biological source
mouse
conjugate
unconjugated
antibody form
purified immunoglobulin
antibody product type
primary antibodies
clone
H4A3, monoclonal
species reactivity
human
packaging
antibody small pack of 25 μg
technique(s)
dot blot: suitable, immunofluorescence: suitable, immunohistochemistry: suitable (paraffin), immunoprecipitation (IP): suitable, western blot: suitable
isotype
IgGκ
NCBI accession no.
UniProt accession no.
target post-translational modification
unmodified
Gene Information
human ... LAMP1(3916)
General description
Lysosome-associated membrane glycoprotein 1 (UniProt: P11279; also known as LAMP-1, Lysosome-associated membrane protein 1, CD107 antigen-like family member A, CD107a) is encoded by the LAMP1 gene (Gene ID: 3916) in human. LAMP-1 and LAMP-2 are two highly glycosylated proteins found in the lysosomal membrane. They may contribute up to 50% of all proteins present in the lysosomal membranes. They are known to maintain the lysosomal acidification and lysosomal membrane integrity. Extensive N-glycosylation on LAMP-1 and 2 to protects them from the lysosomal proteolysis. However, higher levels of poly-N-acetyllactosamines on LAMP-1 and 2 have been correlated with decreased cellular differentiation and enhanced metastatic potential. LAMP-1 is a single-pass type I transmembrane protein that contains a large lumenal domain (aa 29-382), a transmembrane domain (aa 383-405), and a short C-terminal cytoplasmic tail (aa 406-417). LAMP-1 is synthesized with a signal peptide (aa 1-28) that is subsequently cleaved in the mature form. LAMP-1 presents carbohydrate ligands to selectins and is also reported to act as a receptor for Lassa virus protein. Two isoforms of LAMP-1 have been described that are produced by alternative splicing. (Ref.: Tan, K-P., et al. (2016). Cell Death Dis. 7, e2347).
~110 kDa observed; 44.88 kDa calculated. Uncharacterized bands may be observed in some lysate(s).
Immunogen
Human adherent peripheral blood cells.
Application
Anti-LAMP-1, clone H4A3, Cat. No. MABC1108, is a mouse monoclonal antibody that detects Lysosome-associated membrane glycoprotein 1 (LAMP-1) and has been tested for use in Dot Blot, Immunofluorescence, Immunohistochemistry (Paraffin), Immunoprecipitation, and Western Blotting.
Immunocytochemistry Analysis: A 1:500 dilution from a representative lot detected LAMP-1 in HeLa and A431 cells.
Immunohistochemistry (Paraffin) Analysis: A representative lot detected LAMP-1 in Immunohistochemistry applications (Furuta, K., et. al. (2001). Am J Pathol. 159(2):449-55).
Western Blotting Analysis: A representative lot detected LAMP-1 in Western Blotting applications (Mane, S.M., et. al. (1989). Arch Biochem Biophys. 268(1):360-78).
Immunofluorescence Analysis: A representative lot detected LAMP-1 in Immunofluorescence applications (Starr, T., et. al. (2011). Cell Host Microbe. 11(1):33-45).
Dot Blot Analysis: A representative lot detected LAMP-1 in Dot Blot applications (Arruda, L.B., et. al. (2006). J Immunol. 177(4):2265-75).
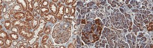
Immunohistochemistry (Paraffin) Analysis: A 1:250 dilution from a representative lot detected LAMP-1 in human kidney and human pancreas tissue sections.
Immunoprecipitation Analysis: A representative lot immunoprecipitated LAMP-1 in Immunoprecipitation applications (Mane, S.M., et. al. (1989). Arch Biochem Biophys. 268(1):360-78).
Immunohistochemistry (Paraffin) Analysis: A representative lot detected LAMP-1 in Immunohistochemistry applications (Furuta, K., et. al. (2001). Am J Pathol. 159(2):449-55).
Western Blotting Analysis: A representative lot detected LAMP-1 in Western Blotting applications (Mane, S.M., et. al. (1989). Arch Biochem Biophys. 268(1):360-78).
Immunofluorescence Analysis: A representative lot detected LAMP-1 in Immunofluorescence applications (Starr, T., et. al. (2011). Cell Host Microbe. 11(1):33-45).
Dot Blot Analysis: A representative lot detected LAMP-1 in Dot Blot applications (Arruda, L.B., et. al. (2006). J Immunol. 177(4):2265-75).
Immunohistochemistry (Paraffin) Analysis: A 1:250 dilution from a representative lot detected LAMP-1 in human kidney and human pancreas tissue sections.
Immunoprecipitation Analysis: A representative lot immunoprecipitated LAMP-1 in Immunoprecipitation applications (Mane, S.M., et. al. (1989). Arch Biochem Biophys. 268(1):360-78).
Research Category
Cell Structure
Cell Structure
Biochem/physiol Actions
Clone H4A3 detects Lysosome-associated membrane glycoprotein 1 (LAMP-1) in human cells.
Physical form
Protein G purified
Purified mouse monoclonal antibody IgG in buffer containing 0.1 M Tris-Glycine (pH 7.4), 150 mM NaCl with 0.05% sodium azide.
Format: Purified
Preparation Note
Stable for 1 year at 2-8°C from date of receipt.
Analysis Note
Evaluated by Western Blotting in HEK293 cell lysate.
Western Blotting Analysis: 1 µg/mL of this antibody detected LAMP-1 in HEK293 cell lysate.
Western Blotting Analysis: 1 µg/mL of this antibody detected LAMP-1 in HEK293 cell lysate.
Other Notes
Concentration: Please refer to lot specific datasheet.
Disclaimer
Unless otherwise stated in our catalog or other company documentation accompanying the product(s), our products are intended for research use only and are not to be used for any other purpose, which includes but is not limited to, unauthorized commercial uses, in vitro diagnostic uses, ex vivo or in vivo therapeutic uses or any type of consumption or application to humans or animals.
Still not finding the right product?
试用我们的 产品选型工具 工具缩小选择范围
法规信息
新产品
此项目有
全球贸易项目编号
| 货号 | GTIN |
|---|---|
| MABC1108-100UG | 04054839516726 |
| MABC1108-25UG | 04054839516832 |