biological source
mouse
Quality Level
antibody form
purified immunoglobulin
antibody product type
primary antibodies
clone
VIIF9 (7F9), monoclonal
species reactivity
rat, mouse, rabbit, human
technique(s)
immunocytochemistry: suitable, immunofluorescence: suitable, immunohistochemistry: suitable (paraffin), western blot: suitable
isotype
IgG1κ
NCBI accession no.
UniProt accession no.
shipped in
wet ice
target post-translational modification
unmodified
Gene Information
human ... VCL(7414)
General description
Metavinculin (MV) and its a.a. 916-983 truncated splice variant Vinculin (UniProt P18206) are cytoskeleton proteins encoded by the VCL (also known as MVCL, CMD1W, CMH15) gene (Gene ID 7414) in human. The N-terminal globular head domain (a.a. 2-835) of Vinculin/VM contains binding sites for talin and α-actinin as well as a tyrosine phosphorylation site, while their C-terminal Tail region (a.a. 879-1134 of VM; a.a. 879-1066 of Vinculin) contains binding sites for F-actin, paxillin, and lipids. Vinculin is associated with focal adhesion and adherens junctions, which are complexes that nucleate actin filaments and crosslinkers between the external medium, plasma membrane, and actin cytoskeleton. The loss of vinculin disrupts focal adhesion complex formation and prevents cell adhesion and spreading, accompanied by reduced stress fiber formation and inhibition of lamellipodia extension. Smooth muscles and skeletal muscles in their well-differentiated, contractile state co-express vinculin and meta-vinculin. Both vinculin isoforms co-localize in muscular adhesive structures, such as dense plaques in smooth muscles, intercalated discs in cardiomyocytes, and costameres in skeletal muscles.
~130 kDa observed. Target band size appears larger than the calculated molecular weights of 116.7 kDa (Vinculin; isoform 1) and 123.80 kDa (Metainculin; isoform 2).
Immunogen
Human uterus meta-vinculin.
Application
Anti-Vinculin Antibody, clone VIIF9 (7F9), Ascites Free
is an antibody against Vinculin for use in Western Blotting
, Immunohistochemistry (Paraffin, Immunofluorescence
Immunocytochemistry.
is an antibody against Vinculin for use in Western Blotting
, Immunohistochemistry (Paraffin, Immunofluorescence
Immunocytochemistry.
Research Category
Cell Structure
Cell Structure
Research Sub Category
Cytoskeletal Signaling
Cytoskeletal Signaling
Western Blotting Analysis: 0.5 µg/mL from a representative lot detected Viculin in 10 µg of A431 cell lysate.
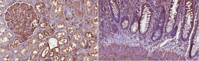
Immunohistochemistry Analysis: An 1:1,000 dilution from a representative lot detected Viculin in human kidney and colon tissue sections.
Western Blotting Analysis: A representative lot detected vinculin in HEK293 and HepG2 lysates (Veronese, A., et al. (2011). Proc. Natl. Acad. Sci. U. S. A. 108(12):4840-4845).
Western Blotting Analysis: Clone VII F7 reacted equally with human vinculin and meta-vinculin by immunoblotting and recognized all human vinculin (α, α′, β, γ) and meta-vinculin (α & β) variants resolved by isoelectrofocusing (Glukhova, M.A., et al. (1990). J. Biol. Chem. 265:13042-13046).
Immunofluorescence Analysis: A representative lot immunostained the focal adhesion protein vinculin in acetone-fixed frozen mouse skeletal and cardiac muscle sections by fluorescent immunohistochemistry (Belkin, A.M., et al. (1996). J. Cell Biol. 132(1-2):211-226).
Immunocytochemistry Analysis: A representative lot detected an increased average size and number of focal adhesions per cell following miR-200-mediated genes knockdown by fluorescent immunocytochemistry staining of paraformaldehyde-fixed, Triton X-100-permeabilized MDA-MB-231 human breast cancer cells (Bracken, C.P., et al. (2014). EMBO J. 33(18):2040-2056).
Immunocytochemistry Analysis: A representative lot immunostained the focal adhesion protein vinculin in paraformaldehyde-fixed, Triton X-100-permeabilized human fibroblasts by fluorescent immunocytochemistry (Addad, S., et al. (2011). Mar. Drugs. 9(6):967-983).
Immunocytochemistry Analysis: A representative lot immunostained the focal adhesion protein vinculin in fixed human intestinal epithelial cells (HIECs) by fluorescent immunocytochemistry (Gagné , D., et al. (2010). J. Cell Physiol. 222(2):387-400).
Immunocytochemistry Analysis: Representative lots immunostained the focal adhesion protein vinculin in paraformaldehyde-fixed, Triton X-100-permeabilized REF52 rat embryonic fibroblasts, mouse skin fibroblasts, rabbit chondrocytes, and human MCF-7 cells by fluorescent immunocytochemistry (Akimov, S.S., et al. (2000). J. Cell Biol. 148(4):825-838; Jurjus, R.A., et al. (2008). Wound Repair Regen. 16(5):649-660; Yamamoto, K., et al. (2007). Biomaterials. 28(10):1838-1846; Poppe, M., et al. (2007). Oncogene. 26(24):3462-3472).
