跳转至内容
Merck
CN

MAB424

抗PCNA抗体,克隆PC10

clone PC10, Chemicon®, from mouse

别名:

Proliferating Cell Nuclear Antigen, DNA Polymerase delta Processivity Factor

登录 查看组织和合同定价。

选择尺寸

变更视图

关于此项目

UNSPSC Code:
12352203
NACRES:
NA.41
eCl@ss:
32160702
Conjugate:
unconjugated
Clone:
PC10, monoclonal
Application:
ELISA, FACS, IHC, IP, WB
Citations:
81
技术服务
需要帮助?我们经验丰富的科学家团队随时乐意为您服务。
让我们为您提供帮助


biological source

mouse

Quality Level

conjugate

unconjugated

antibody form

purified immunoglobulin

antibody product type

primary antibodies

clone

PC10, monoclonal

species reactivity

vertebrates, invertebrates

packaging

antibody small pack of 25 μg

manufacturer/tradename

Chemicon®

technique(s)

ELISA: suitable, flow cytometry: suitable, immunohistochemistry: suitable (paraffin), immunoprecipitation (IP): suitable, western blot: suitable

isotype

IgG2a

NCBI accession no.

UniProt accession no.

shipped in

ambient

storage temp.

2-8°C

target post-translational modification

unmodified

Gene Information

human ... PCNA(5111)

General description

36kda
增殖细胞核抗原(PCNA)是一个36 kDa的分子,在物种之间高度保守。PCNA首先被确定为系统性红斑狼疮患者自身抗体亚群的抗原(Miyachi,1978; Takasaki,1984; Ogata,1987)。此后经确定,PCNA在S期以及与DNA损伤修复机制有关的DNA合成过程中可作为DNA聚合酶δ的辅助因子(Tan,1987; Bravo,1987)。PCNA表达的时间特异性使其成为细胞增殖的理想标记。PCNA在细胞周期的G1阶段开始积累,在S阶段最丰富,而在G2/M阶段开始下降(Kurki,1988)。由于PCNA的半衰期超过20小时,因此有可能在非周期细胞中检测到该蛋白。

Immunogen

大鼠PCNA由蛋白A载体pR1T2T获得。

Application

使用抗PCNA抗体,克隆PC10(小鼠单克隆抗体;已在ELISA、FC、IHC(P)、IP、WB中验证),检测PCNA(也被称为增殖细胞核抗原、DNA聚合酶δ持续合成因子。
研究子类别
细胞周期,DNA 复制&修复
研究类别
表观遗传学&核功能
蛋白质印迹:1:250-1:1000.相较于全细胞蛋白提取物,优先选择核提取物。

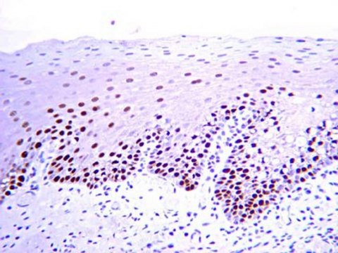
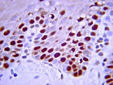
免疫组化:1:20-1:200。仅推荐用于石蜡包埋的组织切片。可用于大多数固定剂(包括福尔马林(缓冲和非缓冲)、methacarn和Bouin′s试剂)固定的材料上。固定时间会明显影响PCNA免疫反应的强度。如果将切片以烘烤的形式固定在载玻片上,染色强度会减弱(并且可能无染色)。建议在聚L-赖氨酸包被的载玻片上风干过夜。建议使用标准的ABC技术在25 °C下孵育60分钟。

免疫沉淀

间接流式细胞术

最佳工作稀释度必须由最终用户进行确定。

Biochem/physiol Actions

克隆PC10可识别所有受测试的脊椎动物和昆虫物种中的PCNA,并已被用于鉴定转化细胞(Kurki,1988)、实体瘤中的增殖细胞(Smetana,1983)和白血病患者的胚细胞(Takasaki,1984)。利用克隆PC10的免疫组织化学分析已被用于研究PCNA在正常组织和淋巴瘤的石蜡切片中的表达(Hall,1990)。在增殖细胞中,PCNA染色模式主要为位于细胞核中。 通过蛋白质印迹,该抗体可检测迁移至36 kDa的多肽(等电点4.8)。

Physical form

形式:纯化
纯化的蛋白 A
蛋白A纯化的小鼠免疫球蛋白,溶于含0.1%叠氮化钠作为防腐剂的PBS中。

Preparation Note

自发运之日起,在 2–8°C 条件下可稳定保存 1 年避免反复冻融。为了最大程度地回收产品,在融化后和取下盖子之前,将原始样品瓶进行离心。

Analysis Note

对照
大鼠肾脏、人类扁桃体、淋巴结组织
已经过测试

Other Notes

浓度:请参考批次特异性浓缩物的分析证书。

Legal Information

CHEMICON is a registered trademark of Merck KGaA, Darmstadt, Germany

Disclaimer

除非我们的产品目录或产品附带的其他公司文档另有说明,否则我们的产品仅供研究使用,不得用于任何其他目的,包括但不限于未经授权的商业用途、体外诊断用途、离体或体内治疗用途或任何类型的消费或应用于人类或动物。


Still not finding the right product?

Explore all of our products under 抗PCNA抗体,克隆PC10

或者

试用我们的 产品选型工具 工具缩小选择范围


wgk

WGK 2

flash_point_f

Not applicable

flash_point_c

Not applicable

存储类别

12 - Non Combustible Liquids



分析证书(COA)

输入产品批号来搜索 分析证书(COA) 。批号可以在产品标签上"批“ (Lot或Batch)字后找到。

已有该产品?

在文件库中查找您最近购买产品的文档。

访问文档库



Spatial and temporal expression of RP58, a novel zinc finger transcriptional repressor, in mouse brain.
Chiaki Ohtaka-Maruyama, Akiko Miwa, Hitoshi Kawano, Masataka Kasai, Haruo Okado
The Journal of Comparative Neurology null
PCNA and Ki-67 immunoreactivity in multinucleated cells of giant cell fibroma and peripheral giant cell granuloma.
A J Mighell, P A Robinson, W J Hume
Journal of Oral Pathology & Medicine null
Stepwise activation of the ATR signaling pathway upon increasing replication stress impacts fragile site integrity.
Koundrioukoff, S; Carignon, S; Techer, H; Letessier, A; Brison, O; Debatisse, M
PLoS Genetics null



全球贸易项目编号

货号GTIN
MAB424-25UG04054839342714