跳转至内容
Merck
CN

ABT129

抗钙调节蛋白1抗体

from rabbit, purified by affinity chromatography

别名:

Calponin-1, Basic calponin, Calponin H1, smooth muscle

登录 查看组织和合同定价。

选择尺寸

变更视图

关于此项目

UNSPSC Code:
12352203
NACRES:
NA.41
eCl@ss:
32160702
Conjugate:
unconjugated
Clone:
polyclonal
Application:
IF, IHC, WB
Citations:
1
技术服务
需要帮助?我们经验丰富的科学家团队随时乐意为您服务。
让我们为您提供帮助


biological source

rabbit

Quality Level

conjugate

unconjugated

antibody form

affinity isolated antibody

antibody product type

primary antibodies

clone

polyclonal

purified by

affinity chromatography

species reactivity

human

species reactivity (predicted by homology)

sheep (based on 100% sequence homology), bovine (based on 100% sequence homology), chimpanzee (based on 100% sequence homology)

technique(s)

immunofluorescence: suitable, immunohistochemistry: suitable (paraffin), western blot: suitable

NCBI accession no.

UniProt accession no.

shipped in

wet ice

target post-translational modification

unmodified

Gene Information

human ... CNN1(1264)

General description

观测值〜33 kDa
钙调节蛋白1是分子量为34kDa的蛋白,主要存在于平滑肌组织。它是一种高亲和力肌动蛋白结合蛋白,但是也与原肌球蛋和钙调蛋白相互作用,调节肌肉收缩。结合F-肌动蛋白时,它抑制肌动蛋白激活的肌球蛋白ATP酶的活性。钙调节蛋白1受到涉及PKC、CAMKII激酶和2A型磷酸酶的可逆磷酸化(reversible phosphorylation)调节。在非肌肉细胞中,钙调节蛋白1可能在细胞迁移、运动和增殖中起一定作用。

Immunogen

对应于人钙调节蛋白1 C端的KLH偶联的线性肽。
表位:C端

Application

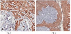
免疫组化分析:一个代表性批次的1:1,000稀释液在人储精囊组织中检测到钙调节蛋白1。

免疫荧光分析:一个代表性批次的1:500稀释液在人储精囊组织的平滑肌细胞中检测到钙调节蛋白1。
研究子类别
细胞骨架
研究类别
细胞结构
该抗钙调节蛋白1抗体经验证可用在蛋白质印迹、IHC(P)和免疫荧光法中检测钙调节蛋白1。

Biochem/physiol Actions

其他同源性:大鼠(92%序列同源性)和小鼠(83%序列同源性)。
该抗体可识别钙调节蛋白1(Calponin-1)的C端。

Physical form

亲和纯化
纯化的兔多克隆抗体,溶于含有0.1 M Tris-甘氨酸(pH 7.4)、150 mM NaCl和0.05%叠氮化钠的缓冲液中。

Preparation Note

自收到之日起,在2-8°C条件下可稳定保存1年。

Analysis Note

对照
人主动脉平滑肌组织
通过蛋白质印迹在人主动脉平滑肌组织中进行评估。

蛋白质印迹分析:0.1 µg/mL的该抗体在人主动脉平滑肌组织中检测到钙调节蛋白1。

Other Notes

替代:04-589
浓度:请参考批次特异性浓缩物的检验报告。

Disclaimer

除非我们的产品目录或产品附带的其他公司文档另有说明,否则我们的产品仅供研究使用,不得用于任何其他目的,包括但不限于未经授权的商业用途、体外诊断用途、离体或体内治疗用途或任何类型的消费或应用于人类或动物。


Still not finding the right product?

试用我们的 产品选型工具 工具缩小选择范围


存储类别

12 - Non Combustible Liquids

wgk

WGK 1

flash_point_f

Not applicable

flash_point_c

Not applicable



分析证书(COA)

输入产品批号来搜索 分析证书(COA) 。批号可以在产品标签上"批“ (Lot或Batch)字后找到。

已有该产品?

在文件库中查找您最近购买产品的文档。

访问文档库



Edward P Carter et al.
Breast cancer research : BCR, 19(1), 50-50 (2017-04-22)
3D modelling fulfils a critical role in research, allowing for complex cell behaviour and interactions to be studied in physiomimetic conditions. With tissue banks becoming established for a number of cancers, researchers now have access to primary patient cells, providing



全球贸易项目编号

货号GTIN
ABT12904053252599927