Quality Level
biological source
mouse
conjugate
unconjugated
antibody form
purified immunoglobulin
antibody product type
primary antibodies
clone
3F4, monoclonal
species reactivity
hamster, human
manufacturer/tradename
Chemicon®
technique(s)
ELISA: suitable, immunohistochemistry (formalin-fixed, paraffin-embedded sections): suitable, immunoprecipitation (IP): suitable, western blot: suitable
isotype
IgG2a
NCBI accession no.
UniProt accession no.
shipped in
dry ice
target post-translational modification
unmodified
Gene Information
human ... PRNP(5621)
General description
12.3kDa
人们认为朊病毒会在多种哺乳动物中引起多种疾病,包括牛的牛海绵状脑病(BSE,也称为“疯牛病”)和人类的克雅氏病(CJD)。迄今为止假设的全部朊病毒疾病会影响大脑或其他神经组织的结构,而全部目前尚无法治愈,并被认为是致命的。朊病毒被假设通过异常折叠形成一种结构来感染和传播,这种结构能够将正常的蛋白质分子转化为异常结构形式。全部已知的朊病毒诱导淀粉样蛋白折叠的形成,其中蛋白聚合成由紧密堆积的β片组成的聚集体。这种改变的结构极其稳定,并在感染的组织中积累,导致细胞死亡和组织损伤。这种稳定性意味着朊病毒对化学和物理试剂的变性具有抵抗力,从而使这些颗粒的处置和遏制变得困难。
Immunogen
表位:a.a.109-112
Application
免疫组化(石蜡):
先前批次的代表性图像。 使用柠檬酸盐缓冲液,pH值6.0进行最佳染色,表位修复:人脑
免疫组化(Kitamoto et al.,1987):
1:100-1:1,000*参见下面的方案。
必须通过使用以下程序之一对组织进行预处理,将表位重新暴露在固定的组织中:
a. 甲酸在室温下10分钟(Kitamoto et al.,1987)
b. 水解高压灭菌(Kitamoto et al.,1991)
c. 微波(BioGenex,San Ramon,CA)
蛋白质印迹:(Kascsak,R.J.,1991;Kascsak,R.J.,1987):
使用先前批次的1:10,000-1:100,000稀释液。
免疫沉淀:(Kascsak,R.J.,1991;Kascsak,R.J.,1987):
使用先前批次的1:10-1:100稀释液。
ELISA:(Kascsak,R.J.,1991;Kascsak,R.J.,1987):
使用先前批次的1:100,000稀释液。
最佳工作稀释度必须由最终用户确定。
先前批次的代表性图像。 使用柠檬酸盐缓冲液,pH值6.0进行最佳染色,表位修复:人脑
免疫组化(Kitamoto et al.,1987):
1:100-1:1,000*参见下面的方案。
必须通过使用以下程序之一对组织进行预处理,将表位重新暴露在固定的组织中:
a. 甲酸在室温下10分钟(Kitamoto et al.,1987)
b. 水解高压灭菌(Kitamoto et al.,1991)
c. 微波(BioGenex,San Ramon,CA)
蛋白质印迹:(Kascsak,R.J.,1991;Kascsak,R.J.,1987):
使用先前批次的1:10,000-1:100,000稀释液。
免疫沉淀:(Kascsak,R.J.,1991;Kascsak,R.J.,1987):
使用先前批次的1:10-1:100稀释液。
ELISA:(Kascsak,R.J.,1991;Kascsak,R.J.,1987):
使用先前批次的1:100,000稀释液。
最佳工作稀释度必须由最终用户确定。
该抗朊病毒蛋白抗体,a.a.109-112,克隆3F4经验证可用于ELISA、IH、IH(P)、IP、WB检测朊病毒蛋白。
Biochem/physiol Actions
朊病毒蛋白,人、仓鼠和猫的109-112位氨基酸残基。不与任何其他哺乳动物物种的PrP反应。MAB1562对天然和变性形式的PrP具有反应性。已固定的组织或细胞需要重新暴露的表位(见下文)。识别蛋白酶敏感和蛋白酶抗性形式的PrP。
Physical form
在含有 PBS 且不含防腐剂的缓冲液中纯化的小鼠单克隆 IgG2a。
形式:纯化
Analysis Note
免疫组化(石蜡):
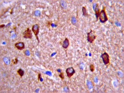
正常大脑中的朊病毒蛋白(目录号MAB1562)染色模式/形态。用pH 6.0的柠檬酸盐预处理组织。使用带有HRP-DAB的IHC-Select Detection将这批抗体稀释至1:500。免疫反应性主要表现为神经元的细胞体染色。
使用柠檬酸盐缓冲液,pH值6.0进行最佳染色,表位修复:人大脑
正常大脑中的朊病毒蛋白(目录号MAB1562)染色模式/形态。用pH 6.0的柠檬酸盐预处理组织。使用带有HRP-DAB的IHC-Select Detection将这批抗体稀释至1:500。免疫反应性主要表现为神经元的细胞体染色。
使用柠檬酸盐缓冲液,pH值6.0进行最佳染色,表位修复:人大脑
Legal Information
CHEMICON is a registered trademark of Merck KGaA, Darmstadt, Germany
Still not finding the right product?
试用我们的 产品选型工具 工具缩小选择范围
存储类别
12 - Non Combustible Liquids
wgk
WGK 2
flash_point_f
Not applicable
flash_point_c
Not applicable
Reference materials for the evaluation of pre-mortem variant Creutzfeldt-Jakob disease diagnostic assays.
J K Cooper,K Ladhani,P D Minor
Vox Sanguinis null
Synaptic prion protein immuno-reactivity in the rodent cerebellum.
A M Haeberle, C Ribaut-Barassin, G Bombarde, J Mariani, G Hunsmann, J Grassi, Y Bailly et al.
Microscopy Research and Technique null
Sialylated and O-glycosidically linked glycans in prion protein deposits in a case of Gerstmann-Straussler-Scheinker disease.
Viviana Zomosa-Signoret,Miguel Mayoral,Daniel Limon,Blanca Espinosa,Minerva Calvillo et al.
Neuropathology : Official Journal of the Japanese Society of Neuropathology null
全球贸易项目编号
| 货号 | GTIN |
|---|---|
| MAB1562 | 04053252399336 |