跳转至内容
Merck
CN

MAB1398Z

抗-PECAM-1抗体,克隆2H8,无叠氮化物

clone 2H8, Chemicon®, from hamster(Armenian)

别名:

CD31, PECAM-1, Platelet endothelial cell adhesion molecule

登录 查看组织和合同定价。

选择尺寸

变更视图

关于此项目

UNSPSC Code:
12352203
NACRES:
NA.41
eCl@ss:
32160702
Conjugate:
unconjugated
Clone:
2H8, monoclonal
Application:
EM, FACS, ICC, IF, IHC, IP, Neutral
Citations:
95
技术服务
需要帮助?我们经验丰富的科学家团队随时乐意为您服务。
让我们为您提供帮助


biological source

hamster (Armenian)

Quality Level

conjugate

unconjugated

antibody form

purified immunoglobulin

antibody product type

primary antibodies

clone

2H8, monoclonal

species reactivity

mouse, canine

manufacturer/tradename

Chemicon®

technique(s)

electron microscopy: suitable, flow cytometry: suitable, immunocytochemistry: suitable, immunofluorescence: suitable, immunohistochemistry: suitable, immunoprecipitation (IP): suitable, neutralization: suitable

isotype

IgG

NCBI accession no.

UniProt accession no.

shipped in

dry ice

target post-translational modification

unmodified

Gene Information

dog ... Pecam1(610775)
mouse ... Pecam1(18613)

General description

CD31,也称为血小板内皮细胞粘附分子1(PECAM1),是I型整合膜糖蛋白,是细胞表面受体免疫球蛋白超家族的成员。它在内皮细胞表面组成性表达,并集中在它们之间的连接处。它在许多外周淋巴样细胞和血小板上也微弱表达。

CD31已用于测量与肿瘤复发有关的血管生成。其他研究也表明,CD31和CD34可以用作髓样祖细胞的标志物,并识别骨髓性白血病浸润物的不同亚群(颗粒肉瘤)。

Immunogen

D10.G4.1 小鼠T细胞(Bogen, S.A., et al. (1992).Am. J. Pathol.141(4):843 -854)。
表位:胞外域。

Application

免疫荧光分析:代表性批次免疫染色小鼠和犬的4%多聚甲醛固定冷冻肿瘤切片中的内皮血管细胞,作为通过荧光免疫组化评估肿瘤异种移植物中淋巴管密度的一种方法(Donat, U., et al. (2012).PLoS One.7(9):e45942; Gentschev, I., et al. (2012).PLoS One.7(5):e37239)。
免疫荧光分析:采用荧光免疫组化对福尔马林固定、石蜡包埋的小鼠腹膜切片中代表性批次免疫染色的内皮细胞进行分析(Tanabe, K., et al. (2007).Kidney Int. 71(3):227-238)。
免疫细胞化学分析:代表性批次免疫染色在培养物中从小鼠ESC分化的4%多聚甲醛固定的内皮细胞(Purpura, K.A., et al. (2008).Stem Cells.26(11):2832-2842)。
免疫细胞化学分析:克隆2H8通过荧光免疫细胞化学法对表达小鼠CD31而非人CD31的3%多聚甲醛固定、0.5%NP-40透化COS-7转染子进行免疫染色(Bogen, S.A., et al. (1992).Am. J. Pathol.141(4):843-854)。
中和分析:当在小鼠中静脉内注射代表性批次时,阻断了巯基乙酸盐注射引起的白细胞迁移(Bogen, S., et al. (1994).J. Exp.Med. 179(3):1059-1064)。
中和分析:代表性批次阻止了小鼠PECAM介导的小鼠L细胞聚集体(Xie, Y., and Muller, W.A.(1993).Proc.Natl.Acad.Sci. U. S. A. 190(12):5569-5573)。
流式细胞术分析:代表性批次检测到外源转染的小鼠CD31在小鼠L细胞表面的表达(Xie, Y., and Muller, W.A.(1993).Proc.Natl.Acad.Sci. U. S. A. 190(12):5569-5573)。
流式细胞术分析:克隆2H8在各种鼠B细胞和T细胞系表面检测到CD31免疫反应性(Bogen, S.A., et al. (1992).Am. J. Pathol.141(4):843-854)。
免疫沉淀分析:代表性批次免疫沉淀了来自COS-7转染子的外源表达的鼠CD31,但不是人CD31(Xie, Y., and Muller, W.A.(1993).Proc.Natl.Acad.Sci. U. S. A. 190(12):5569-5573)。
免疫沉淀分析:克隆2H8免疫沉淀了来自小鼠CTLL T淋巴细胞和Sp2/0 B淋巴细胞的CD31(Bogen, S.A., et al. (1992).Am. J. Pathol.141(4):843-854)。
电子显微镜检查分析:在来自KLH免疫小鼠的0.01%戊二醛/2%甲醛固定的冷冻反应性淋巴结组织中,对克隆2H8进行生物素化和淋巴细胞免疫染色(Bogen, S.A., et al. (1992).Am. J. Pathol.141(4):843-854)。
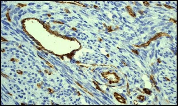
免疫组化分析:克隆2H8免疫染色的淋巴细胞粘附于KLH免疫小鼠冷冻反应性淋巴结组织的窦状和毛细血管后小静脉内皮(Bogen, S.A., et al. (1992).Am. J. Pathol.141(4):843-854)。
已发表的抗PECAM-1抗体(克隆2H8,无叠氮化物)可检测PECAM-1&水平,&经验证可用于电子显微镜检查、流式细胞术、免疫细胞化学、免疫荧光、免疫组化、免疫沉淀和中和试验。
研究子类别
粘附(CAMs)
研究类别
细胞结构

