跳转至内容
Merck
CN

ABT272

Anti-SUN2 Antibody

from rabbit, purified by affinity chromatography

别名:

SUN domain-containing protein 2, Protein unc-84 homolog B, Rab5-interacting protein, Rab5IP, Sad1/unc-84 protein-like 2

登录 查看组织和合同定价。

选择尺寸

变更视图

关于此项目

UNSPSC Code:
12352203
NACRES:
NA.41
eCl@ss:
32160702
Conjugate:
unconjugated
Clone:
polyclonal
Application:
ICC, WB
Citations:
2
技术服务
需要帮助?我们经验丰富的科学家团队随时乐意为您服务。
让我们为您提供帮助


biological source

rabbit

Quality Level

conjugate

unconjugated

antibody form

affinity isolated antibody

antibody product type

primary antibodies

clone

polyclonal

purified by

affinity chromatography

species reactivity

mouse, human

technique(s)

immunocytochemistry: suitable, western blot: suitable

NCBI accession no.

UniProt accession no.

shipped in

wet ice

target post-translational modification

unmodified

Gene Information

human ... SUN2(25777)

General description

SUN domain-containing protein 2 (SUN2), or Protein UNC-84 homolog B (UNC84B), is a single-pass nuclear envelope transmembrane protein responsible for nuclear migrations that are essential for development. SUN2 has a predicted transmembrane domain and a C-terminal region with similarity to the S. pombe spindle pole body protein Sad1. SUN2 interacts with RAB5A and is widely expressed, and highly expressed in the heart, lungs and muscles. UNC-84 may function to facilitate a nuclear-centrosomal interaction required for nuclear migration and anchorage.
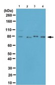
~ 78 kDa observed. Uncharacterized band(s) may appear in some lysates.

Immunogen

Epitope: N-terminus
Linear peptide corresponding to the N-terminus of human Sun2.

Application

Detect SUN2 using this Anti-SUN2 antibody validated for use in western blotting & ICC.
Research Category
Cell Structure
Research Sub Category
Adhesion (CAMs)
Western Blotting Analysis: A 1:500 dilution from a representative lot detected SUN2 in 10 µg of A431, Jurkat, L6, and NIH/3T3 cell lysate.
Western Blotting Analysis: A representative lot detected SUN2 recombinant protein (Haque, F., et al. (2010). Journal of Biol. Chem. 285(5): 3487-3498).
Immunocytochemistry Analysis: A representative lot detected SUN2 in human foreskin fibroblasts and NIH/3T3 cells (Haque, F., et al. (2010). Journal of Biol. Chem. 285(5): 3487-3498).

Physical form

Affinity purified
Purified rabbit polyclonal in buffer containing PBS with 0.05% sodium azide.

Preparation Note

Stable for 1 year at 2-8°C from date of receipt.

Analysis Note

Evaluated by Western Blotting in HEK293 cell lysate.

Western Blotting Analysis: A 1:500 dilution of this antibody detected SUN2 in 10 µg of HEK293 cell lysate.

Other Notes

Concentration: Please refer to the Certificate of Analysis for the lot-specific concentration.

Disclaimer

Unless otherwise stated in our catalog or other company documentation accompanying the product(s), our products are intended for research use only and are not to be used for any other purpose, which includes but is not limited to, unauthorized commercial uses, in vitro diagnostic uses, ex vivo or in vivo therapeutic uses or any type of consumption or application to humans or animals.


Still not finding the right product?

试用我们的 产品选型工具 工具缩小选择范围


存储类别

12 - Non Combustible Liquids

wgk

WGK 2

flash_point_f

Not applicable

flash_point_c

Not applicable



分析证书(COA)

输入产品批号来搜索 分析证书(COA) 。批号可以在产品标签上"批“ (Lot或Batch)字后找到。

已有该产品?

在文件库中查找您最近购买产品的文档。

访问文档库



Farhana Haque et al.
The Journal of biological chemistry, 285(5), 3487-3498 (2009-11-26)
The nuclear envelope (NE) LINC complex, in mammals comprised of SUN domain and nesprin proteins, provides a direct connection between the nuclear lamina and the cytoskeleton, which contributes to nuclear positioning and cellular rigidity. SUN1 and SUN2 interact with lamin



全球贸易项目编号

货号GTIN
ABT27204053252956058