跳转至内容
Merck
CN

MAB3238

抗细胞角蛋白19抗体(克隆RCK108)

clone RCK108, Chemicon®, from mouse

别名:

Anti-CK19, Anti-K19, Anti-K1CS

登录 查看组织和合同定价。

选择尺寸

变更视图

关于此项目

UNSPSC Code:
12352203
NACRES:
NA.41
eCl@ss:
32160702
Conjugate:
unconjugated
Clone:
RCK108, monoclonal
Application:
FACS, ICC, IHC, WB
Citations:
10
技术服务
需要帮助?我们经验丰富的科学家团队随时乐意为您服务。
让我们为您提供帮助


biological source

mouse

Quality Level

conjugate

unconjugated

antibody form

purified antibody

antibody product type

primary antibodies

clone

RCK108, monoclonal

species reactivity

human

manufacturer/tradename

Chemicon®

technique(s)

flow cytometry: suitable, immunocytochemistry: suitable, immunohistochemistry: suitable (paraffin), western blot: suitable

isotype

IgG1κ

NCBI accession no.

UniProt accession no.

shipped in

dry ice

target post-translational modification

unmodified

Gene Information

human ... KRT19(3880)

General description

细胞角蛋白是中间丝蛋白的一个亚家族,其特征在于显著的生化多样性,在上皮组织中由至少20种不同的多肽代表。它们的分子量范围为40 kDa至68 kDa,等电pH值范围为4.9-7.8,单个细胞角蛋白多肽称为1-20。人体内的各种上皮细胞通常表达细胞角蛋白,其不仅是上皮类型的特征,而且还与上皮内的成熟或分化程度有关。细胞角蛋白亚型表达模式越来越多地用于区分不同类型的上皮恶性肿瘤。



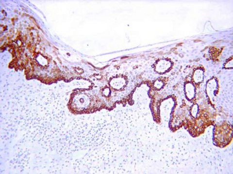
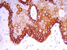
细胞角蛋白19(分子量 40 kD)是单层上皮的标志物。细胞角蛋白19存在于间皮和间皮瘤细胞,也见于卵巢囊肿、囊腺瘤和卵巢癌中。研究表明它存在于非角化复层鳞状上皮(non-keratinizing stratified squamous epithelia )的基底层,如口腔和外宫颈。细胞角蛋白19也存在于肺腺癌中以及肺转移瘤的肿瘤细胞中。

据报道,细胞角蛋白19可存在于正常胰腺的导管细胞中和胰腺癌中。研究发现,正常胰腺的导管细胞表达多种细胞角蛋白,包括细胞角蛋白19,正常胰腺的腺泡细胞也表达细胞角蛋白19以外的多种细胞角蛋白。因此可以确定的是,胰腺癌和正常导管细胞一样,持续表达某些细胞角蛋白,包括细胞角蛋白19,这表明胰腺癌可能来源于正常导管细胞。

Immunogen

T24 细胞的细胞骨架制剂。

Application

抗细胞角蛋白 19 抗体(克隆 RCK108) 是针对细胞角蛋白 19 的抗体,用于FC、WB、 IC、IH(P)。
研究子类别
细胞角蛋白
研究类别
细胞结构
蛋白质印迹:1:100-1:1,000;在还原蛋白质印迹中识别40kDa条带

免疫组化:1:100-1:200;冷冻和石蜡包埋的组织切片(胰蛋白酶或胃蛋白酶处理后)。

免疫细胞化学:1:100-1:200

流式细胞术:1:100-1:200。



最佳工作稀释度必须由最终用户进行确定。

Biochem/physiol Actions

细胞角蛋白19.MAB3238 与腺上皮细胞和大多数癌细胞反应。不与肝细胞和肝癌细胞反应。

Physical form

含 0.1% 叠氮化钠的缓冲液液体。
形式:纯化

Preparation Note

以未稀释等分试样保存于-20°C下6个月。应避免反复冻/融循环。

Other Notes

浓度:请参考批次特异性浓缩物的检验报告。

Legal Information

CHEMICON is a registered trademark of Merck KGaA, Darmstadt, Germany

Disclaimer

除非我们的产品目录或产品附带的其他公司文档另有说明,否则我们的产品仅供研究使用,不得用于任何其他目的,包括但不限于未经授权的商业用途、体外诊断用途、离体或体内治疗用途或任何类型的消费或应用于人类或动物。


Still not finding the right product?

试用我们的 产品选型工具 工具缩小选择范围


存储类别

12 - Non Combustible Liquids

wgk

WGK 2

flash_point_f

Not applicable

flash_point_c

Not applicable



分析证书(COA)

输入产品批号来搜索 分析证书(COA) 。批号可以在产品标签上"批“ (Lot或Batch)字后找到。

已有该产品?

在文件库中查找您最近购买产品的文档。

访问文档库



A Unique Expression of Keratin 14 in a Subset of Trophoblast Cells.
Abou-Kheir, W; Eid, A; El-Merahbi, R; Assaf, R; Daoud, G
Testing null
The intercellular adhesion molecule, cadherin-10, is a marker for human prostate luminal epithelial cells that is not expressed in prostate cancer.
Walker, MM; Ellis, SM; Auza, MJ; Patel, A; Clark, P
Modern Pathology null
Natasha P Clayton et al.
Toxicologic pathology, 46(6), 653-659 (2018-08-10)
The use of three-dimensional (3-D) in vitro culture systems (spheroids, organoids) in biomolecular and drug discovery research has become increasingly popular. The popularity is due, in part, to a diminished reliance on animal bioassays and a desire to develop physiologically



全球贸易项目编号

货号GTIN
MAB323804053252503054