biological source
rabbit
Quality Level
conjugate
unconjugated
antibody form
affinity isolated antibody
antibody product type
primary antibodies
clone
polyclonal
purified by
affinity chromatography
species reactivity
mouse
species reactivity (predicted by homology)
human (immunogen homology)
technique(s)
immunofluorescence: suitable, immunohistochemistry: suitable, western blot: suitable
UniProt accession no.
shipped in
wet ice
target post-translational modification
unmodified
Gene Information
human ... NPHS1(4868)
General description
Nephrin(NPHS1,NPHN)又称肾小球特异性细胞粘附受体,在肾小球中强烈表达,是细胞粘附分子免疫球蛋白家族的成员之一。Nephrin基因的突变会导致先天性肾病综合征,这是一种常染色体隐性遗传疾病,其特征是子宫内有大量蛋白尿和出生时肾病。肾小球允许正常肾脏过滤血浆,使其非常纯净。Nephrin在肾小球的足细胞裂孔隔膜中表达,其方式表明Nephrin分子以类似于粘附连接中的钙黏着蛋白各种相互作用的反平行方式同型二聚化。因此,肾素可以构成裂孔隔膜的整个细胞外结构。
观察值〜100 kDa。在某些裂解物中可以出现未鉴定的条带。尽管其计算的分子量为135 kDa,但Nephrin在SDS-PAGE中通常以低于预期的大小迁移。
Immunogen
对应于人Nephrin的KLH偶联线性肽。
Application
使用经验证可用于蛋白质印迹,IHC&免疫荧光的该兔多克隆抗体,抗Nephrin抗体检测Nephrin。
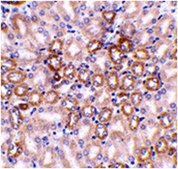
免疫组化分析:1 µg/mL代表性批次在小鼠肾组织中检出Nephrin。
免疫荧光分析:10 µg/mL代表性批次在小鼠肾组织中检出Nephrin。
免疫荧光分析:10 µg/mL代表性批次在小鼠肾组织中检出Nephrin。
Analysis Note
在小鼠肾组织裂解物中通过蛋白质印迹法进行评估。
蛋白印迹分析: 1 µg/mL的该抗体在15 µg小鼠肾组织裂解物中检测到Nephrin。
蛋白印迹分析: 1 µg/mL的该抗体在15 µg小鼠肾组织裂解物中检测到Nephrin。
Other Notes
浓度:请参考批次特异性浓缩物的分析证书。
Still not finding the right product?
存储类别
12 - Non Combustible Liquids
wgk
WGK 2
flash_point_f
Not applicable
flash_point_c
Not applicable
全球贸易项目编号
| 货号 | GTIN |
|---|---|
| ABT331 | 04053252923524 |