跳转至内容
Merck
CN

ABS811

Anti-FABP7 Antibody

from rabbit, purified by affinity chromatography

别名:

Fatty acid-binding protein, brain, Brain lipid-binding protein, BLBP, Brain-type fatty acid-binding protein, B-FABP, Fatty acid-binding protein 7, Mammary-derived growth inhibitor related, FABP7

登录 查看组织和合同定价。

选择尺寸

变更视图

关于此项目

UNSPSC Code:
12352203
NACRES:
NA.41
eCl@ss:
32160702
Conjugate:
unconjugated
Clone:
polyclonal
Application:
IHC, WB
Citations:
1
技术服务
需要帮助?我们经验丰富的科学家团队随时乐意为您服务。
让我们为您提供帮助


biological source

rabbit

Quality Level

conjugate

unconjugated

antibody form

affinity isolated antibody

antibody product type

primary antibodies

clone

polyclonal

purified by

affinity chromatography

species reactivity

human

technique(s)

immunohistochemistry: suitable, western blot: suitable

UniProt accession no.

shipped in

wet ice

target post-translational modification

unmodified

Gene Information

human ... FABP7(2173)

General description

FABP7 is a member of the large family of hydrophobic ligand-binding proteins (FABPs). FABP proteins are involved in lipid metabolism, including uptake and intracellular trafficking of fatty acids and retinoids. In addition, they play a role in gene regulation, cell signaling, cell growth and differentiation. Several reports have suggested a possible role for the different FABP proteins in cancer biology, linking their levels with either increasing or decreasing the degree of malignancy. Nine FABPs (FABP1-FABP9) have been identified. FABP7 is a brain-specific protein that is required for the establishment of the radial glial fiber system in the developing brain, a system that is necessary for the migration of immature neurons to establish cortical layers. It is expressed at high levels in the developing central nervous system. FABP7 has also been found in melanocytic lesions and has shown to regulate proliferation and invasion in melanoma cells in vitro, suggesting that it may play a role in cell proliferation and invasion.
~24 kDa observed. Uncharacterized bands may be observed in some lysate(s).

Immunogen

Epitope: Near Center
FABP7 antibody was raised against a 17 amino acid synthetic peptide from near the center of human FABP7.

Application

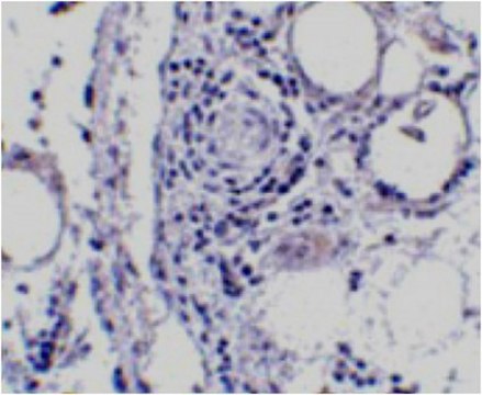
Immunohistochemistry Analysis (IHC): 5 μg/mL from a representative lot detected FABP7 in human breast tissue.

Research Category
Signaling
Research Sub Category
Developmental Signaling
This Anti-FABP7 Antibody is validated for use in Western Blotting_x000D_ and Immunohistochemistry for the detection of FABP7.

Physical form

Antigen Affinity Purified
Purified rabbit polyclonal in buffer containing PBS (pH 7.2) with 0.02% sodium azide.

Preparation Note

Stable for 1 year at 2-8°C from date of receipt.

Analysis Note

Evaluated by Western Blotting in human breast tissue lysate.

Western Blotting Analysis (WB): 1 μg/mL of this antibody detected FABP7 in human breast tissue lysate.

Other Notes

Concentration: Please refer to lot specific datasheet.
Replaces: MABS184

Disclaimer

Unless otherwise stated in our catalog or other company documentation accompanying the product(s), our products are intended for research use only and are not to be used for any other purpose, which includes but is not limited to, unauthorized commercial uses, in vitro diagnostic uses, ex vivo or in vivo therapeutic uses or any type of consumption or application to humans or animals.


Still not finding the right product?

试用我们的 产品选型工具 工具缩小选择范围


存储类别

12 - Non Combustible Liquids

wgk

WGK 2

flash_point_f

Not applicable

flash_point_c

Not applicable



分析证书(COA)

输入产品批号来搜索 分析证书(COA) 。批号可以在产品标签上"批“ (Lot或Batch)字后找到。

已有该产品?

在文件库中查找您最近购买产品的文档。

访问文档库


相关内容

A major focus of breast cancer research is to understand the mechanisms responsible for disease progression and drug resistance. Toward that end, it has been found that approximately two thirds of all human breast carcinomas overexpress the Estrogen Receptor α (ERα) protein and it remains the primary pharmacological target for endocrine therapy1,2. The normal cellular function of ERα is as a transcription factor that mediates a wide variety of physiological processes, many of which are dependent upon phosphorylation of the receptor at specific amino acid residues3,4. Indeed, ERα is known to be phosphorylated at a multitude of different sites, yet how these all correlate to disease remains unclear5. Here, we interrogated multiple sites of ERα for phosphorylation status by screening an extensive panel of different breast cancer patient samples and other non-breast cancer tissue microarray (TMA) slide samples to determine their relevance to disease.


Tissue-Type Plasminogen Activator Controlled Corticogenesis Through a Mechanism Dependent of NMDA Receptors Expressed on Radial Glial Cells.
Pasquet, et al.
Cerebral Cortex, 29, 2482-2498 (2020)



全球贸易项目编号

货号GTIN
ABS81104055977174694