跳转至内容
Merck
CN

ABS1849

Anti-phospho-Rsk1 (Thr359/Ser363) Antibody

from rabbit, purified by affinity chromatography

别名:

Ribosomal protein S6 kinase alpha-1, Thr359/Ser363 phosphorylated, 90 kDa ribosomal protein S6 kinase 1, Thr359/Ser363 phosphorylated, MAP kinase-activated protein kinase 1a, Thr359/Ser363 phosphorylated, MAPK-activated protein kinase 1a, Thr359/Ser363 p

登录 查看组织和合同定价。

选择尺寸

变更视图

关于此项目

UNSPSC Code:
12352203
NACRES:
NA.41
eCl@ss:
32160702
Clone:
polyclonal
Species reactivity:
human
Application:
IHC, IP, WB, inhibition assay
Citations:
1
技术服务
需要帮助?我们经验丰富的科学家团队随时乐意为您服务。
让我们为您提供帮助


biological source

rabbit

Quality Level

antibody form

affinity isolated antibody

antibody product type

primary antibodies

clone

polyclonal

purified by

affinity chromatography

species reactivity

human

species reactivity (predicted by homology)

porcine (based on 100% sequence homology), bovine (based on 100% sequence homology), chicken (based on 100% sequence homology), Xenopus (based on 100% sequence homology)

technique(s)

immunohistochemistry: suitable, immunoprecipitation (IP): suitable, inhibition assay: suitable (peptide), western blot: suitable

NCBI accession no.

UniProt accession no.

target post-translational modification

phosphorylation (pThr359/pSer363 )

Gene Information

human ... RPS6KA1(6195)

General description

Ribosomal protein S6 kinase alpha-1 (EC 2.7.11.1; UniProt Q15418; also known as 90 kDa ribosomal protein S6 kinase 1, MAP kinase-activated protein kinase 1a, MAPK-activated protein kinase 1a, MAPKAP kinase 1a, MAPKAPK-1a, p90-RSK 1, p90RSK1, p90S6K, Ribosomal S6 kinase 1, RSK-1, S6K-alpha-1) is encoded by the RPS6KA1 (also known as MAPKAPK1A, RSK1) gene (Gene ID 6195) in human. Ribosomal s6 kinases (RSKs) are serine/threonine kinases that play a role in mediating Mek1/2-Erk1/2 mitogen-activated protein (MAP) kinase pathway signaling events. There exist two types of RSKs, p70rsk (a.k.a. S6 Kinase or S6-H1 kinase) and p90rsk (a.k.a. MAPK-activated protein kinase). Six p90rsk-coding genes have been identified in human, RPS6KA1 (MAPKAPK1A, RSK1), RPS6KA2 (MAPKAPK1C, RSK3), RPS6KA3 (MAPKAPK1B, RSK2), RPS6KA4 (MSK2), RPS6KA5 (MSK1), and RPS6KA6 (RSK4). Erk1/2 activates p90RSK1 by sequential phosphorylation events, where it first phosphorylates Rsk1 C-terminal kinase domain (CTKD) Thr573, leading to subsequent Ser380 phosphorylation in the N-terminal AGC kinase-type domain. Alternatively, Ser380 can be phosphorylated directly by MK2/3 independent of CTKD.
~75 kDa observed. 82.72 kDa (human isoform 1), 83.93 kDa (human isoform 2), 72.70 kDa (human isoform 3), and 81.15 kDa (human isoform 4) calculated. Uncharacterized band(s) may appear in some lysates.

Immunogen

Epitope: pThr359/Ser363.
KLH-conjugated linear peptide corresponding to a human Rsk1-derived sequence containing phosphorylated Thr359 and Ser363 residues.

Application

Anti-Rsk1 Antibody is an antibody against phospho-Rsk1 (Thr359/Ser363) for use in Western Blotting, Immunoprecipitation, Immunohistochemistry, Peptide Inhibition Assay.
Immunoprecipitation Analysis: 4.5 µg from a representative lot immunoprecipitated Thr359/Ser363-phosphorylated Rsk1 from 500 µg of lysate from EGF-treated A431 cells.
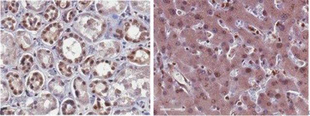
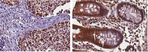
Immunohistochemistry Analysis: A 1:250-1000 dilution from a representative lot detected Rsk1 Thr359/Ser363 phosphorylation in human cervical cancer tissue, normal kidney, liver, and small intestine tissue sections.
Peptide Inhibition Assay: Preincubation with the immunogen peptide, but not the corresponding non-phosphorylated control peptide, prevented the polyclonal antibody from detecting the target Rsk1 phosphorylation band.
Research Category
Signaling
Research Sub Category
Kinases & Phosphatases

Biochem/physiol Actions

Specificity of this polyclonal antibody was verified by immunogen peptide blocking in Western blotting analysis of EGF-induced target phosphorylation. The target phosphorylation sites Thr359/Ser363 are numbered based on human Rsk1 spliced isoform 1 (UniProt Q15418-1). Equivalent sites in spliced isoform 2, 3, and 4 are Thr368/Ser372 (UniProt Q15418-2), Thr267/Ser271 (UniProt Q15418-3), and Thr343/Ser347 (UniProt Q15418-4), respectively.

Physical form

Affinity purified
Purified rabbit polyclonal antibody in buffer containing 0.1 M Tris-Glycine (pH 7.4), 150 mM NaCl with 0.05% sodium azide.

Preparation Note

Stable for 1 year at 2-8°C from date of receipt.

Analysis Note

Evaluated by Western Blotting in A431 cell lysate.

Western Blotting Analysis: 0.1 µg/mL of this antibody detected enhanced Rsk1 Thr359/Ser363 phosphorylation in 10 µg of lysate from EGF-treated A431 cells.

Other Notes

Concentration: Please refer to lot specific datasheet.

Disclaimer

Unless otherwise stated in our catalog or other company documentation accompanying the product(s), our products are intended for research use only and are not to be used for any other purpose, which includes but is not limited to, unauthorized commercial uses, in vitro diagnostic uses, ex vivo or in vivo therapeutic uses or any type of consumption or application to humans or animals.


Still not finding the right product?

试用我们的 产品选型工具 工具缩小选择范围


存储类别

12 - Non Combustible Liquids

wgk

WGK 1

flash_point_f

Not applicable

flash_point_c

Not applicable



分析证书(COA)

输入产品批号来搜索 分析证书(COA) 。批号可以在产品标签上"批“ (Lot或Batch)字后找到。

已有该产品?

在文件库中查找您最近购买产品的文档。

访问文档库



Jili Wen et al.
Molecular medicine reports, 16(5), 7548-7552 (2017-09-26)
Infections by pathogens may lead to cardiovascular diseases, including acute/chronic myocarditis. (Coxsackieviruses B3) CVB3 is considered to be the most common causative agent in m‑yocarditis, which can lead to dilated cardiomyopathy. The present study aimed to investigate the mechanism of



全球贸易项目编号

货号GTIN
ABS184904055977349412