跳转至内容
Merck
CN

MABC785

Anti-SOX9 Antibody

mouse monoclonal, 4B7.1

别名:

Transcription factor SOX-9, Sex-determining region Y-box 9 protein, SRY-related HMG-box gene 9

登录 查看组织和合同定价。

选择尺寸

变更视图

关于此项目

UNSPSC Code:
12352203
eCl@ss:
32160702
NACRES:
NA.46
Clone:
4B7.1, monoclonal
Species reactivity:
human
Application:
IHC, WB
Citations:
-
技术服务
需要帮助?我们经验丰富的科学家团队随时乐意为您服务。
让我们为您提供帮助


产品名称

Anti-SOX9 Antibody, clone 4B7.1, clone 4B7.1, from mouse

biological source

mouse

Quality Level

antibody form

purified immunoglobulin

antibody product type

primary antibodies

clone

4B7.1, monoclonal

species reactivity

human

species reactivity (predicted by homology)

rat (based on 100% sequence homology), mouse (based on 100% sequence homology), porcine (based on 100% sequence homology), chicken (based on 100% sequence homology), nonhuman primates (based on 100% sequence homology)

technique(s)

immunohistochemistry: suitable (paraffin), western blot: suitable

isotype

IgG2bκ

NCBI accession no.

UniProt accession no.

shipped in

ambient

target post-translational modification

unmodified

Gene Information

General description

Transcription factor SOX-9 (UniProt P48436; also known as Sex-determining region Y-box 9 protein, SRY-related HMG-box gene 9) is encoded by the SOX9 (also known as CMD1, CMPD1, SRA1) gene (Gene ID 6662) in human. Sox family of genes are related to the mammalian sex determining gene SRY. These genes contain sequences encoding for the HMG-box domains that mediate sequ+D11ence-specific DNA binding. SOX genes encode transcriptional regulators involved in cell fate decision during development and the control of diverse developmental processes. The highly complex group of Sox genes cluster at at least 40 genomic loci and at least 30 Sox genes have been identified. SOX-9 is a key regulator of developmental processes, including male sex determination, chondrogenesis, neurogenesis, and neural crest development. SOX-9 up-regulation is reported in cancers of various origins, including breast, colon, prostate, and lung, where its expression correlates with malignancy and patient survival. Cellular SOX9 mRNA is shown to be targeted and negatively regulated+D11 by miR-32, and the cellular miR-32 level is reported to be significantly lower in non-small cell lung cancer (NSCLC) compared with noncancerous lung tissues.
~69 kDa observed. 54.85/56.14/56.08/56.12/56.12 kDa (chicken/human/mouse/porcine/rat) calculated. Uncharacterized bands may be observed in some lysate(s).

Immunogen

KLH-conjugated linear peptide corresponding to human SOX9 C-terminal end sequence.

Application

Detect SOX9 using this mouse monoclonal Anti-SOX9, clone 4B7.1 Antibody, Cat. No. MABC785, validated for use in Immunohistochemistry (Paraffin) and Western Blotting.
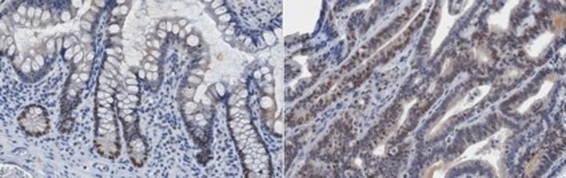
Immunohistochemistry Analysis: A 1:250 dilution from a representative lot detected SOX9 in human liver cancer and small intestine tissue sections.
Research Category
Apoptosis & Cancer

Biochem/physiol Actions

Clone 4B7.1 epitope lies within the highly conserved C-terminal end region of SOX9.

Physical form

Format: Purified
Protein G purified.
Purified mouse IgG2bκ in buffer containing 0.1 M Tris-Glycine (pH 7.4), 150 mM NaCl with 0.05% sodium azide.

Preparation Note

Stable for 1 year at 2-8°C from date of receipt.

Analysis Note

Evaluated by Western Blotting in HepG2 cell lysate.

Western Blotting Analysis: A 1:1,000 dilution of this antibody detected SOX9 in 10 µg of HepG2 cell lysate.

Other Notes

Concentration: Please refer to lot specific datasheet.
Replaces: MABC672

Disclaimer

Unless otherwise stated in our catalog or other company documentation accompanying the product(s), our products are intended for research use only and are not to be used for any other purpose, which includes but is not limited to, unauthorized commercial uses, in vitro diagnostic uses, ex vivo or in vivo therapeutic uses or any type of consumption or application to humans or animals.


Still not finding the right product?

Explore all of our products under

或者

试用我们的 产品选型工具 工具缩小选择范围


存储类别

12 - Non Combustible Liquids

wgk

WGK 1

flash_point_f

Not applicable

flash_point_c

Not applicable



分析证书(COA)

输入产品批号来搜索 分析证书(COA) 。批号可以在产品标签上"批“ (Lot或Batch)字后找到。

已有该产品?

在文件库中查找您最近购买产品的文档。

访问文档库



全球贸易项目编号

货号GTIN
MABC78504054839114533