biological source
mouse
conjugate
unconjugated
antibody form
purified immunoglobulin
antibody product type
primary antibodies
clone
ALK1, monoclonal
species reactivity
human
packaging
antibody small pack of 25 μg
technique(s)
immunofluorescence: suitable, immunohistochemistry: suitable (paraffin), immunoprecipitation (IP): suitable, western blot: suitable
isotype
IgG3κ
NCBI accession no.
UniProt accession no.
target post-translational modification
unmodified
Gene Information
human ... ALK(238)
General description
176.44 kDa calculated.
ALK tyrosine kinase receptor (UniProt: Q9UM73; also known as EC: 2.7.10.1, Anaplastic lymphoma kinase, CD246) is encoded by the ALK gene (Gene ID: 238) in human. ALK tyrosine kinase receptor is a single-pass type I membrane protein that is essentially and transiently expressed in specific regions of the central and peripheral nervous systems and plays an important role in the development and function of the nervous system. It is predominantly expressed in the central nervous system, intestine, and testis. It acts as a receptor for ligands pleiotrophin (PTN) and midkine (MDK). It is activated and homodimerizes by ligand-binding and subsequent phosphorylation. Following activation by ligand, ALK induces tyrosine phosphorylation of CBL, FRS2, IRS1 and SHC1, as well as of the MAP kinases MAPK1/ERK2 and MAPK3/ERK1. It is inactivated through dephosphorylation by receptor protein tyrosine phosphatase beta and zeta complex (PTPRB/PTPRZ1) in the absence of any stimulation by a ligand. A chromosomal aberration involving ALK has been reported in non-Hodgkin lymphoma where the kinase is constitutively activated. Another chromosomal aberration involving ALK has also been linked with anaplastic large-cell lymphoma (ALCL). ALK tyrosine kinase receptor is synthesized with a signal peptide (aa 1-18), which is subsequently cleaved off in the mature form. ALK tyrosine kinase receptor consists of an extracellular domain (aa 19-1038); a transmembrane domain (aa 1039-1059); and a cytoplasmic domain (aa 1060-1620).
Immunogen
His-tagged full length human recombinant ALK tyrosine kinase receptor.
Application
Anti-ALK, clone ALK1, Cat. No. MABC1171, is a mouse monoclonal antibody that detects ALK tyrosine kinase receptor and has been tested for use in Immunofluorescence, Immunohistochemistry (Paraffin), Immunoprecipitation, and Western Blotting.
Research Category
Signaling
Signaling
Western Blotting Analysis: A representative lot detected ALK in Western Blotting applications (Pulford, K., et. al. (2002). Br J Haematol. 116(1):135-41; Pulford, K., et. al. (1997). Blood. 89(4):1394-404).
Immunohistochemistry Analysis: A representative lot detected ALK in Immunohistochemistry applications (Pulford, K., et. al. (1997). Blood. 89(4):1394-404).
Immunofluorescence Analysis: A representative lot detected ALK in Immunofluorescence applications (Pulford, K., et. al. (1997). Blood. 89(4):1394-404).
Immunoprecipitation Analysis: A representative lot immunoprecipitated ALK in Immunoprecipitation applications (Pulford, K., et. al. (2002). Br J Haematol. 116(1):135-41; Pulford, K., et. al. (1997). Blood. 89(4):1394-404).
Immunohistochemistry (Paraffin) Analysis: A representative lot detected ALK in Immunohistochemistry applications (Pulford, K., et. al. (1997). Blood. 89(4):1394-404).
Immunohistochemistry Analysis: A representative lot detected ALK in Immunohistochemistry applications (Pulford, K., et. al. (1997). Blood. 89(4):1394-404).
Immunofluorescence Analysis: A representative lot detected ALK in Immunofluorescence applications (Pulford, K., et. al. (1997). Blood. 89(4):1394-404).
Immunoprecipitation Analysis: A representative lot immunoprecipitated ALK in Immunoprecipitation applications (Pulford, K., et. al. (2002). Br J Haematol. 116(1):135-41; Pulford, K., et. al. (1997). Blood. 89(4):1394-404).
Immunohistochemistry (Paraffin) Analysis: A representative lot detected ALK in Immunohistochemistry applications (Pulford, K., et. al. (1997). Blood. 89(4):1394-404).
Biochem/physiol Actions
Clone ALK1 specifically detects human ALK tyrosine kinase receptor. It targets an epitope with in 102 amino acids from the C-terminal region.
Physical form
Format: Purified
Protein G purified
Purified mouse monoclonal antibody IgG3 in buffer containing 0.1 M Tris-Glycine (pH 7.4), 150 mM NaCl with 0.05% sodium azide.
Preparation Note
Stable for 1 year at 2-8°C from date of receipt.
Analysis Note
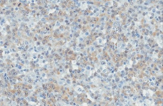
Evaluated by Immunohistochemistry (Paraffin) in human anaplastic large cell lymphoma tissue sections.
Immunohistochemistry (Paraffin) Analysis: A 1:50 dilution of this antibody detected ALK in human anaplastic large cell lymphoma tissue sections.
Immunohistochemistry (Paraffin) Analysis: A 1:50 dilution of this antibody detected ALK in human anaplastic large cell lymphoma tissue sections.
Other Notes
Concentration: Please refer to lot specific datasheet.
Disclaimer
Unless otherwise stated in our catalog or other company documentation accompanying the product(s), our products are intended for research use only and are not to be used for any other purpose, which includes but is not limited to, unauthorized commercial uses, in vitro diagnostic uses, ex vivo or in vivo therapeutic uses or any type of consumption or application to humans or animals.
Still not finding the right product?
试用我们的 产品选型工具 工具缩小选择范围
法规信息
新产品
此项目有
全球贸易项目编号
| 货号 | GTIN |
|---|---|
| MABC1171-100UG | 04054839540349 |
| MABC1171-25UG | 04054839540356 |