跳转至内容
Merck
CN

ABS2107M

Anti-phospho-CaMKII beta (Ser331)

from rabbit, purified by affinity chromatography

别名:

Calcium/calmodulin-dependent protein kinase type II subunit beta, EC: 2.7.11.17, CaM kinase II subunit beta, CaMK-II beta

登录 查看组织和合同定价。

选择尺寸

变更视图

关于此项目

UNSPSC Code:
12352203
NACRES:
NA.41
eCl@ss:
32160702
Clone:
polyclonal
Species reactivity:
rat
Application:
ICC, WB
Citations:
-
技术服务
需要帮助?我们经验丰富的科学家团队随时乐意为您服务。
让我们为您提供帮助


biological source

rabbit

Quality Level

antibody form

affinity isolated antibody

antibody product type

primary antibodies

clone

polyclonal

purified by

affinity chromatography

species reactivity

rat

species reactivity (predicted by homology)

human (based on 100% sequence homology)

packaging

antibody small pack of 25 μL

technique(s)

immunocytochemistry: suitable, western blot: suitable

isotype

IgG

NCBI accession no.

UniProt accession no.

target post-translational modification

phosphorylation (pSer331)

Gene Information

rat ... Camk2B(24245)

General description

Calcium/calmodulin-dependent protein kinase type II subunit beta (UniProt: P08413; also known as EC: 2.7.11.17, CaM kinase II subunit beta, CaMK-II subunit beta) is encoded by the Camk2b gene (Gene ID: 24245) in rat. CaM kinase II is one of the most widely studied multi-functional enzyme. It is found in high concentrations in the brain and in some regions it may constitute up to 2% of the total protein content. CaM kinase II is a complex of about 12 subunits, which exist in four differentially expressed forms (alpha, beta, gamma, and delta). CaMKII beta contains an auto-inhibitory domain (aa 283-293), a calmodulin-binding domain (aa 291-301) and a unique C-terminal association domain responsible for oligomerization. It is activated Ca2+/calmodulin and binding of calmodulin results in conformational change that relieves intrasteric autoinhibition and allows autophosphorylation of Thr-287 which turns the kinase in a constitutively active form and confers to the kinase a Ca2+-independent activity that persists even after withdrawal of calcium. Phosphorylation of Thr-287 locks the kinase into an activated state. CaM Kinase II typically recognizes the phosphorylation site sequence Arg-X-X-Ser/Thr. It prefers arginine in the P3 position, which is reported to make an electrostatic contact with Glu96 in the catalytic core.
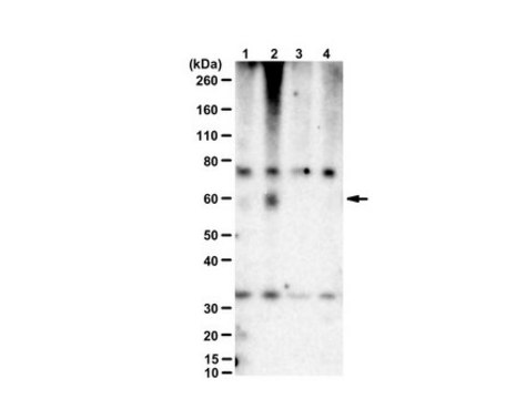
~60 kDa observed; 60.40 kDa calculated. Uncharacterized bands may be observed in some lysate(s).

Immunogen

A linear peptide corresponding to 10 amino acids surrounding phopho serine 331 of rat CaM Kinase II beta.

Application

Anti-phospho-CaMKII beta (Ser331), Cat. No. ABS2107, is a highly specific rabbit polyclonal antibody that targets Calcium/calmodulin-dependent protein kinase type II subunit beta (CaMK-II subunit beta) and has been tested for use in Immunocytochemistry and Western Blotting.
Western Blotting Analysis: A representative lot detected phospho-CaMKII beta (Ser331) in HEK293T cells transfected with CaMKII WT or mutants (Kim, K., et. al. (2015). Neuron. 87(4):813-26).

Immunocytochemistry Analysis: A representative lot detected phospho-CaMKII beta (Ser331) in dissociated hippocampal neurons (Kim, K., et. al. (2015). Neuron. 87(4):813-26).

Biochem/physiol Actions

This rabbit polyclonal antibody detects beta subunit of CaM Kinase II when phosphorylated on Ser331.

Analysis Note

Evaluated by Western Blotting in HEK293T cells transfected with CaMKII WT or mutant S331A.

Western Blotting Analysis: A 1:500 dilution of this antibody detected phospho-CaMKII beta (Ser331) in HEK293T cells transfected with CaMKII WT, but not the mutant S331A.

Other Notes

Concentration: Please refer to lot specific datasheet.


Still not finding the right product?

试用我们的 产品选型工具 工具缩小选择范围


存储类别

12 - Non Combustible Liquids

wgk

WGK 1

flash_point_f

Not applicable

flash_point_c

Not applicable



分析证书(COA)

输入产品批号来搜索 分析证书(COA) 。批号可以在产品标签上"批“ (Lot或Batch)字后找到。

已有该产品?

在文件库中查找您最近购买产品的文档。

访问文档库



全球贸易项目编号

货号GTIN
ABS210704054839352546
ABS2107-25UL04054839505584