Immunohistochemistry Analysis: An 1:1,000 dilution from a representative lot detected Viculin in human kidney and colon tissue sections.
Western Blotting Analysis: A representative lot detected vinculin in HEK293 and HepG2 lysates (Veronese, A., et al. (2011). Proc. Natl. Acad. Sci. U. S. A. 108(12):4840-4845).
Western Blotting Analysis: Clone VII F7 reacted equally with human vinculin and meta-vinculin by immunoblotting and recognized all human vinculin (α, α′, β, γ) and meta-vinculin (α & β) variants resolved by isoelectrofocusing (Glukhova, M.A., et al. (1990). J. Biol. Chem. 265:13042-13046).
Immunofluorescence Analysis: A representative lot immunostained the focal adhesion protein vinculin in acetone-fixed frozen mouse skeletal and cardiac muscle sections by fluorescent immunohistochemistry (Belkin, A.M., et al. (1996). J. Cell Biol. 132(1-2):211-226).
Immunocytochemistry Analysis: A representative lot detected an increased average size and number of focal adhesions per cell following miR-200-mediated genes knockdown by fluorescent immunocytochemistry staining of paraformaldehyde-fixed, Triton X-100-permeabilized MDA-MB-231 human breast cancer cells (Bracken, C.P., et al. (2014). EMBO J. 33(18):2040-2056).
Immunocytochemistry Analysis: A representative lot immunostained the focal adhesion protein vinculin in paraformaldehyde-fixed, Triton X-100-permeabilized human fibroblasts by fluorescent immunocytochemistry (Addad, S., et al. (2011). Mar. Drugs. 9(6):967-983).
Immunocytochemistry Analysis: A representative lot immunostained the focal adhesion protein vinculin in fixed human intestinal epithelial cells (HIECs) by fluorescent immunocytochemistry (Gagné , D., et al. (2010). J. Cell Physiol. 222(2):387-400).
Immunocytochemistry Analysis: Representative lots immunostained the focal adhesion protein vinculin in paraformaldehyde-fixed, Triton X-100-permeabilized REF52 rat embryonic fibroblasts, mouse skin fibroblasts, rabbit chondrocytes, and human MCF-7 cells by fluorescent immunocytochemistry (Akimov, S.S., et al. (2000). J. Cell Biol. 148(4):825-838; Jurjus, R.A., et al. (2008). Wound Repair Regen. 16(5):649-660; Yamamoto, K., et al. (2007). Biomaterials. 28(10):1838-1846; Poppe, M., et al. (2007). Oncogene. 26(24):3462-3472).
Biochem/physiol Actions
Clone VII F9 (7F9) reacted equally with human vinculin and meta-vinculin by immunoblotting and recognized all vinculin (α, α′, β, γ) and meta-vinculin (α & β) variants resolved by isoelectrofocusing (Glukhova, M.A., et al. (1990). J. Biol. Chem. 265:13042-13046).
Physical form
Format: Purified
Protein G Purified
Purified mouse monoclonal IgG1κ antibody in buffer containing 0.1 M Tris-Glycine (pH 7.4), 150 mM NaCl with 0.05% sodium azide.
Preparation Note
Stable for 1 year at 2-8°C from date of receipt.
Analysis Note
Evaluated by Western Blotting in HepG2 cell lysate.
Western Blotting Analysis: 0.5 µg/mL of this antibody detected Viculin in 10 µg of HepG2 cell lysate.
Western Blotting Analysis: 0.5 µg/mL of this antibody detected Viculin in 10 µg of HepG2 cell lysate.
Other Notes
Concentration: Please refer to lot specific datasheet.
Disclaimer
Unless otherwise stated in our catalog or other company documentation accompanying the product(s), our products are intended for research use only and are not to be used for any other purpose, which includes but is not limited to, unauthorized commercial uses, in vitro diagnostic uses, ex vivo or in vivo therapeutic uses or any type of consumption or application to humans or animals.
Still not finding the right product?
试用我们的 产品选型工具 工具缩小选择范围
存储类别
12 - Non Combustible Liquids
wgk
WGK 1
flash_point_f
Not applicable
flash_point_c
Not applicable
Yi Wen Chai et al.
PloS one, 11(9), e0162853-e0162853 (2016-09-16)
The development and utilization of three-dimensional cell culture platforms has been gaining more traction. Three-dimensional culture platforms are capable of mimicking in vivo microenvironments, which provide greater physiological relevance in comparison to conventional two-dimensional cultures. The majority of three-dimensional culture
全球贸易项目编号
| 货号 | GTIN |
|---|---|
| MAB3574-C | 04055977331271 |