跳转至内容
Merck
CN

ABS796

Anti-phospho-HER4 Antibody (Tyr1162)

from rabbit, purified by affinity chromatography

别名:

ERBB4, HER4, Receptor tyrosine-protein kinase erbB-4, Proto-oncogene-like protein c-ErbB-4, Tyrosine kinase-type cell surface receptor HER4, p180erbB4, ERBB4 intracellular domain, s80HER4

登录 查看组织和合同定价。

选择尺寸

变更视图

关于此项目

UNSPSC Code:
12352203
NACRES:
NA.41
eCl@ss:
32160702
Clone:
polyclonal
Species reactivity:
human
Application:
ICC, IHC, WB
Citations:
-
技术服务
需要帮助?我们经验丰富的科学家团队随时乐意为您服务。
让我们为您提供帮助


biological source

rabbit

Quality Level

antibody form

purified antibody

antibody product type

primary antibodies

clone

polyclonal

purified by

affinity chromatography

species reactivity

human

technique(s)

immunocytochemistry: suitable, immunohistochemistry: suitable, western blot: suitable

UniProt accession no.

shipped in

wet ice

target post-translational modification

phosphorylation (pTyr1162)

Gene Information

human ... ERBB4(2066)

General description

Receptor tyrosine-protein kinase erbB-4, also known as, Proto-oncogene-like protein c-ErbB-4 (4ICD or E4ICD), and encoded by the gene names Erbb4 or Tyro-2, plays an essential role as cell surface receptor for neuregulins. ERBB4 regulates development of the heart, the central nervous system and the mammary gland, gene transcription, cell proliferation, differentiation, migration and apoptosis. ERBB4 is preferentially expressed in the developing nervous system. It exhibits distinct and highly regionalized patterns of expression in the adult brain, where it is mainly found in the reticular nucleus of the thalamus.
~160 kDa observed. Uncharacterized bands may be observed in some lysate(s).

Immunogen

Epitope: Phosphorylated Tyr1162
KLH-conjugated synthetic peptide corresponding to human PGK1 phosphorylated at Tyr1162.

Application

Detect HER4 using this rabbit polyclonal Anti-phospho-HER4 Antibody, Cat. No. ABS796, validated for use in Western Blotting, Immunohistochemistry, and Immunocytochemistry.
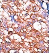
Immunohistochemistry Analysis (IHC): A 1:10-50 dilution from a representative lot detected HER4 in human cancer tissue.

Immunocytochemistry Analysis (ICC): A 1:10-50 dilution from a representative lot detected HER4 in MCF-7 cells.



Physical form

Purified rabbit polyclonal in buffer containing PBS with 0.09% (W/V) sodium azide.

Analysis Note

Evaluated by Western Blotting in untreated and EGF treated A431 cell lysates.

Western Blotting Analysis (WB): A 1:1000 dilution of this antibody detected HER4 in untreated and EGF treated A431 cell lysates.

Other Notes

Concentration: Please refer to lot specific datasheet.


Still not finding the right product?

试用我们的 产品选型工具 工具缩小选择范围


wgk

WGK 2

flash_point_f

Not applicable

flash_point_c

Not applicable

存储类别

12 - Non Combustible Liquids



分析证书(COA)

输入产品批号来搜索 分析证书(COA) 。批号可以在产品标签上"批“ (Lot或Batch)字后找到。

已有该产品?

在文件库中查找您最近购买产品的文档。

访问文档库


相关内容

"Cancer research giving you mixed signals? Signaling molecules are deeply embedded in processes associated with cancer. The study of signaling pathways is nearly synonymous with cancer research. Elucidating the various cellular and molecular mechanisms of cancer requires high quality research tools that give you precise, reproducible data. At EMD Millipore, our scientists are dedicated to developing and delivering thoroughly tested and validated tools for life science research."

Historically chromatin was considered to contain only DNA, histones, non-histone proteins and transiently associated mRNAs. While this remains true, current data suggest that a variety of non-coding RNAs (e.g. long non-coding RNAs, enhancer RNAs and even miRNAs) also associate with chromatin and serve regulatory functions.





全球贸易项目编号

货号GTIN
ABS79604055977157208