跳转至内容
Merck
CN

MAB3299

抗-DNA抗体,单链特异性,克隆 F7-26

clone F7-26, Chemicon®, from mouse

别名:

单链DNA抗体, 抗单链DNA抗体

登录 查看组织和合同定价。

选择尺寸

变更视图

关于此项目

UNSPSC Code:
12352203
NACRES:
NA.41
eCl@ss:
32160702
Clone:
F7-26, monoclonal
Technique(s):
flow cytometry: suitable, immunocytochemistry: suitable, immunohistochemistry (formalin-fixed, paraffin-embedded sections): suitable
Application:
FACS, ICC, IHC (p)
Citations:
51
技术服务
需要帮助?我们经验丰富的科学家团队随时乐意为您服务。
让我们为您提供帮助


biological source

mouse

Quality Level

antibody form

purified immunoglobulin

antibody product type

primary antibodies

clone

F7-26, monoclonal

species reactivity (predicted by homology)

all

manufacturer/tradename

Chemicon®

technique(s)

flow cytometry: suitable, immunocytochemistry: suitable, immunohistochemistry (formalin-fixed, paraffin-embedded sections): suitable

isotype

IgM

shipped in

dry ice

target post-translational modification

unmodified

General description

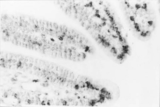
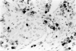
凋亡是程序性细胞死亡的遗传和生化调节机制,在多种人类疾病(包括癌症,免疫疾病以及神经系统疾病,心血管疾病和传染病)中起着重要作用。 在凋亡过程中,DNA结合蛋白的蛋白水解作用导致凋亡DNA对热变性的稳定性降低。 该结论得到了抗ssDNA单克隆抗体与加热前用蛋白酶K处理的非凋亡细胞的结合以及用组蛋白重构的凋亡细胞核中DNA变性和MAb反应性的预防的支持(Frankfurt et al.1996,1997)。 因此,仅在凋亡细胞核中原位诱导DNA变性的热处理后,用此类抗体对细胞悬液和组织切片进行染色是检测凋亡细胞的特异性和灵敏度方法。 CHEMICON MAB3299提供了凋亡性死亡特异的细胞标记物,该标记物独立于核小体间DNA片段,可用于检测各种细胞类型中不同阶段的凋亡。

Immunogen

F7-26是由小牛胸腺单链DNA的小鼠免疫产生的。
表位:单链特异性

Application

1.免疫沉淀

2.免疫组化:福尔马林固定、石蜡包埋组织&4%PF冰冻组织(需要特殊检测方案。FACS分析(需要特殊方案),
已发表的单链特异性抗DNA抗体,克隆F7-26可检测DNA水平&,&经验证可用于FC、IC、IH、IH(P)。

Biochem/physiol Actions

与单链DNA发生特异性反应,是检测混悬剂或组织切片中凋亡细胞的理想选择。 该抗体不识别双链构象的DNA。 MAB3299提供了对凋亡性死亡特异的细胞标志物,该标志物独立于核小体间DNA片段,可用于检测各种细胞类型中不同阶段的凋亡。 抗体与脱氧胞苷发生特异性反应,并需要延伸至少25-30个碱基长度的ssDNA才能结合。重要的是,与使用TUNEL方法相比,针对ssDNA的单克隆抗体对凋亡性细胞死亡具有特异性,并且不能检测到坏死细胞。

Physical form

形式:纯化
纯化的免疫球蛋白。 含5%胎牛血清(FBS)的PBS液体,不含防腐剂。

Preparation Note

自购买之日起,在 -80°C 以未稀释的等分试样可冷冻保存 12 个月。

Analysis Note

对照
凋亡细胞。

Other Notes

浓度:请参考批次特异性浓缩物的分析证书。

Legal Information

CHEMICON is a registered trademark of Merck KGaA, Darmstadt, Germany


Still not finding the right product?

试用我们的 产品选型工具 工具缩小选择范围


存储类别

12 - Non Combustible Liquids

wgk

WGK 2

flash_point_f

Not applicable

flash_point_c

Not applicable



分析证书(COA)

输入产品批号来搜索 分析证书(COA) 。批号可以在产品标签上"批“ (Lot或Batch)字后找到。

已有该产品?

在文件库中查找您最近购买产品的文档。

访问文档库



Apnea produces excitotoxic hippocampal synapses and neuronal apoptosis.
Simon J Fung,Mingchu Xi,Jianhua Zhang,Sharon Sampogna,Michael H Chase
Experimental neurology null
C A Mandarim-De-Lacerda et al.
Pathobiology : journal of immunopathology, molecular and cellular biology, 68(1), 36-42 (2000-06-22)
The myocardial effect on the normalization of arterial blood pressure in animals with hypertension previously induced by nitric oxide synthesis (NOS) inhibition is still unknown. The purpose of this study was to estimate the numerical density of cardiomyocytes that is
Increased airway epithelial and T-cell apoptosis in COPD remains despite smoking cessation.
Hodge, S; Hodge, G; Holmes, M; Reynolds, PN
The European Respiratory Journal null



全球贸易项目编号

货号GTIN
MAB329908436037123849