biological source
mouse
Quality Level
conjugate
unconjugated
antibody form
purified immunoglobulin
antibody product type
primary antibodies
clone
8B7.1, monoclonal
species reactivity
mouse, human, rat
technique(s)
immunohistochemistry: suitable, western blot: suitable
isotype
IgG2a
NCBI accession no.
UniProt accession no.
shipped in
wet ice
target post-translational modification
unmodified
Gene Information
human ... S1PR1(1901)
General description
Sphingosine 1-phosphate receptor 1(S1PR1 or S1P1), otherwise known as EDG1, is a G-protein coupled receptor which is activated by lysosphingolipid sphingosine 1-phosphate (S1P) and lysophosphatidic acid (LPA). It is coupled to Gi-protein and MAP kinase signaling pathways, and may cooperate with other S1P receptors to regulate various cellular processes such as differentiation, actin remodeling, and migration. S1P1 is expressed in epithelial cells, fibroblasts, melanocytes, and smooth muscle cells.
~40 kDa observed
Immunogen
GST-tagged recombinant protein corresponding to mouse Sphingosine 1-phosphate receptor 1 (S1P1).
Application
Research Category
Apoptosis & Cancer
Apoptosis & Cancer
Research Sub Category
GPCR, cAMP/cGMP & Calcium Signaling
GPCR, cAMP/cGMP & Calcium Signaling
This Anti-Sphingosine 1-phosphate receptor 1 (S1P1) Antibody, clone 8B7.1 is validated for use in Western Blotting, IHC for the detection of Sphingosine 1-phosphate receptor 1 (S1P1).
Western Blot Analysis: A 1:500 dilution from a representative lot detected Sphingosine 1-phosphate receptor 1 (S1P1) in human brain tissue lysate.
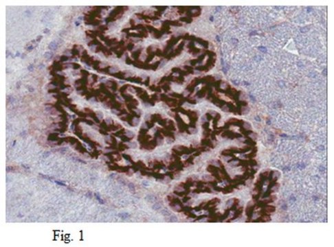
Immunohistochemistry Analysis: A 1:300 dilution from a representative lot detected Sphingosine 1-phosphate receptor 1 (S1P1) in rat choroid plexus tissue.
Immunohistochemistry Analysis: A 1:300 dilution from a representative lot detected Sphingosine 1-phosphate receptor 1 (S1P1) in rat choroid plexus tissue.
Physical form
Format: Purified
Protein G Purified
Purified mouse monoclonal IgG2a supernatant in buffer containing 0.1 M Tris-Glycine (pH 7.4), 150 mM NaCl with 0.05% sodium azide.
Preparation Note
Stable for 1 year at 2-8°C from date of receipt.
Analysis Note
Control
Mouse brain tissue lysate
Mouse brain tissue lysate
Evaluated by Western Blot in mouse brain tissue lysate.
Western Blot Analysis: A 1:1,000 diluiton of this antibody detected Sphingosine 1-phosphate receptor 1 (S1P1) in 10 µg of mouse brain tissue lysate.
Western Blot Analysis: A 1:1,000 diluiton of this antibody detected Sphingosine 1-phosphate receptor 1 (S1P1) in 10 µg of mouse brain tissue lysate.
Disclaimer
Unless otherwise stated in our catalog or other company documentation accompanying the product(s), our products are intended for research use only and are not to be used for any other purpose, which includes but is not limited to, unauthorized commercial uses, in vitro diagnostic uses, ex vivo or in vivo therapeutic uses or any type of consumption or application to humans or animals.
Still not finding the right product?
试用我们的 产品选型工具 工具缩小选择范围
存储类别
12 - Non Combustible Liquids
wgk
WGK 1
flash_point_f
Not applicable
flash_point_c
Not applicable
全球贸易项目编号
| 货号 | GTIN |
|---|---|
| MABC94 | 04053252694240 |