biological source
mouse
Quality Level
conjugate
unconjugated
antibody form
purified immunoglobulin
antibody product type
primary antibodies
clone
A2b1, monoclonal
species reactivity
human, rat, mouse
manufacturer/tradename
Chemicon®
technique(s)
immunocytochemistry: suitable, immunohistochemistry: suitable, immunoprecipitation (IP): suitable, western blot: suitable
isotype
IgG1
suitability
not suitable for immunohistochemistry (Paraffin)
NCBI accession no.
UniProt accession no.
shipped in
wet ice
target post-translational modification
unmodified
Gene Information
human ... PTEN(5728), TEP1(7011)
General description
55 kDa
Immunogen
Anti-PTEN was generated by immunization with a 10 amino acid peptide corresponding to amino acids 387-400 near the C-terminus of human PTEN.
Epitope: C-terminus
Application
Anti-PTEN Antibody, C-terminus, clone A2b1 is an antibody against PTEN for use in IC, IH, IP & WB.
Research Category
Signaling
Signaling
Research Sub Category
PI3K, Akt, & mTOR Signaling
PI3K, Akt, & mTOR Signaling
Western blot 1:100 (55 kDa)
Immunocytochemistry
Immunohistochemistry: 1:20 to 1:50 for acetone-fixed, fresh frozen tissue. Not effective for paraffin sections.
Immunoprecipitation 1:10 to 1:20
Protocol for immunohistochemistry of frozen tissue sections on glass slides.
1. Fix sections for 5 minutes with cold acetone.
2. Air dry
3. Wash sections with PBS
4. Add blocking solution (horse serum) for 20 minutes
5. Add diluted PTEN antibody and incubate for 1 hour at room temperature.
6. Wash with PBS
7. Add biotinylated secondary antibody (horse anti-mouse, or equivalent).
8. Incubate for 30 minutes at room temperature.
9. Wash with PBS
10. Detect with ABC (Avidin-Peroxidase-Complex) or equivalent.
11. Wash with PBS
12. Develop with DAB substrate.
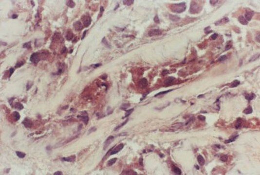
13. Hematoxylin dye may be used as a counterstain for visualizing nuclei.Breast tumor tissue gives good staining. Prostate tissue does not stain.Optimal working dilutions must be determined by end user.
Immunocytochemistry
Immunohistochemistry: 1:20 to 1:50 for acetone-fixed, fresh frozen tissue. Not effective for paraffin sections.
Immunoprecipitation 1:10 to 1:20
Protocol for immunohistochemistry of frozen tissue sections on glass slides.
1. Fix sections for 5 minutes with cold acetone.
2. Air dry
3. Wash sections with PBS
4. Add blocking solution (horse serum) for 20 minutes
5. Add diluted PTEN antibody and incubate for 1 hour at room temperature.
6. Wash with PBS
7. Add biotinylated secondary antibody (horse anti-mouse, or equivalent).
8. Incubate for 30 minutes at room temperature.
9. Wash with PBS
10. Detect with ABC (Avidin-Peroxidase-Complex) or equivalent.
11. Wash with PBS
12. Develop with DAB substrate.
13. Hematoxylin dye may be used as a counterstain for visualizing nuclei.Breast tumor tissue gives good staining. Prostate tissue does not stain.Optimal working dilutions must be determined by end user.
Biochem/physiol Actions
Specifically recognizes PTEN*, a tumor suppressor protein located on human chromosome 10 (Steck, ′97; Li, ′97; Rhei, ′97) that is often mutated in various types of advanced cancers (Rhei, ′97). The PTEN protein exhibits protein phosphatase activity (Myers, ′97) and can suppress the growth of glioma cells (Furnari, ′97). The antibody recognizes human and mouse PTEN and is specific for the C-terminus. Other species not tested. Reactivity with human fibroblasts, breast epithelial and lung cancer cell lines has been confirmed by western blot, and antibody specificity has been confirmed by peptide blocking studies.
*PTEN is covered under U.S. patents 6,262,242, 6,482,795 and U.S. patent application 10/299,003.
*PTEN is covered under U.S. patents 6,262,242, 6,482,795 and U.S. patent application 10/299,003.
Physical form
Format: Purified
Protein A Purified mouse immunoglobulin in 20 mM sodium phosphate, 250 mM NaCl, pH. 7.6, with 0.1% sodium azide as a preservative.
Protein A purified
Preparation Note
Maintain for 1 year at 2–8°C from date of shipment. Aliquot to avoid repeated freezing and thawing. For maximum recovery of product, centrifuge the original vial after thawing and prior to removing the cap.
Analysis Note
Control
Breast tumor tissue
Purified active kinase is Catalogue Number 14-488
Breast tumor tissue
Purified active kinase is Catalogue Number 14-488
Other Notes
Replaces: 04-409
Concentration: Please refer to the Certificate of Analysis for the lot-specific concentration.
Legal Information
CHEMICON is a registered trademark of Merck KGaA, Darmstadt, Germany
Disclaimer
Unless otherwise stated in our catalog or other company documentation accompanying the product(s), our products are intended for research use only and are not to be used for any other purpose, which includes but is not limited to, unauthorized commercial uses, in vitro diagnostic uses, ex vivo or in vivo therapeutic uses or any type of consumption or application to humans or animals.
Still not finding the right product?
试用我们的 产品选型工具 工具缩小选择范围
存储类别
12 - Non Combustible Liquids
wgk
WGK 2
flash_point_f
Not applicable
flash_point_c
Not applicable
A new human cell line, PDSS-26, from poorly differentiated synovial sarcoma, with unique chromosomal anomalies.
Anna C Berardi, Antonina Parafioriti, Donatella Barisani, Bela Papp et al.
Cancer Genetics and Cytogenetics null
D M Li et al.
Cancer research, 57(11), 2124-2129 (1997-06-01)
It has long been postulated that protein tyrosine phosphatases may act as tumor suppressors because of their ability to counteract the oncogenic actions of protein tyrosine kinases. Here we report the cloning and characterization of a novel human protein tyrosine
Mutation analysis of the putative tumor suppressor gene PTEN/MMAC1 in primary breast carcinomas.
Rhei, E, et al.
Cancer Research, 57, 3657-3659 (1997)
全球贸易项目编号
| 货号 | GTIN |
|---|---|
| MAB4037 | 04053252505966 |