biological source
mouse
Quality Level
conjugate
unconjugated
antibody form
purified antibody
antibody product type
primary antibodies
clone
H4B4, monoclonal
mol wt
calculated mol wt 44.96 kDa, observed mol wt ~120 kDa
purified by
using protein G
species reactivity
mouse, rat, human, monkey
packaging
antibody small pack of 100 μL
technique(s)
ELISA: suitable, flow cytometry: suitable, immunocytochemistry: suitable, immunohistochemistry (formalin-fixed, paraffin-embedded sections): suitable, immunoprecipitation (IP): suitable, western blot: suitable
isotype
IgG1
epitope sequence
Unknown
Protein ID accession no.
UniProt accession no.
shipped in
dry ice
target post-translational modification
unmodified
Gene Information
human ... LAMP2(3920)
General description
Lysosome-associated membrane glycoprotein 2 (UniProt: P13473; also known as LAMP-2, Lysosome-associated membrane protein 2, CD107 antigen-like family member B, LGP-96, CD107b) is encoded by the LAMP2 gene (Gene ID: 3920) in human. LAMP-2 is a single-pass type I, heavily glycosylated, membrane protein found in plasma membrane, endosomes, and lysosomes. It is synthesized with a signal peptide (aa 1-28), which is subsequently cleaved off to generate the mature form that contains a lumenal domain (aa 29-375), a transmembrane domain (aa 376-399), and a short cytoplasmic tail (aa 400-410). It is an important component of lysosomal membranes and is involved in both autophagy and lysosomal membrane permeabilization. LAMP-2 plays an important role in chaperone-mediated autophagy. It is required for the fusion of autophagosomes with lysosomes during autophagy. It also plays a role in lysosomal protein degradation in response to starvation. It functions by binding target proteins, such as GAPDH and MLLT11, and targets them for lysosomal degradation. In cancer cells, chronic acidosis-induced upregulation of LAMP-2 has been reported that protects these cells from acid-induced hydrolysis and promotes their survival via chaperone-mediated autophagy. Loss of LAMP-2 is reported to aggravate oxidative stress through the obstruction of reactive oxygen species clearance. Three different isoforms of LAMP-2 have been described that are produced by alternative splicing. Mutations in LAMP2 gene have been linked to Danon disease that is characterized by cardiomyopathy, vascular myopathy, and mental retardation. It is often associated with accumulation of glycogen in muscle and lysosomes.
Immunogen
Human adherent peripheral blood cells
Application
Quality Control Testing
Evaluated by Western Blotting in Jurkat cell lysate.
Western Blotting Analysis: A 1:500 dilution of this antibody detected LAMP2/CD107b in Jurkat cell lysate.
Tested Applications
Western Blotting Analysis: A 1:500 dilution from a representative lot detected LAMP2/CD107b in HeLa, HepG2, and U937 cell lysates.
Western Blotting Analysis: A representative lot detected LAMP2/CD107b in Western Blotting applications (Krag, T.O., et al. (2021). Acta Neuropathol Commun. 9(1):109; Bozic, M., et al. (2020). EMBO Rep. 21(3):e48412; Shakya, S., et al. (2018). EMBO Rep. 19(12):e45918).
Immunohistochemistry Analysis: A representative lot detected LAMP2/CD107b in Immunohistochemistry applications (Krag, T.O., et al. (2021). Acta Neuropathol Commun. 9(1):109; Orenstein, S.J., et al. (2013). Nat Neurosci. 16(4):394-406).
Immunoprecipitation Analysis: A representative lot immunoprecipitated LAMP2/CD107b in Immunoprecipitation applications (Li, C., et al. (2017). EMBO J. 36(4):441-457).
Flow Cytometry Analysis: 1 μg from a representative lot detected LAMP2/CD107b in one million HEK293 cells.
ELISA Analysis: A representative lot detected LAMP2/CD107b in ELISA applications (Willy, J.A., et al. (2017). J Biol Chem. 292(34):14050-14065).
Immunofluorescence Analysis: A representative lot detected LAMP2/CD107b in Immunofluorescence applications (Gudi, R., et. al. (2021). Sci Rep. 11(1):12689; Krag, T.O., et al. (2021). Acta Neuropathol Commun. 9(1):109; Orenstein, S.J., et al. (2013). Nat Neurosci.;16(4):394-406; Tam, J., et al. (2014). PLoS One. 9(7):e101772).
Flow Cytometry Analysis: A representative lot detected LAMP2/CD107b in Flow Cytometry applications (Kornicka, K., et al. (2019). J Cell Mol Med. 23(1):237-259; Bhattacharya, S., et al. (2017). Invest Ophthalmol Vis Sci. 58(4):2366-2387).
Immunocytochemistry Analysis: A representative lot detected LAMP2/CD107b in Immunohistochemistry applications (Gudi, R., et. al. (2021). Sci Rep. 11(1):12689; Allen, E.A., et al. (2020). J Cell Biol. 219(11):e201909073; Tam, J., et al. (2014). PLoS One. 9(7):e101772).