Biochem/physiol Actions

与小鼠单核细胞、血小板、粒细胞和内皮细胞上发现的130-140 kDa蛋白PECAM-1反应。 2H8有效抑制活化的多形核细胞和单核细胞跨内皮的迁移。 在急性腹膜炎小鼠模型中-2H8阻断急性炎症。

Physical form

形式:纯化
纯化的蛋白 A
蛋白 A 纯化的小鼠免疫球蛋白,溶于 20 mM 磷酸钠,250 mM NaCl,pH.7.6,不含防腐剂。

Preparation Note

自发运之日起在-20°C可保存2年。避免反复冻融。 为了最大程度地回收产品,在融化后和取下盖子之前,将原始样品瓶进行离心。

Analysis Note

对照
小鼠细胞肺组织

Other Notes

替代品:04-1074
浓度:请参考批次特异性浓缩物的分析证书。

Legal Information

CHEMICON is a registered trademark of Merck KGaA, Darmstadt, Germany

Disclaimer

除非我们的产品目录或产品附带的其他公司文档另有说明,否则我们的产品仅供研究使用,不得用于任何其他目的,包括但不限于未经授权的商业用途、体外诊断用途、离体或体内治疗用途或任何类型的消费或应用于人类或动物。


Still not finding the right product?

试用我们的 产品选型工具 工具缩小选择范围


存储类别

12 - Non Combustible Liquids

wgk

WGK 2

flash_point_f

Not applicable

flash_point_c

Not applicable



分析证书(COA)

输入产品批号来搜索 分析证书(COA) 。批号可以在产品标签上"批“ (Lot或Batch)字后找到。

已有该产品?

在文件库中查找您最近购买产品的文档。

访问文档库


实验方案

了解流式细胞分析实验方案的主要步骤,以便轻松完成后续流式细胞分析实验。

Learn key steps in flow cytometry protocols to make your next flow cytometry experiment run with ease.

Explore our flow cytometry guide to uncover flow cytometry basics, traditional flow cytometer components, key flow cytometry protocol steps, and proper controls.

商品

Troubleshooting guide offers solutions for common flow cytometry problems, ensuring improved analysis performance.

Flow cytometry dye selection tips match fluorophores to flow cytometer configurations, enhancing panel performance.


Mitochondrial oxidative phosphorylation reserve is required for hormone- and PPAR? agonist-induced adipogenesis.
Ryu, MJ; Kim, SJ; Choi, MJ; Kim, YK; Lee, MH; Lee, SE; Chung, HK; Jung, SB; Kim, HJ; Kim et al.
Molecules and Cells null
Formulation optimization and in vivo proof-of-concept study of thermosensitive liposomes balanced by phospholipid, elastin-like polypeptide, and cholesterol.
Park, SM; Cha, JM; Nam, J; Kim, MS; Park, SJ; Park, ES; Lee, H; Kim, HR
Testing null
Hedgehog signaling in the posterior region of the mouse gastrula suggests manifold roles in the fetal-umbilical connection and posterior morphogenesis.
Daane, JM; Downs, KM
Developmental Dynamics null



全球贸易项目编号

货号GTIN
MAB1398Z04053252399893