跳转至内容
Merck
CN

ABS82

抗-VEGF抗体

from rabbit, purified by affinity chromatography

别名:

vascular endothelial growth factor A, vascular endothelial growth factor, Vascular permeability factor, vascular endothelial growth factor isoform VEGF

登录 查看组织和合同定价。

选择尺寸

变更视图

关于此项目

UNSPSC Code:
12352203
NACRES:
NA.41
eCl@ss:
32160702
Conjugate:
unconjugated
Clone:
polyclonal
Application:
IHC, WB
Citations:
26
技术服务
需要帮助?我们经验丰富的科学家团队随时乐意为您服务。
让我们为您提供帮助


biological source

rabbit

Quality Level

conjugate

unconjugated

antibody form

affinity isolated antibody

antibody product type

primary antibodies

clone

polyclonal

purified by

affinity chromatography

species reactivity

mouse, rat, human

species reactivity (predicted by homology)

primate (based on 100% sequence homology)

technique(s)

immunohistochemistry: suitable (paraffin), western blot: suitable

NCBI accession no.

UniProt accession no.

shipped in

wet ice

target post-translational modification

unmodified

Gene Information

human ... VEGFA(7422)

General description

VEGF(血管内皮生长因子,VEGFA,VEGF-A)是一种二聚配体,是最有效的血管生成促分裂原之一。VEGF由暴露于缺氧的肿瘤细胞和其他细胞分泌。VEGF是血管内皮细胞高度特异性的促分裂原。由于单个VEGF基因的选择性剪接,产生了七个VEGF亚型(a,b,c,d,e,f,g)。最常研究的亚型是VEGF121,VEGF165和VEGF189(分别为f,d和b)。全部七种亚型在分子质量和生物学特性(例如与细胞表面硫酸乙酰肝素蛋白多糖结合的能力)方面有所不同。VEGF的表达增强,并由响应缺氧的肿瘤细胞,活化的癌基因和多种细胞因子分泌。VEGF诱导血管生成以及血管通透性,并在调节血管发生中起着核心作用。VEGF的表达与肿瘤血管形成的程度和转移性风险的增加有关。另外,VEGF诱导内皮细胞增殖,促进细胞迁移并抑制凋亡。因此,抑制VEGF信号传导消除了多种肿瘤的发展。
观察值〜55 kDa。 UniProtKB/Swiss-Prot P15692(VEGFA_HUMAN)条目描述了通过替代启动子使用,选择性剪接和选择性起始产生的13种亚型:亚型1(27.042 kDa)、亚型2(25.173 kDa)、亚型3(24.422 kDa)、亚型4(22.314 kDa)、亚型5(20.218 kDa)、亚型6(20.064 kDa)、亚型7(22.259 kDa)、亚型8(17.219 kDa)、亚型9(15.981 kDa)、亚型10(40.738 kDa)、亚型11(35.643 kDa)、亚型12(43.597 kDa)、亚型13(45.467 kDa)

Immunogen

对应于N末端人VEGF的KLH偶联的线性肽。
表位:N末端

Application

使用经过验证可用于WB、IH(P)的抗VEGF抗体对VEGF进行检测。
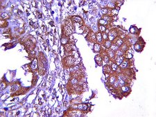
免疫组化分析:先前批次的1:400的稀释液在正常人胎盘绒毛组织中检测到VEGF。
研究子类别
生长因子 & 受体
研究类别
信号传导

Biochem/physiol Actions

其他同源性: 牛(85% 序列同源性)。 大鼠(70%序列同源性)。小鼠(65% 序列同源性)。
该抗体识别N末端的VEGF 。

Physical form

亲和纯化
在含 0.1 M Tris-甘氨酸(pH 7.4),150 mM NaCl 和 0.05% 叠氮化钠的缓冲液中的纯化的兔多克隆抗体。

Preparation Note

自收到之日起,在 2-8°C 条件下可稳定保存1年

Analysis Note

对照
HuVec细胞裂解物
通过蛋白质印迹对HuVec细胞裂解物进行了评估。

蛋白质印迹分析:0.5 µg/mL该抗体可在10 µg的HuVec细胞裂解物中检测到VEGF。

Other Notes

替代品:07-1376
浓度:请参考批次特异性浓缩物的分析证书。

Disclaimer

除非我们的产品目录或产品附带的其他公司文档另有说明,否则我们的产品仅供研究使用,不得用于任何其他目的,包括但不限于未经授权的商业用途、体外诊断用途、离体或体内治疗用途或任何类型的消费或应用于人类或动物。


Still not finding the right product?

Explore all of our products under 抗-VEGF抗体

或者

试用我们的 产品选型工具 工具缩小选择范围


存储类别

12 - Non Combustible Liquids

wgk

WGK 1

flash_point_f

Not applicable

flash_point_c

Not applicable



分析证书(COA)

输入产品批号来搜索 分析证书(COA) 。批号可以在产品标签上"批“ (Lot或Batch)字后找到。

已有该产品?

在文件库中查找您最近购买产品的文档。

访问文档库


相关内容

Signaling Product Guide: Antibodies, small molecule inhibitors, kits, assays and proteins for signaling research.


Airway administration of vascular endothelial growth factor siRNAs induces transient airspace enlargement in mice.
Takahashi, Y; Izumi, Y; Kohno, M; Ikeda, E; Nomori, H
International Journal of Medical Sciences null
A bioreactor for subjecting cultured cells to fast-rate intermittent hypoxia.
Theodora Tsapikouni,Elena Garreta,Esther Melo,Daniel Navajas,Ramon Farre
Respiratory Physiology & Neurobiology null
Daijiro Haba et al.
Acta histochemica, 122(1), 151459-151459 (2019-10-21)
In our previous study, we proposed an animal model in which pressure ulcer-like dermal lesions can be produced by denervation of the sciatic nerve and application of a pressure load to rat heel skin. In the present study, we divided



全球贸易项目编号

货号GTIN
ABS8204053252289798