跳转至内容
Merck
CN

MAB5382

抗缺氧诱导因子1 α 抗体,克隆 H1α67

clone H1alpha67, Chemicon®, from mouse

别名:

HIF-1 alpha, ARNT Interacting Protein, MOP1

登录 查看组织和合同定价。

选择尺寸

变更视图

关于此项目

UNSPSC Code:
12352203
NACRES:
NA.41
eCl@ss:
32160702
Conjugate:
unconjugated
Clone:
H1alpha67, monoclonal
Application:
EMSA, IHC, IP, WB
Citations:
42
技术服务
需要帮助?我们经验丰富的科学家团队随时乐意为您服务。
让我们为您提供帮助


biological source

mouse

Quality Level

conjugate

unconjugated

antibody form

purified immunoglobulin

antibody product type

primary antibodies

clone

H1alpha67, monoclonal

species reactivity

mouse, rat, ferret, human

packaging

antibody small pack of 25 μg

manufacturer/tradename

Chemicon®

technique(s)

electrophoretic mobility shift assay: suitable, immunohistochemistry: suitable, immunoprecipitation (IP): suitable, western blot: suitable

isotype

IgG2b

NCBI accession no.

UniProt accession no.

shipped in

ambient

storage temp.

2-8°C

target post-translational modification

unmodified

Gene Information

human ... HIF1A(3091)

General description

HIF是一种转录复合物,在哺乳动物的氧稳态中起着核心作用,脯氨酰羟化的翻译后修饰是一个关键的调控事件,它通过von Hippel-Lindau泛素化复合体靶向HIF-α亚基,从而用于蛋白酶体的破坏。转录复合物由一个α-β异二聚体组成。HIF-β是一种组成型核蛋白,可与氧调节的HIF-α亚基发生二聚化。在常氧状态下,人HIF-α在Pro402或Pro564处通过一组HIF脯氨酰羟化酶同工酶(PHD 1-3)进行4-羟基化,然后通过von Hippel-Lindau泛素连接酶复合物介导进行HIF1-α识别,从而导致其蛋白酶体破坏。在缺氧环境中,缺乏羟化酶活性可使HIF-α亚基避免被破坏,并具有转录活性。因此,HIF羟化酶为理解细胞对缺氧的反应和治疗靶标提供了方向。存在几种HIF因子,包括HIF 1-α,HIF 1-β,HIF 2-α。HIF 1-α在大鼠中具有812个氨基酸,在小鼠和人类中具有836个氨基酸。缺氧适应性反应的一个主要转录调节因子。在缺氧条件下可激活40多个基因的转录,包括促红细胞生成素、葡萄糖转运蛋白、糖酵解酶、血管内皮生长因子,以及其他蛋白质产物可增加氧气输送或促进代谢适应低氧的基因。在胚胎血管生成、肿瘤血管生成和缺血性疾病的病理生理中起着至关重要的作用。它在常氧环境中在细胞质中广泛表达,在缺氧条件下发生核易位。
预测分子量:96 kDa,观察到的分子量:120kda

Immunogen

来自人HIF-1α氨基酸432-528的融合蛋白。

Application

抗缺氧诱导因子1 α 抗体,克隆H1α67,是一种用于检测缺氧诱导因子1的小鼠单克隆抗体 α 也被称为HIF-1α或ARNT相互作用蛋白 & 已通过EMSA、IHC、IP和&WB验证。
研究子类别
转录因子
研究类别
表观遗传学&核功能
蛋白质印迹:1:500-1:1,000.该抗体在诱导的组织和细胞中可识别出一条120 kD的条带。在120 kD处可能存在多个条带,代表HIF-1α的翻译后修饰。