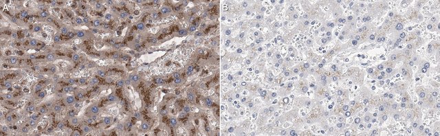
Immunohistochemistry (Paraffin) Analysis: A 1:50 dilution from a representative lot detected LAMP2/CD107b in human liver tissue sections.
Note: Actual optimal working dilutions must be determined by end user as specimens, and experimental conditions may vary with the end user
Evaluated by Western Blotting in Jurkat cell lysate.
Western Blotting Analysis: A 1:500 dilution of this antibody detected LAMP2/CD107b in Jurkat cell lysate.
Tested Applications
Western Blotting Analysis: A 1:500 dilution from a representative lot detected LAMP2/CD107b in HeLa, HepG2, and U937 cell lysates.
Western Blotting Analysis: A representative lot detected LAMP2/CD107b in Western Blotting applications (Krag, T.O., et al. (2021). Acta Neuropathol Commun. 9(1):109; Bozic, M., et al. (2020). EMBO Rep. 21(3):e48412; Shakya, S., et al. (2018). EMBO Rep. 19(12):e45918).
Immunohistochemistry Analysis: A representative lot detected LAMP2/CD107b in Immunohistochemistry applications (Krag, T.O., et al. (2021). Acta Neuropathol Commun. 9(1):109; Orenstein, S.J., et al. (2013). Nat Neurosci. 16(4):394-406).
Immunoprecipitation Analysis: A representative lot immunoprecipitated LAMP2/CD107b in Immunoprecipitation applications (Li, C., et al. (2017). EMBO J. 36(4):441-457).
Flow Cytometry Analysis: 1 μg from a representative lot detected LAMP2/CD107b in one million HEK293 cells.
ELISA Analysis: A representative lot detected LAMP2/CD107b in ELISA applications (Willy, J.A., et al. (2017). J Biol Chem. 292(34):14050-14065).
Immunofluorescence Analysis: A representative lot detected LAMP2/CD107b in Immunofluorescence applications (Gudi, R., et. al. (2021). Sci Rep. 11(1):12689; Krag, T.O., et al. (2021). Acta Neuropathol Commun. 9(1):109; Orenstein, S.J., et al. (2013). Nat Neurosci.;16(4):394-406; Tam, J., et al. (2014). PLoS One. 9(7):e101772).
Flow Cytometry Analysis: A representative lot detected LAMP2/CD107b in Flow Cytometry applications (Kornicka, K., et al. (2019). J Cell Mol Med. 23(1):237-259; Bhattacharya, S., et al. (2017). Invest Ophthalmol Vis Sci. 58(4):2366-2387).
Immunocytochemistry Analysis: A representative lot detected LAMP2/CD107b in Immunohistochemistry applications (Gudi, R., et. al. (2021). Sci Rep. 11(1):12689; Allen, E.A., et al. (2020). J Cell Biol. 219(11):e201909073; Tam, J., et al. (2014). PLoS One. 9(7):e101772).
Immunohistochemistry (Paraffin) Analysis: A 1:50 dilution from a representative lot detected LAMP2/CD107b in human liver tissue sections.
Note: Actual optimal working dilutions must be determined by end user as specimens, and experimental conditions may vary with the end user
Anti-LAMP2/CD107b, clone H4B4, Cat. No. MABC1766, is a mouse monoclonal antibody that detects LAMP2 and is tested in ELISA, Flow Cytometry, Immunocytochemistry, Immunofluorescence, Immunohistochemistry, Immunoprecipitation, and Western Blotting.
Biochem/physiol Actions
Clone H4B4 is a mouse monoclonal antibody that detects LAMP-2 (CD107b).
Physical form
Purified mouse monoclonal antibody IgG1 in PBS without azide.
Preparation Note
Store at -10°C to -25°C. Handling Recommendations: Upon receipt and prior to removing the cap, centrifuge the vial and gently mix the solution. Aliquot into microcentrifuge tubes and store at -20°C. Avoid repeated freeze/thaw cycles, which may damage IgG and affect product performance.
Other Notes
Concentration: Please refer to the Certificate of Analysis for the lot-specific concentration.
Disclaimer
Unless otherwise stated in our catalog or other company documentation accompanying the product(s), our products are intended for research use only and are not to be used for any other purpose, which includes but is not limited to, unauthorized commercial uses, in vitro diagnostic uses, ex vivo or in vivo therapeutic uses or any type of consumption or application to humans or animals.
Still not finding the right product?
试用我们的 产品选型工具 工具缩小选择范围
存储类别
12 - Non Combustible Liquids
wgk
WGK 2
flash_point_f
Not applicable
flash_point_c
Not applicable
法规信息
新产品
此项目有
全球贸易项目编号
| 货号 | GTIN |
|---|---|
| MABC1766-100UL | 04065267780733 |
| MABC1766-25UL | 04065267780740 |