跳转至内容
Merck
CN

MABC95

抗-S1PR2/EDG5抗体,克隆6E8.1

clone 6E8.1, from mouse

别名:

Sphingosine 1-phosphate receptor 2, S1P receptor 2, S1P2, Endothelial differentiation G-protein coupled receptor 5, Sphingosine 1-phosphate receptor Edg-5, S1P receptor Edg-5

登录 查看组织和合同定价。

选择尺寸

变更视图

关于此项目

UNSPSC Code:
12352203
NACRES:
NA.41
eCl@ss:
32160702
Conjugate:
unconjugated
Clone:
6E8.1, monoclonal
Application:
IHC, WB
Citations:
-
技术服务
需要帮助?我们经验丰富的科学家团队随时乐意为您服务。
让我们为您提供帮助


biological source

mouse

Quality Level

conjugate

unconjugated

antibody form

purified immunoglobulin

antibody product type

primary antibodies

clone

6E8.1, monoclonal

species reactivity

human

technique(s)

immunohistochemistry: suitable (paraffin), western blot: suitable

isotype

IgMκ

NCBI accession no.

UniProt accession no.

shipped in

wet ice

target post-translational modification

unmodified

Gene Information

human ... S1PR2(9294)

General description

可观察到约35 kDa的条带
鞘氨醇1-磷酸受体2(S1PR2),也称EDG5,是一种普遍存在的溶鞘脂鞘氨醇1-磷酸(S1P)G蛋白偶联受体。它与Gi、G12/13和Gq通路偶联,可调节许多第二信使和效应分子,包括cAMP、PLC、MAPK、RhoA和Rac。S1PR2介导S1P对细胞运动和胚胎发育以及其他细胞过程的影响。

Immunogen

GST标记的重组蛋白,对应于人S1PR2/EDG5的胞质域。

Application

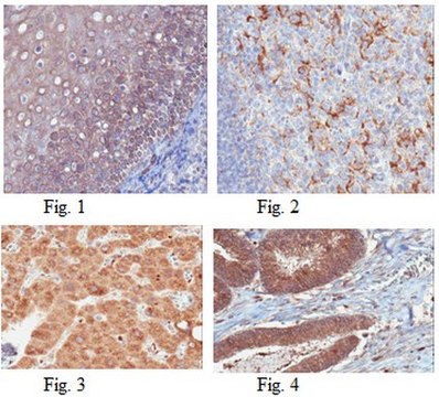
免疫组化分析:代表性批次在人扁桃体、肝脏、结直肠癌组织中检测到S1PR2/EDG5。
抗-S1PR2/EDG5抗体,克隆6E8.1可检测S1PR2/EDG5水平,已发布,经验证可用于蛋白质印迹、IHC(P)。

Biochem/physiol Actions

该抗体可识别S1PR2/EDG5的胞质结构域。

Physical form

形式:纯化

Analysis Note

已通过蛋白质印迹法在人体肝脏组织裂解液中进行了评估。

蛋白质印迹分析:1 µg/mL该抗体在10 g人肝脏组织裂解物中检测到S1PR2/EDG5。

Other Notes

浓度:请参考批次特异性浓缩物的检验报告。


Still not finding the right product?

试用我们的 产品选型工具 工具缩小选择范围


wgk

WGK 2

flash_point_f

Not applicable

flash_point_c

Not applicable

存储类别

12 - Non Combustible Liquids



分析证书(COA)

输入产品批号来搜索 分析证书(COA) 。批号可以在产品标签上"批“ (Lot或Batch)字后找到。

已有该产品?

在文件库中查找您最近购买产品的文档。

访问文档库



全球贸易项目编号

货号GTIN
MABC9504053252697753