跳转至内容
Merck
CN

ABT330

抗-TSLP抗体

from rabbit, purified by affinity chromatography

别名:

TSLP Antibody, Thymic stromal lymphopoietin

登录 查看组织和合同定价。

选择尺寸

变更视图

关于此项目

UNSPSC Code:
12352203
NACRES:
NA.41
eCl@ss:
32160702
Conjugate:
unconjugated
Clone:
polyclonal
Application:
IF, IHC, WB
Citations:
1
技术服务
需要帮助?我们经验丰富的科学家团队随时乐意为您服务。
让我们为您提供帮助


biological source

rabbit

Quality Level

conjugate

unconjugated

antibody form

affinity isolated antibody

antibody product type

primary antibodies

clone

polyclonal

purified by

affinity chromatography

species reactivity

mouse, human

technique(s)

immunofluorescence: suitable, immunohistochemistry: suitable (paraffin), western blot: suitable

UniProt accession no.

shipped in

wet ice

target post-translational modification

unmodified

Gene Information

human ... TSLP(85480)

General description

胸腺基质淋巴生成素(TSLP)最近被确定为能够驱动树突状细胞成熟和激活的重要因子。TSLP是一种主要由屏障上皮细胞表达的四螺旋束细胞因子,是多种细胞类型(如骨髓树突状细胞)的有效激活剂。TSLP参与调节性T细胞的正向选择、外周CD4+ T细胞稳态的维持和CD4+ T细胞介导过敏反应的诱导。TSLP还能够支持胎儿肝脏和成人B细胞祖细胞的生长,并支持它们向B细胞发育的IgM阳性阶段分化。TSLP在许多组织中表达,包括心脏、肝脏和前列腺。
观察值〜23 kDa。 该蛋白的计算分子量为18 kDa,但由于高糖基化,可以在〜23 kDa处观察到。

Immunogen

KLH偶联的线性肽,对应于人TSLP的中间域。
表位:中间域

Application

使用经验证可用于蛋白质印迹,IHC(石蜡)&免疫荧光的该兔多克隆抗体(抗TSLP抗体)检测胸腺基质淋巴生成素。
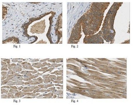
免疫组化分析:代表性批次的1:1,000稀释液在人类前列腺癌和心脏组织中检测到TSLP。

免疫荧光分析: 20 μg/mL代表性批次在人大脑细胞中检测到TSLP。
研究子类别
粘附(CAMs)
研究类别
细胞结构

Biochem/physiol Actions

该抗体可识别TSLP的中间域。

Physical form

在含有PBS和高达0.1%叠氮化钠的缓冲液中的纯化兔多克隆。
抗原亲和纯化

Preparation Note

自收到之日起,在2-8°C条件下可稳定保存1年。

Analysis Note

对照
A20细胞裂解液
通过蛋白质印迹法在A20细胞裂解液中进行评价。

蛋白质印迹分析:2 µg/mL的该抗体在15 µg A20细胞裂解液中检测到TSLP。

Other Notes

浓度:请参考批次特异性浓缩物的检验报告。

Disclaimer

除非我们的产品目录或产品附带的其他公司文档另有说明,否则我们的产品仅供研究使用,不得用于任何其他目的,包括但不限于未经授权的商业用途、体外诊断用途、离体或体内治疗用途或任何类型的消费或应用于人类或动物。


Still not finding the right product?

Explore all of our products under 抗-TSLP抗体

或者

试用我们的 产品选型工具 工具缩小选择范围


存储类别

12 - Non Combustible Liquids

wgk

WGK 2

flash_point_f

Not applicable

flash_point_c

Not applicable



分析证书(COA)

输入产品批号来搜索 分析证书(COA) 。批号可以在产品标签上"批“ (Lot或Batch)字后找到。

已有该产品?

在文件库中查找您最近购买产品的文档。

访问文档库



Simon G Royce et al.
FASEB journal : official publication of the Federation of American Societies for Experimental Biology, 33(5), 6402-6411 (2019-02-16)
The airway remodeling (AWR) associated with chronic allergic airways disease (AAD)/asthma contributes to irreversible airway obstruction. This study compared and combined the antiremodeling and other effects of induced pluripotent stem cell and mesenchymoangioblast-derived mesenchymal stem cells (MCA-MSCs) with the corticosteroid



全球贸易项目编号

货号GTIN
ABT33004053252912344