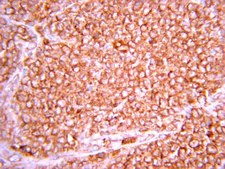
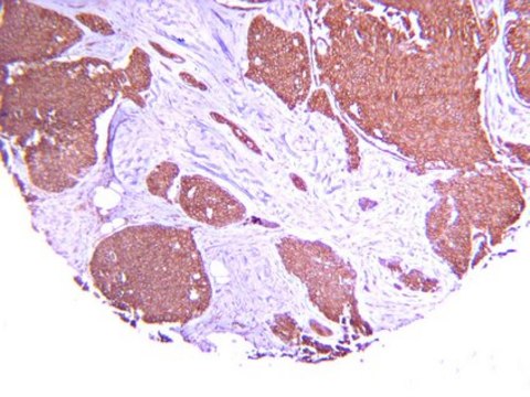
免疫组化:1:500-1:1,000.抗原回收后,该抗体已成功用于福尔马林固定、石蜡包埋的组织切片中。

免疫沉淀

凝胶位移

最佳工作稀释液必须由最终用户进行确定。

Biochem/physiol Actions

可识别缺氧诱导因子-1α(HIF-1α)。

Physical form

蛋白A纯化的小鼠免疫球蛋白,溶于20 mM磷酸钠(pH 7.6)、250 mM NaCl以及0.1%叠氮化钠作防腐剂的缓冲液中。
形式:纯化
纯化的蛋白 A

Preparation Note

自发运之日起,在 2–8°C 条件下可稳定保存 1 年避免反复冻融。为了最大程度地回收产品,在融化后和取下盖子之前,将原始样品瓶进行离心。

Analysis Note

对照
氯化钴处理的MCF-7细胞

Other Notes

替代品:04-1006
浓度:请参考批次特异性浓缩物的分析证书。

Legal Information

CHEMICON is a registered trademark of Merck KGaA, Darmstadt, Germany

Disclaimer

除非我们的产品目录或产品附带的其他公司文档另有说明,否则我们的产品仅供研究使用,不得用于任何其他目的,包括但不限于未经授权的商业用途、体外诊断用途、离体或体内治疗用途或任何类型的消费或应用于人类或动物。


Still not finding the right product?

试用我们的 产品选型工具 工具缩小选择范围


存储类别

12 - Non Combustible Liquids

wgk

WGK 2

flash_point_f

Not applicable

flash_point_c

Not applicable



分析证书(COA)

输入产品批号来搜索 分析证书(COA) 。批号可以在产品标签上"批“ (Lot或Batch)字后找到。

已有该产品?

在文件库中查找您最近购买产品的文档。

访问文档库


相关内容

"Recognizing both the tremendous opportunities and the challenges facing cancer research, we are dedicated to developing and refining tools and technologies for the study of cancer. With our comprehensive portfolio, including the Upstate®, Chemicon®, and Calbiochem® brands of reagents and antibodies, researchers can count on dependable, high quality solutions for analyzing all the hallmarks of cancer."


Bioimaging assessment and effect of skin wound healing using bone-marrow-derived mesenchymal stromal cells with the artificial dermis in diabetic rats.
Hirokazu Inoue, Takashi Murakami, Takashi Ajiki, Mayumi Hara, Yuichi Hoshino et al.
Journal of Biomedical Optics null
J Zhang et al.
Neuroscience, 222, 1-9 (2012-07-24)
Exogenous delivery of the neurotrophin-3 (NT-3) gene may provide a potential therapeutic strategy for ischemic stroke. To investigate the neuroprotective effects of NT-3 expression controlled by 5HRE after focal cerebral ischemia, we constructed a recombinant retrovirus vector (RV) with five
Lactate dehydrogenase-5 (LDH-5) expression in human gastric cancer: association with hypoxia-inducible factor (HIF-1alpha) pathway, angiogenic factors production and poor prognosis.
Yanislav Kolev, Hiroyuki Uetake, Yoko Takagi, Kenichi Sugihara, Yanislav Kolev et al.
Annals of Surgical Oncology null



全球贸易项目编号

货号GTIN
MAB5382-25UG04054839337512