跳转至内容
Merck
CN

MAB1378

抗整合素α 6抗体,克隆NKI-GoH3

clone NKI-GoH3, Chemicon®, from rat

别名:

CD49f

登录 查看组织和合同定价。

选择尺寸

变更视图

关于此项目

UNSPSC Code:
12352203
NACRES:
NA.41
eCl@ss:
32160702
Conjugate:
unconjugated
Clone:
NKI-GoH3, monoclonal
Application:
FACS, IHC
Citations:
110
技术服务
需要帮助?我们经验丰富的科学家团队随时乐意为您服务。
让我们为您提供帮助


biological source

rat

Quality Level

conjugate

unconjugated

antibody form

purified immunoglobulin

antibody product type

primary antibodies

clone

NKI-GoH3, monoclonal

species reactivity

human, mouse

manufacturer/tradename

Chemicon®

technique(s)

flow cytometry: suitable, immunohistochemistry: suitable

isotype

IgG2a

NCBI accession no.

UniProt accession no.

shipped in

wet ice

target post-translational modification

unmodified

Gene Information

human ... ITGA6(3655)

General description

整联蛋白是介导细胞-细胞和细胞外基质粘连的二聚体跨膜蛋白家族。 整联蛋白转导的信号在许多生物学过程中起作用,包括细胞生长,分化,迁移和凋亡。整联蛋白家族由至少15个α和8个β亚基组成,其可以在细胞表面上形成超过20种不同的α-β非共价结合的二聚体组合。 全部α亚基彼此之间均具有某些同源性,β亚基也是如此。 两个亚基都有助于配体的结合。 整联蛋白α亚基在N-末端区域包含七个弱序列重复,这可能在配体结合中很重要,并且已预计可以协同折叠成具有七个β-折叠的单个β-螺旋桨域。 在正常组织中整联蛋白α-6/β-1是人血小板上层粘连蛋白的受体。整联蛋白α-6/β-4是上皮细胞中层粘连蛋白的受体,它在半桥粒中起关键的结构作用。 已经显示涉及上皮细胞的各种疾病状态与含有α6整联蛋白的异二聚体的改变有关。

Immunogen

来自BALB/c小鼠的乳腺癌细胞。

Application

使用经验证可用于FC,IH的抗整联蛋白α6抗体(克隆NKI-GoH3)检测整联蛋白α6。
流式细胞术:1:10

冷冻组织切片的免疫组织学:1:25-1:50

免疫沉淀(Sonnenberg,et al.1990)

层粘连蛋白结合抑制:40μg/ml。



最佳工作稀释度必须由最终用户进行确定。
研究子类别
整联蛋白
研究类别
细胞结构

Biochem/physiol Actions

针对120kDa CDw49f抗原(GP Ic或VLA-6α链),其可以与CD29抗原(GP 11a或VLAβ链)形成不同的复合物,产生在人血小板上表达的VLA-6(α-6β-1)复合物,或与β-4整联蛋白形成不同的复合物,产生在各种人上皮细胞上表达的α-6β-4复合物。 该单克隆抗体与血小板、巨核细胞、T淋巴细胞和普通急性淋巴细胞白血病(α-6β-1)反应。 在免疫组织学中,单克隆抗体与各种组织的上皮细胞、周围神经、微血管内皮细胞、胎盘细胞滋养层和合体滋养层发生反应。 血小板VL-6充当层粘连蛋白受体,血小板对层粘连蛋白的粘连被GoH3抑制。

Physical form

形式:纯化
纯化的蛋白 A
蛋白 A 纯化的小鼠免疫球蛋白,溶于 20 mM 磷酸钠,250 mM NaCl,pH.7.6 和 0.1% 叠氮化钠中作为防腐剂的溶液。

Preparation Note

自发运之日起,在 2–8°C 条件下可保存 1 年为了最大程度地回收产品,在融化后和取下盖子之前,将原始样品瓶进行离心。

Analysis Note

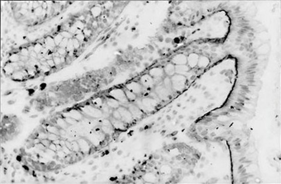
对照
人肠道组织

Other Notes

浓度:请参考批次特异性浓缩物的分析证书。

Legal Information

CHEMICON is a registered trademark of Merck KGaA, Darmstadt, Germany

Disclaimer

除非我们的产品目录或产品附带的其他公司文档另有说明,否则我们的产品仅供研究使用,不得用于任何其他目的,包括但不限于未经授权的商业用途、体外诊断用途、离体或体内治疗用途或任何类型的消费或应用于人类或动物。


Still not finding the right product?

试用我们的 产品选型工具 工具缩小选择范围


存储类别

10 - Combustible liquids

wgk

WGK 2



分析证书(COA)

输入产品批号来搜索 分析证书(COA) 。批号可以在产品标签上"批“ (Lot或Batch)字后找到。

已有该产品?

在文件库中查找您最近购买产品的文档。

访问文档库



Somatic correction of junctional epidermolysis bullosa by a highly recombinogenic AAV variant.
Melo, SP; Lisowski, L; Bashkirova, E; Zhen, HH; Chu, K; Keene, DR; Marinkovich, MP; Kay, MA; Oro, AE
Molecular Therapy null
P B Robbins et al.
Proceedings of the National Academy of Sciences of the United States of America, 98(9), 5193-5198 (2001-04-11)
The blistering disorder, lethal junctional epidermolysis bullosa (JEB), can result from mutations in the LAMB3 gene, which encodes laminin 5 beta3 (beta3). Appropriate expression of LAMbeta3 in JEB skin tissue could potentially ameliorate the symptoms of the underlying disease. To
Identification and characterization of a novel antigen complex on mouse mammary tumor cells using a monoclonal antibody against platelet glycoprotein Ic.
Sonnenberg, A, et al.
The Journal of Biological Chemistry, 263, 14030-14038 (1988)



全球贸易项目编号

货号GTIN
MAB137804053252360336