biological source
mouse
Quality Level
conjugate
unconjugated
antibody form
ascites fluid
antibody product type
primary antibodies
clone
1E06, monoclonal
species reactivity
human
technique(s)
immunohistochemistry: suitable, western blot: suitable
isotype
IgG1
NCBI accession no.
UniProt accession no.
shipped in
wet ice
target post-translational modification
unmodified
Gene Information
human ... KLF4(9314)
General description
Krueppel样因子4(KLF4),又称上皮锌指蛋白4(EZF)和肠道内富含的Kruppel样因子(GKLF),它是受发育调节的转录因子,在维持胚胎干细胞(ESC)的多能状态方面起重要作用,可用作培养中细胞多能状态的标志物。 它是上皮细胞的分化以及皮肤屏障功能的建立所必需的,KLF4也在骨骼和肾脏发育过程中表达。 KLF4 在皮肤、肺和肠中沿上皮边界(epithelial border)高度表达。 根据环境不同,位于细胞核的该蛋白可作为肿瘤抑制因子和激活因子,但是主要功能是生长抑制。 有趣的是,KLF4 表达的增加会导致P21WAF1/CIP1表达的增加,P21WAF1/CIP1是一种重要的检查点蛋白(checkpoint protein),可抑制细胞周期进展,并且对于G1/S和G2/M边界中细胞周期停滞的介导必不可少。 此外,KLF4介导肿瘤抑制因子p53的正常功能。 因此,KLF4突变导致不受控制的生长和肿瘤形成,由于其表达以及与肠道的牵连,KLF4时常在多种结肠癌细胞系中突变,KLF4表达的缺乏与结肠直肠癌发病机理相关。 KLF4 基因表达的增加也与胃癌、乳腺癌和鳞状细胞癌有关。 EMD-Millipore’抗-KLF4小鼠单克隆抗体(克隆1E6)已通过蛋白质印迹在重组hKLF4 表达的细胞裂解液中进行了检验,并在免疫细胞化学法中采用石蜡包埋的人肺和结肠癌组织进行检验。 该克隆也通过荧光免疫细胞化学法在培养中的人食管鳞状细胞癌细胞系Eca109进行检验。
观测值〜55 kDa。在某些裂解物中可以出现未表征的条带。Uniprot描述了~46 kDa和~55 kDa之间的3种亚型
Immunogen
在大肠杆菌中表达的人KLF4的纯化重组片段。
Application
使用经验证可用于IHC&蛋白质印迹的该小鼠单克隆抗-KLF4抗体(克隆1E6)检测KLF4。
免疫荧光分析:一个代表性批次的1:200-1,000 稀释液在ECA109细胞中检测到KLF4。
蛋白质印迹分析:一个代表性批次的1:3,000稀释液在转染的HEK293 细胞裂解液中检测到KLF4。
最佳工作稀释度必须由最终用户确定。
蛋白质印迹分析:一个代表性批次的1:3,000稀释液在转染的HEK293 细胞裂解液中检测到KLF4。
最佳工作稀释度必须由最终用户确定。
研究子类别
凋亡-附加
凋亡-附加
研究类别
细胞凋亡 & 癌症
细胞凋亡 & 癌症
Physical form
含有高达0.1%叠氮化钠的小鼠单克隆IgG1腹水。
未纯化
Preparation Note
自收到之日起在-20°C可稳定保存1年。
使用建议:收货后,在取下瓶盖之前,将小瓶离心并轻轻混合溶液。分装到微量离心管中,并储存于-20°C。避免反复冻融循环,以免损坏IgG和影响产品性能。
使用建议:收货后,在取下瓶盖之前,将小瓶离心并轻轻混合溶液。分装到微量离心管中,并储存于-20°C。避免反复冻融循环,以免损坏IgG和影响产品性能。
Analysis Note
对照
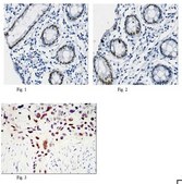
人肺癌和结肠组织
人肺癌和结肠组织
通过免疫组织化学法在人肺癌和结肠组织中进行评估。
免疫组织化学分析: 一个代表性批次的1:200-1,000稀释液在人肺癌和结肠组织中检测到KLF4 。
最佳工作稀释度必须由最终用户确定。
免疫组织化学分析: 一个代表性批次的1:200-1,000稀释液在人肺癌和结肠组织中检测到KLF4 。
最佳工作稀释度必须由最终用户确定。
Disclaimer
除非我们的产品目录或产品附带的其他公司文档另有说明,否则我们的产品仅供研究使用,不得用于任何其他目的,包括但不限于未经授权的商业用途、体外诊断用途、离体或体内治疗用途或任何类型的消费或应用于人类或动物。
Still not finding the right product?
试用我们的 产品选型工具 工具缩小选择范围
存储类别
12 - Non Combustible Liquids
wgk
nwg
flash_point_f
Not applicable
flash_point_c
Not applicable
全球贸易项目编号
| 货号 | GTIN |
|---|---|
| MABC631 | 04053252912368 |