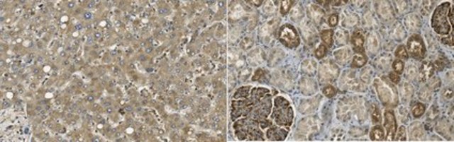
Immunohistochemistry Analysis: A 1:50 dilution from a representative lot detected Acetyl CoA Carboxylase 1 in human liver and human kidney tissue sections.
Research Category
Signaling

Biochem/physiol Actions

This rabbit polyclonal antibody detects Acetyl-CoA carboxylase 1 in human cells. It targets an epitope within 245 amino acids from the C-terminal region.

Physical form

Affinity Purified
Purified rabbit polyclonal antibody in buffer containing 0.1 M Tris-Glycine (pH 7.4), 150 mM NaCl with 0.05% sodium azide.

Preparation Note

Stable for 1 year at 2-8°C from date of receipt.

Analysis Note

Evaluated by Western Blotting in A431 cell lysate.

Western Blotting Analysis: A 1:2,000 dilution of this antibody detected Acetyl CoA Carboxylase 1 in A431 cell lysate.

Other Notes

Concentration: Please refer to lot specific datasheet.

Disclaimer

Unless otherwise stated in our catalog or other company documentation accompanying the product(s), our products are intended for research use only and are not to be used for any other purpose, which includes but is not limited to, unauthorized commercial uses, in vitro diagnostic uses, ex vivo or in vivo therapeutic uses or any type of consumption or application to humans or animals.


Still not finding the right product?

试用我们的 产品选型工具 工具缩小选择范围


存储类别

12 - Non Combustible Liquids

wgk

WGK 1

flash_point_f

does not flash

flash_point_c

does not flash



分析证书(COA)

输入产品批号来搜索 分析证书(COA) 。批号可以在产品标签上"批“ (Lot或Batch)字后找到。

已有该产品?

在文件库中查找您最近购买产品的文档。

访问文档库



全球贸易项目编号

货号GTIN
ABS106804054839396526
ABS1068-25UL04054839543654